Отзывы пациентов
Расчёт стоимости лечения
           
Отправление
               
Заявка отправлена
          

Нажимая на кнопку «Отправить», вы даете согласие на обработку персональных данных и соглашаетесь с политикой конфиденциальности.
Специалист временно не ведет прием.

Азрет Мустафаевич

врач стоматолог-ортопед

2018 г. - Окончил Кабардино-Балкарский государственный университет им. Х.М. Бербекова по специальности «Стоматология».

2020 г. - Ординатура в Национальном медицинском исследовательском центре стоматологии и челюстно-лицевой хирургии по специальности «Стоматология ортопедическая».

Чтобы записаться на прием, звоните по телефону
+7 495788-58-08

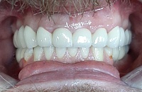
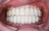
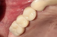
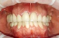
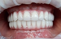
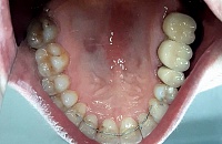
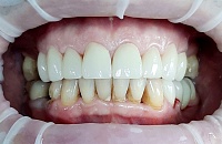
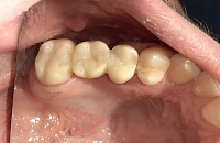
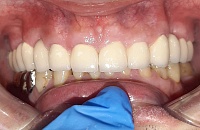
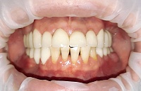
Работы врача

Отзывы пациентов

Очень рада, что попала в руки к такому замечательному доктору Азрету Мустафаевичу. Долгое время ходила комплексовала из-за своей улыбки, теперь получаю от комплименты. Спасибо ещё раз большое! Буду с радостью рекомендовать вас.

13 января 2024

Читать другие отзывы
Очень вежливый и знающий свое дело доктор . Понятно объяснил мне все этапы лечения. Доверяю Азрету Мустафаевичу

27 ноября 2023

Азрет Мустафаевич! Спасибо Вам большое! За понимание! За профессионализм! Я буду Вас советовать своим друзьям и знакомым!  Большое спасибо!

10 ноября 2023

По счастливой случайности попал к доктору Азрету Мустафаевичу и с первого приема он вызывал у меня доверие! Долгое время скитался по разным докторам и никто не мог мне помочь в моей непростой ситуации, но доктор Азрет Мустафаевич отлично справился и вернул мне прекрасную улыбку!

29 января 2023

Дорогой Азрет Мустафаевич! От всей души благодарю Вас за Вашу работу, внимательность, терпение, доброту к пациенту. Вы чудесный врач и лечиться у Вас - это поистине радость в жизни. Здоровья Вам, всего самого доброго и хорошего! Благополучия и мира! С большим уважением, Сергей Карпенко. Москва, 13 мая 2022 г.

13 мая 2022

Азрет Мустафаевич, спасибо вам за ваши золотые руки и за невероятный индивидуальный и трепетный подход к пациенту. Спасибо вам за терпение и понимание. Если раньше для меня стоматология была как поход на расстрел, то сейчас я бегу к вам как в салон красоты))) Спасибо, что изменили моё отношение к стоматологии. Навеки ваш пациент.

03 августа 2021

Задать вопрос
Оставить отзыв
           
Отправление
               
Ваш вопрос отправлен
          

Задать вопрос

Ваше имя
Возраст
Вопрос

Телефон

WhatsApp номер

Viber номер
Укажите предпочитаемый способ связи Электронная почта, Обратный звонок, WhatsApp, Viber
Нажимая на кнопку «Отправить», вы даете согласие на обработку персональных данных и соглашаетесь с политикой конфиденциальности.
           
Отправление
               
Ваш отзыв отправлен
          

Оставить отзыв

Ваше имя
Возраст
Почта
Отзыв

Нажимая на кнопку «Отправить», вы даете согласие на обработку персональных данных и соглашаетесь с политикой конфиденциальности.