Цены
Процедура противопоказана в период ОРВИ, а также беременным женщинам.
* Условия акций указаны в разделе «Акции».
** Цены и акции, размещённые на сайте не являются публичной офертой. Цены и услуги предоставляются в соответствии с размещенным на сайте прейскурантом платных медицинских услуг.
*** Цены на услуги стоматолога указаны с учётом максимальной скидки и оплаты в течение 2-х дней с момента прохождения первичной консультации.
Преимущества бюгельного зубного протеза
- Служит 7-10 лет, не требуя специального ухода.
- Предупреждает атрофию костной ткани благодаря равномерному распределению жевательной нагрузки.
- Незаметен для окружающих, так имеет естественный цвет.
- Крепится на живые и депульпированные зубы, а также на культевую вкладку.
- Не закрывает нёбо, поэтому позволяет чувствовать вкус пищи и не нарушает дикцию.
Как мы устанавливаем бюгельный протез
- Осмотр и диагностика состояния полости с помощью рентгенографического снимка. При воспалении мы проводим предварительное лечение.
- Замер прикуса. Так мы определим опорные зубы и обточим их для качественного крепления бюгеля.
- Снятие слепков. По оттиску изготовим протез из гипсовой модели и приступим к разработке будущей конструкции.
- Примерка бюгеля. При необходимости внесем дополнительные коррективы.
- Стоматолог устанавливает бюгель, а затем научит вас самостоятельно перед зеркалом снимать и надевать его.
- Через 3 дня после установки мы ждем вас для контроля фиксации.

Как быстрее привыкнуть к бюгельному протезу
В первые 2 недели вынимайте бюгель только для того, чтобы провести чистку. При непрерывном ношении вы быстрее привыкнете к конструкции. Читайте вслух, чтобы улучшить дикцию. Разрезайте твердую пищу на маленькие кусочки и пережевывайте одновременно всеми восстановленными зубами. Если дискомфорт не исчезает в течение 10 дней, обратитесь к стоматологу и пройдите дополнительную коррекцию протеза. Это бесплатно и занимает не более 10-15 минут.
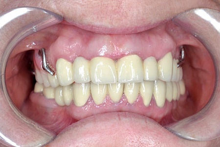
Работы наших врачей

Бюгельное протезирование – это выгодно
Отсутствие зубов провоцирует дефекты прикуса и истончение костной ткани. Выгодная альтернатива дорогостоящей имплантации – съемное бюгельное протезирование. Почему? За счет металлической дуги, крепко соединяющей искусственные коронки, конструкция имеет долгий срок службы. Основание бюгеля в 2 раза тоньше, чем у протезов из нейлона и акрила, а значит вам не придется снимать его перед сном, ношение будет комфортным, и адаптационный период пройдет быстрее.
Почему стоматология «Все свои!» в Москве


