Цены
Процедура противопоказана в период ОРВИ, а также беременным женщинам.
* Условия акций указаны в разделе «Акции».
** Цены и акции, размещённые на сайте не являются публичной офертой. Цены и услуги предоставляются в соответствии с размещенным на сайте прейскурантом платных медицинских услуг.
*** Цены на услуги стоматолога указаны с учётом максимальной скидки и оплаты в течение 2-х дней с момента прохождения первичной консультации.
Преимущества покрывного протеза
- Обеспечивает равномерную жевательную нагрузку;
- Замедляет и останавливает атрофию в кости;
- Не давит на слизистую;
- Подходит людям с повышенным рвотным рефлексом;
- Имеет естественный внешний вид;
- Не требует специального ухода.
Этапы установки покрывного протеза
- Бесплатная диагностика. Проводим компьютерное обследование и составляем индивидуальный план лечения.
- Подготовка. При необходимости выполняем полную санацию полости рта.
- Установка импланта. Процедура проходит под анестезией и занимает до 1,5 часов.
- Временная фиксация. На период приживления (3–4 месяца) устанавливается временная конструкция.
- Финальный этап. Снимаем слепок, изготавливаем и фиксируем полный покрывной протез. Это занимает в среднем 2–3 недели.
- На время ожидания. По желанию предоставим съёмный временный протез, чтобы сохранить комфорт и эстетику.

А что после
После установки покрывного протеза вы сразу почувствуете разницу — станет проще жевать, говорить и улыбаться. Протез будет надёжно зафиксирован, не смещается во время еды и не натирает слизистую, как это часто бывает с классическими съёмными конструкциями. Чтобы сохранить результат, важно соблюдать простые правила гигиены: регулярно чистить протез, ухаживать за полостью рта и посещать врача для профилактических осмотров. Если протез установлен на имплантах, раз в год потребуется пройти профессиональную чистку и контроль состояния конструкции.
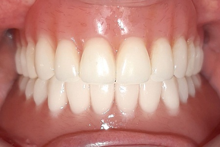
Работы наших врачей

Почему мы рекомендуем покрывной протез на импланте
Его стоимость несколько выше, чем у конструкции с установкой на свои корни, но ваши затраты гарантировано окупятся. Прослужит полный покрывной протез на имплантах от 10 до 20 лет, в отличие от нескольких лет, если установить его на собственные корни зубов.
Вы восстановите полноценную жевательную функцию, что положительно скажется на пищеварении и общем самочувствии. За счёт установки покрывного протеза удастся предупредить атрофию костной ткани и избежать провалов в области дёсен. Вам не придётся тратиться на регулярную замену съёмных конструкций — это долгосрочное решение, которое экономит и средства, и нервы.
Почему стоит выбрать «Все свои»


