Отзывы пациентов
Расчёт стоимости лечения
           
Отправление
               
Заявка отправлена
          

Нажимая на кнопку «Отправить», вы даете согласие на обработку персональных данных и соглашаетесь с политикой конфиденциальности.
Специалист временно не ведет прием.

Гамзат Абдулбариевич

врач стоматолог-ортопед

2004 г. — закончил Дагестанскую Государственную Медицинскую Академию. Диплом врача-стоматолога.

2005 г. — постдипломная специализация по общей стоматологии (клиническая интернатура в ДГМА). Имеет квалификационный сертификат.

2007 г. — Российская медицинская академия последипломного образования г. Москва — повышение квалификации. Обучение по теме: «Современные стоматологические материалы и технологии компании VOCO (Германия)».

2005 - 2008 гг. — работа врачом-ортопедом в частной стоматологической клинике г. Мегион, Тюменской области.

С 2008 г. работает в частных клиниках г. Москвы.

2009 г. — закончил Российскую медицинскую академию последипломного образования г. Москвы - сертифицированный специалист по ортопедической стоматологии. Диплом с отличием.

2010 г. — участвовал в научном семинаре: «Клиентоориентированный сервис - эффективный подход, лояльный пациент». В стоматологической конференции на тему: «Цельнокерамические конструкции в практике достижения долгосрочного эстетического результата непрямой реставрации» (г. Москва 3М ESPE). В конференции на тему: «Диагностика и лечение заболеваний ВНЧС» г. Москва.

2011 г. – принял участие в тренинг-семинаре на тему: «Стресс менеджмент и эффективное межличностное взаимодействие в организации».

Посетил лекции:

  • 2013 год:
  • «Хирургические и ортопедические задачи для достижения бескомпромиссной эстетики при протезировании на имплантатах», лектор Давидян Арам;
  • «Неотложная помощь при соматических осложнениях на амбулаторном стоматологическом приеме», лектор Старков С. А.;
  • «Шесть золотых правил в протезировании на имплантатах - Как облегчить себе жизнь и удовлетворить запросы пациента», лектор Ашок Сети;
  • «Комплексное протезирование», лектор Самсонов А. А.;
  • «Основные базовые принципы гнатологии», лектор Кример Д.;
  • «Планирование ортопедической конструкции с опорой на дентальные импланты». Лектор Горлов А.
  • 2014 год:
  • «Артикуляционные системы SAM теория и практика», лектор Северилов Дмитрий;
  • «Центральное соотношение челюстей (ЦСЧ) – обзор методик, показания к применению в зависимости от клинической ситуации. Преимущества и недостатки, инструменты и материалы», лектор Кример Дмиитрий.

Специализируется на: протезировании на имплантатах, эстетических реставрациях (микропротезирование), съемном и несъемном протезировании.

Постоянно проходит обучение по данным направлениям в стоматологии.

Опыт работы: 11 лет.

Чтобы записаться на прием, звоните по телефону
+7 495788-58-08

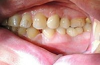
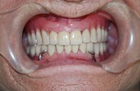
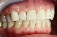
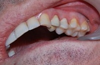
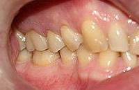
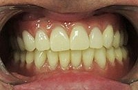
Работы врача

Вопросы пользователей

Анна, 28 лет:
Отвадилась пломба , остался корень . Можно восстановить зуб или все же удаление
Ответ:
Здравствуйте. Если корень здоровый и устойчивый, то возможна установка коронки. Если же он слишком испорчен и не обладает всеми необходимыми параметрами, его придется удалить. На месте удаленного зуба можно провести имплантацию или протезирование одиночным протезом. Всё зависит от результата осмотра и прицельного снимка зуба. Консультация проводится бесплатно, стоимость снимка можно посмотреть на сайте, в разделе «Цены».
Читать другие вопросы
Камила, 14 лет:
Здравствуйте, мои 4 передних зуба сломались от кариеса остались только коришки что делать с ними? я хочу красивую улыбку что нужно сделать.
Ответ:
Добрый день. Необходима консультация. Если можно сохранить корешки, можно поставмить коронки. Если надо удалять, можно поставить импланты или съемный протез.
Задать вопрос
Оставить отзыв
           
Отправление
               
Ваш вопрос отправлен
          

Задать вопрос

Ваше имя
Возраст
Вопрос

Телефон

WhatsApp номер

Viber номер
Укажите предпочитаемый способ связи Электронная почта, Обратный звонок, WhatsApp, Viber
Нажимая на кнопку «Отправить», вы даете согласие на обработку персональных данных и соглашаетесь с политикой конфиденциальности.
           
Отправление
               
Ваш отзыв отправлен
          

Оставить отзыв

Ваше имя
Возраст
Почта
Отзыв

Нажимая на кнопку «Отправить», вы даете согласие на обработку персональных данных и соглашаетесь с политикой конфиденциальности.