Цены
Процедура противопоказана в период ОРВИ, а также беременным женщинам.
* Условия акций указаны в разделе «Акции».
** Цены и акции, размещённые на сайте не являются публичной офертой. Цены и услуги предоставляются в соответствии с размещенным на сайте прейскурантом платных медицинских услуг.
*** Цены на услуги стоматолога указаны с учётом максимальной скидки и оплаты в течение 2-х дней с момента прохождения первичной консультации.
Преимущества съемных зубных протезов
- Выполняются по технологии 3D-моделирования, поэтому отличаются анатомической точностью.
- Просты в уходе и служат до 10 лет.
- Стоимость в 2 раза ниже, чем у других ортопедических изделий.
- Модели без опоры на нёбо удобны в ношении.
Этапы установки съемной конструкции
- Первичная консультация, осмотр и компьютерная диагностика проводятся бесплатно. Вместе со специалистом выберите оптимальный метод съемного протезирования: полный или частичный.
- Конструкции крепятся к соседним зубам, имплантатам или опираются на десны. В некоторых случаях требуется предварительная обточка зубов.
- Обязательный этап – снятие слепка, который отправится в зуботехническую лабораторию на 7-14 дней.
- Пациент примеряет готовый протез, при необходимости специалист «подгоняет» его под челюсть для максимально удобного ношения.

Легко ли привыкнуть к протезу?
Адаптация занимает в среднем 1 неделю. Для восстановления дикции мы советуем читать вслух. Чтобы нормализовать жевательную функцию, сначала ешьте мягкую и невязкую пищу, небольшими кусочками, увеличивая нагрузку постепенно. Не бойтесь оставлять протез во рту во время сна: выполненные из современных материалов, они не пересыхают ночью и не требуют хранения в стакане с водой.
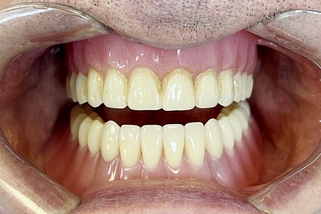
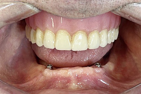
Работы наших врачей

Какой съемный протез выбрать?
Специалист «Все свои!» предложит вам оптимальный вариант протезирования, ориентируясь на такие факторы, как количество отсутствующих зубов, требования к эстетике и комфорту, стоимость, индивидуальные особенности. Так, например, при аллергии на металл или пластмассу выбирайте нейлон или Акри-фри. При пародонтозе, сахарном диабете и невозможном протезировании мостовидными изделиями рекомендован силикон.
Полное и частично-съемное протезирование в клинике «Все свои!»


