Отзывы пациентов
Расчёт стоимости лечения
           
Отправление
               
Заявка отправлена
          

Нажимая на кнопку «Отправить», вы даете согласие на обработку персональных данных и соглашаетесь с политикой конфиденциальности.
Специалист временно не ведет прием.

Мустафа Хасмагометович

врач стоматолог-ортопед

2016 г. - Окончил Московский государственный медико-стоматологический университет им.А.И. Евдокимова.

2018 г. - Ординатура в Московском государственном медико-стоматологическом университете им.А.И. Евдокимова по специальности «Стоматология ортопедическая».

Дополнительное образование:

«Реабилитация пациентов с полной потерей зубов», Nobel Biocare.

Чтобы записаться на прием, звоните по телефону
+7 495788-58-08

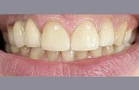
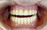
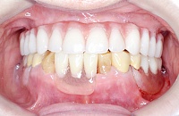
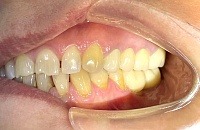
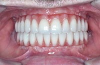
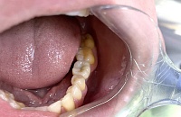
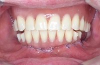
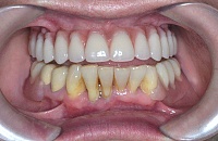
Работы врача

Отзывы пациентов

Обслуживаюсь в клинике все свои Раменки около трёх лет. За это время врачами клиники была проведена большая работа по восстановлению зубного ряда, исправлена некачественая работа врачей другой клиники. Семь имплантов одна коронка и виниры были установлены по итогу. Нальгиеву М. Х. достался наибольший "фронт" работ. По истечением времени можно говорить о качестве выполненной работы. В лице Нальгиева М. Х. выражаю свою благодарность врачам по установке имплантов и коронок. Коронки установлены циркониевые, смотрятся как свои зубы.По документам клиники можно получить налоговый вычет за лечение что является приятным бонусом.

17 ноября 2023

Читать другие отзывы
Спасибо огромное Нальгиеву Мустафе за кропотливую работу по установке металлокерамики.
Чувствуется профессионализм врача, а так же внимательность и вежливость. Всем  доволен, ещё раз спасибо!

17 августа 2020

Задать вопрос
Оставить отзыв
           
Отправление
               
Ваш вопрос отправлен
          

Задать вопрос

Ваше имя
Возраст
Вопрос

Телефон

WhatsApp номер

Viber номер
Укажите предпочитаемый способ связи Электронная почта, Обратный звонок, WhatsApp, Viber
Нажимая на кнопку «Отправить», вы даете согласие на обработку персональных данных и соглашаетесь с политикой конфиденциальности.
           
Отправление
               
Ваш отзыв отправлен
          

Оставить отзыв

Ваше имя
Возраст
Почта
Отзыв

Нажимая на кнопку «Отправить», вы даете согласие на обработку персональных данных и соглашаетесь с политикой конфиденциальности.