Стоматология «Все свои!» в Бибирево
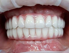
Клиника «Все свои!» в районе метро Бибирево ждет взрослых и детей для стоматологического лечения. Мы открыты ежедневно с 8:00 до 21:00. Высокая квалификация специалистов, многолетний опыт, а также техническое оснащение — бесшумные стоматологические установки, ортопантомограф, интраоральная камера, позволяют решать даже самые сложные клинические случаи. А центральное стерилизационное отделение обеспечивает безопасность при лечении.
В данном филиале принимаются пациенты с 5 лет.
-
Первичный осмотр стоматолога
Бесплатно!
-
Бонусная карта
30%
-
Скидка на гигиену полости рта
6 330 р. / 12 320 р.
-
Семейная скидка
до 25%
-
Скидка по социальной карте
3%
В стоматологии «Все свои!» на улице Пришвина действует программа лояльности для постоянных пациентов и прозрачная система скидок для новых клиентов. При желании вы можете оформить лечение в рассрочку.
Наши врачи
Отзывы пациентов
ул. Пришвина, дом 17
Лицензия клиники в Бибирево
Сведения о юридическом лице клиники в Бибирево
Правила предоставления медицинских услуг в клинике Бибирево
Правила поведения в медицинской организации Бибирево
Договор оказания стоматологических услуг
Сведения о территориальной программе 2026-2028 гг. (Москва)
Правила предоставления платных медицинских услуг
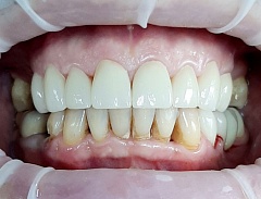
В стоматологии «Все свои!» в Бибирево принимают врачи разных специализаций — терапевты, хирурги, ортопеды, имплантологи, ортодонты. Каждый из них ведёт свой профиль задач, но при необходимости работают в связке: если ситуация пациента затрагивает несколько направлений, врачи обсуждают её совместно и выстраивают единый план, без разрывов между этапами и без ощущения, что каждый специалист решает свою задачу в отдельности.
-
Первичный осмотр стоматолога
Бесплатно!
-
Бонусная карта
30%
-
Скидка на гигиену полости рта
6 330 р. / 12 320 р.
-
Семейная скидка
до 25%
-
Скидка по социальной карте
3%
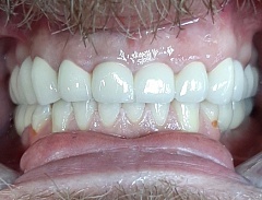
Повышение квалификации здесь — не формальность. Врачи следят за тем, что происходит в профессии, и переносят актуальные подходы в практику. На приёме это проявляется просто: пациенту объясняют не только что нужно сделать, но и почему именно так, в какой последовательности и чего ожидать на каждом этапе.
-
Первичный осмотр стоматолога
Бесплатно!
-
Бонусная карта
30%
-
Скидка на гигиену полости рта
6 330 р. / 12 320 р.
-
Семейная скидка
до 25%
-
Скидка по социальной карте
3%





























