Цены
Процедура противопоказана в период ОРВИ, а также беременным женщинам.
* Условия акций указаны в разделе «Акции».
** Цены и акции, размещённые на сайте не являются публичной офертой. Цены и услуги предоставляются в соответствии с размещенным на сайте прейскурантом платных медицинских услуг.
*** Цены на услуги стоматолога указаны с учётом максимальной скидки и оплаты в течение 2-х дней с момента прохождения первичной консультации.
**** Стоимость имплантов указана без учёта стоимости анестезии, формирователя десны, элементов протезирования, коронки/протеза. Полную стоимость имплантации можно уточнить на первичной консультации врача после диагностики.
Методы имплантации в стоматологии «Все свои!»
В нашей клинике используются современные методы имплантации зубов, адаптированные под различные клинические случаи. Мы предлагаем варианты как для восстановления отдельных зубов, так и полного зубного ряда. Все методы гарантируют надежность, комфорт и долговечность результата, с учетом ваших индивидуальных потребностей.
- Риск отторжения практически отсутствует, так как за 3-6 месяцев до установки коронки имплант успевает полностью прижиться к костной ткани.
- Проводится одновременно с костной пластикой, что позволяет устанавливать имплант при болезнях десен и недостаточной ширине кости.
- За одну операцию восстанавливается любое количество единиц.
- Широкий ассортимент брендов и моделей титановых корней от бюджетных до премиум-класса.
Как проходит имплантация в клинике «Все свои!»
- На первичном осмотре стоматолог сделает рентген, чтобы оценить состояние зубов и костной ткани. При необходимости врач назначит лечение кариозных очагов и пломбирование каналов.
- Если костной ткани недостаточно, необходимо провести синус-лифтинг. Операция длится несколько часов, а период восстановления может занимать от 1 до 3 месяцев.
- Классическая имплантация начинается с разреза десны. Стоматолог вживляет в отверстие имплант, устанавливает заглушку и зашивает рану. Через 3-6 месяцев устанавливается постоянный протез.
- При одномоментной операции наращивание кости не требуется. Врач делает надрез в месте потерянного зуба или удаляет травмированную единицу. В лунку вставляется искусственный корень с заглушкой. Последний этап – наложение швов и установка временной коронки.
- Все процедуры абсолютно безболезненны, так как проводятся под местной анестезией.

Реабилитационный период после имплантации
Искусственный корень полностью приживается к костной ткани за 3-6 месяцев. Чтобы восстановительный процесс прошел быстро и безболезненно, следуйте рекомендациям стоматолога. В первые пару недель особенно важно отказаться от физических нагрузок, алкоголя, курения, использования жестких зубных щеток, твердой, холодной и горячей пищи. Через 2-3 дня стоматолог снимет швы, но мы советуем придерживаться ограничений еще минимум 1 месяц, чтобы ускорить заживление.
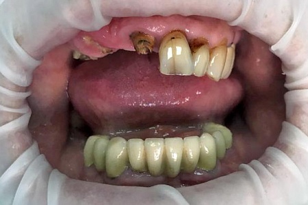
Работы наших врачей

Импланты или мосты?
Стоимость имплантации зубов значительно выше цен на съемное протезирование, но все ваши затраты окупятся, так как титановый корень прослужит вам минимум 20 лет, а протезы придется менять каждые 5-7 лет. К тому же имплантация не требует обточки здоровых зубов и полностью останавливает атрофию костной ткани, съемные конструкции лишь притормаживают этот процесс.
Преимущества имплантации зубов в клинике «Все свои!»


