Цены
Процедура противопоказана в период ОРВИ, а также беременным женщинам.
* Условия акций указаны в разделе «Акции».
** Цены и акции, размещённые на сайте не являются публичной офертой. Цены и услуги предоставляются в соответствии с размещенным на сайте прейскурантом платных медицинских услуг.
*** Цены на услуги стоматолога указаны с учётом максимальной скидки и оплаты в течение 2-х дней с момента прохождения первичной консультации.
Преимущества зубного моста
- Служит от 7 до 10 лет.
- Сохраняет естественный оттенок эмали и форму в течение всего срока ношения.
- Позволяет восстановить 2 или 3 рядом стоящих зуба.
- Не требует специального ухода и длительного привыкания.
Как проходит процедура
- Во время первого приема врач осматривает ротовую полость и определяет устойчивость опорных зубов, производит санацию, обточку и удаление нервов.
- Снимается слепок для изготовления зубного моста в лаборатории.
- Пациенту устанавливается временная конструкция.
- Примерка и подгонка мостовидного протеза.
- Установка при помощи цементирующего геля.

После установки
Привыкание занимает всего 1-2 дня. Поскольку протез несъемный, уход за ним такой же, как и за собственными зубами. Однако не забывайте посещать стоматолога 1-2 раза в год для профессиональной чистки и своевременной диагностики кариеса и болезней десен.
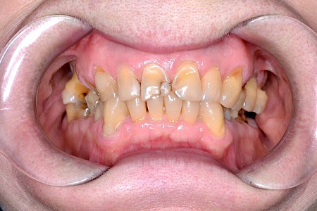
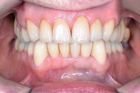
Работы наших врачей

Зубной мост или имплант?
Во время имплантации нет необходимости обтачивать рядом стоящие здоровые зубы. Однако этот метод может быть противопоказан, а также требует значительно больше времени. Если мостовидный протез можно установить за 7-10 дней, то двухэтапная имплантация занимает до 6 месяцев. Другой важный фактор – экономический: цена на зубной мост в несколько раз ниже стоимости титанового корня.
Зубной мост в клинике «Все свои!»


