Расчёт стоимости лечения
Власова Светлана Александровна
гигиенист стоматологический
2013 г. - Окончила Московский областной медицинский колледж, по специальности «Стоматология профилактическая».
2018 г. - Повышение квалификации в Российском университете дружбы народов по специальности «Стоматология профилактическая».
2023 г. - Повышение квалификации во Всероссийском учебно-научно-методическом центре по непрерывному медицинскому и фармацевтическому образованию по специальности «Стоматология профилактическая».
Дополнительное образование:
- «Отбеливание: система Zoom»;
- «Лечение начальных форм кариеса без препарирования зубов «ICON»;
- «Отбеливание зубов с применением технологий Philips ZOOM! Chairside, DayWhate, NiteWhite;
- «Эффективное и безопасное проведение процедуры клинического отбеливания при помощи системы Philips ZOOM!»
Профессиональные навыки:
- профессиональная гигиена в полном объеме;
- профилактика заболеваний пародонта и твердых тканей зуба, терапия десны;
- ультразвуковая обработка, воздушно-абразивная Air Flow;
- профессиональная гигиена у пациентов с брекет-системой;
- профессиональная гигиена у пациентов с молочным и сменным прикусом;
- реминерализирующая терапия;
- проведение уроков гигиены, подбор средств индивидуальной гигиены;
- изготовление капп для домашнего отбеливания и реминерализующей терапии;
- офисное и домашнее отбеливание;
- профессиональное отбеливание с применением системы «ZOOM».
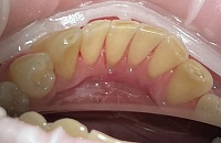
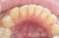
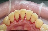
Работы врача
Отзывы пациентов
Гаяне, 54 года:
Хочу поблагодарить Светлану Александровну за очень качественно выполненную работу, внимательность, комфорт во время манипуляции. Обязательно к ней вернусь!
Спасибо, Светлана Александровна!
Спасибо, Светлана Александровна!
08 апреля 2023
Анна, 25 лет:
Спасибо за помощь с комплексной чисткой + за консультацию по снижению чувствительности, очень советую этого специалиста
25 января 2022
Павел, 40 лет:
Приходил зимой на комплексную чистку полости рта к Светлане. Профессионал своего дела!!! Качество работы на 5 баллов!!! Дала необходимую консультацию за гигиеной. Рекомендую!!! 5 баллов!!!
04 мая 2021
Илья, 37 лет:
Огромная благодарность Светлане за её профессионализм. Недавно проходил у неё процедуру комплексной гигиены полости рта и был приятно удивлён тщательностью и качеством её работы, а также грамотную и исчерпывающую консультацию.
13 апреля 2021
Владислав, 30 лет:
Был у этой замечательной девушки и прекрасного специалиста на процедуре Air Flow. Качество и профессионализм на высшем уровне! В начале получил детальную консультацию, ответы на все свои вопросы, затем аккуратную и качественную работу, а после наставления по уходу и гигиене полости рта в домашних условиях и закреплению результата.
В бушующем буду частым пациентом в этой клинике и только у этого специалиста.
В бушующем буду частым пациентом в этой клинике и только у этого специалиста.
21 октября 2019
Владислав, 30 лет:
Был у этой замечательной девушки и прекрасного специалиста на процедуре Air Flow. Качество и профессионализм на высшем уровне! В начале получил детальную консультацию, ответы на все свои вопросы, затем аккуратную и качественную работу, а после наставления по уходу и гигиене полости рта в домашних условиях и закреплению результата.
В бушующем буду частым пациентом в этой клинике и только у этого специалиста.
В бушующем буду частым пациентом в этой клинике и только у этого специалиста.
15 октября 2019
Задать вопрос
Оставить отзыв














