Отзывы пациентов
Расчёт стоимости лечения
           
Отправление
               
Заявка отправлена
          

Нажимая на кнопку «Отправить», вы даете согласие на обработку персональных данных и соглашаетесь с политикой конфиденциальности.
Специалист временно не ведет прием.

Владимир Геннадьевич

врач стоматолог-ортопед

2005 г. - Окончил Московский государственный медико-стоматологический университет по специальности «Стоматология».

2006 г. - Интернатура в Московском государственном медико-стоматологическом университете по специальности «Стоматология общей практики».

2008 г. - Ординатура в Московском государственном медико-стоматологическом университете по специальности «Стоматология ортопедическая».

2013 г. - Повышение квалификации в Московском государственном медико-стоматологическом университете по специальности «Стоматология ортопедическая».

2018 г. - Повышение квалификации в Современной нацчно-технологической академии по специальности «Стоматология ортопедическая».

2020 г. - Повышение квалификации в Группе компаний «Профи» по специальности «Стоматология ортопедическая».

Дополнительное образование:

2013 год:

  • «Хирургические и ортопедические задачи для достижения бескомпромиссной эстетики при протезировании на имплантатах», Давидян Арам;
  • «Неотложная помощь при соматических осложнениях на амбулаторном стоматологическом приеме», Старков С.А.;
  • Круглый стол «Ортопедическое лечение пациентов с частичным отсутствием зубов съемными конструкциями протезов», Тимофеева-Петрова Т.П.;
  • «Шесть золотых правил в протезировании на имплантатах - Как облегчить себе жизнь и удовлетворить запросы пациента», Ашок Сети;
  • «Комплексное протезирование», Самсонов А. А.;
  • «Основные базовые принципы гнатологии», Кример Д.;
  • «Планирование ортопедической конструкции с опорой на дентальные импланты». «Использование бинокуляров в стоматологической практике», Горлов А.;
  • «Адгезивные цельнокерамические реставрации- путь к достижению идеального эстетического и функционального результата», Чикунов С. О. и Никоненко Д.М.;
  • «Актуальные вопросы ортопедической стоматологии»;
  • «Планирование ортопедических конструкций с опорой на имплантаты», Ким Э.В.

2014 год:

  • «Артикуляционные системы SAM теория и практика», Северилов Дмитрий;
  • «Центральное соотношение челюстей (ЦСЧ) – обзор методик, показания к применению в зависимости от клинической ситуации. Преимущества и недостатки, инструменты и материалы», Кример Дмиитрий.
Чтобы записаться на прием, звоните по телефону
+7 495788-58-08

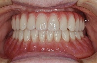
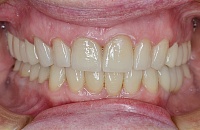
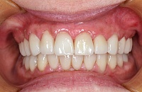
Работы врача

Отзывы пациентов

Хочу поблагодарить за проделанную работу техника Сергея, фамилию не знаю, ортопеда Крицкого В.Г. Всем терапевтам, с кем приходилось сталкиваться при лечении. Сделана огромная работа, с чем я благодарна. Работа шла долго но это стоило ждать. Огромное спасибо! Всем и медсёстрам, менеджерам, огромное им всем спасибо!

20 января 2017

Читать другие отзывы
Ставил коронки и импланты. Доктор внимательный и очень аккуратный. Рекомендую.

16 июня 2015

Записалась на прием по совету знакомой. Не пожалела ! Доктор старается все сдлать очень комфортно. Большое спасибо ! Буду рекомендовать Владимира Геннадьевича своим знакомым.

03 января 2014

Внимательный, аккуратный и грамотный специалист. Спасибо.

17 декабря 2013

Задать вопрос
Оставить отзыв
           
Отправление
               
Ваш вопрос отправлен
          

Задать вопрос

Ваше имя
Возраст
Вопрос

Телефон

WhatsApp номер

Viber номер
Укажите предпочитаемый способ связи Электронная почта, Обратный звонок, WhatsApp, Viber
Нажимая на кнопку «Отправить», вы даете согласие на обработку персональных данных и соглашаетесь с политикой конфиденциальности.
           
Отправление
               
Ваш отзыв отправлен
          

Оставить отзыв

Ваше имя
Возраст
Почта
Отзыв

Нажимая на кнопку «Отправить», вы даете согласие на обработку персональных данных и соглашаетесь с политикой конфиденциальности.