Цены
Процедура противопоказана в период ОРВИ, а также беременным женщинам.
* Условия акций указаны в разделе «Акции».
** Цены и акции, размещённые на сайте не являются публичной офертой. Цены и услуги предоставляются в соответствии с размещенным на сайте прейскурантом платных медицинских услуг.
*** Цены на услуги стоматолога указаны с учётом максимальной скидки и оплаты в течение 2-х дней с момента прохождения первичной консультации.
Преимущества чистки зубов в кресле стоматолога
- Устраняет камни, налет и неприятный запах изо рта.
- Защищает от кариеса и воспалений.
- Возвращает эмали естественный цвет.
- Не вызывает дискомфорта и занимает не более 40 минут.
Как проходит комплексная профессиональная чистка
- На первом этапе врач использует ультразвуковой скалер для борьбы с твердыми отложениями на всей поверхности зубов.
- Когда камень удален ультразвуком, врач приступает к устранению налета с помощью аппарата Air Flow. Мощная струя из воздуха, воды и соды проникает даже в самые труднодоступные межзубные промежутки, убирая пигментные пятна с эмали.
- Завершающий этап – полировка, после которой поверхность зубов становится гладкой и ровной.

Рекомендации после процедуры
После профессиональной чистки на 1 час откажитесь от приема пищи, а в течение следующих суток не употребляйте красящиеся, острые, кислые, горячие и холодные продукты. Мы советуем приобрести новую зубную щетку, регулярно чистить зубы утром и вечером, а также использовать нить или ирригатор. Чистить зубы у стоматолога нужно не реже 1 раза в год.
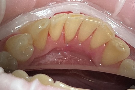
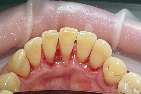
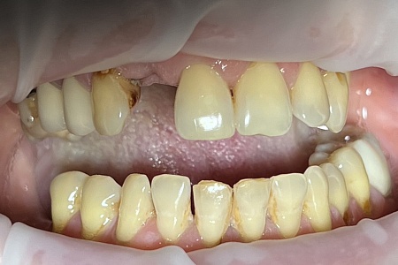
Работы наших врачей

Можно ли обойтись домашними средствами?
Регулярная домашняя гигиена необходима для здоровья полости рта, но обычная зубная щетка удаляет не все зубные отложения – камень и пигментные пятна остаются на эмали. Профессиональная чистка с использованием специального оборудования полностью устраняет налет и предотвращает болезни зубов и десен.
Профессиональная чистка зубов в клинике «Все свои!»


