Отзывы пациентов
Расчёт стоимости лечения
           
Отправление
               
Заявка отправлена
          

Нажимая на кнопку «Отправить», вы даете согласие на обработку персональных данных и соглашаетесь с политикой конфиденциальности.

Био-гигиена всей полости рта

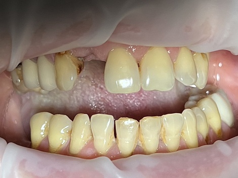
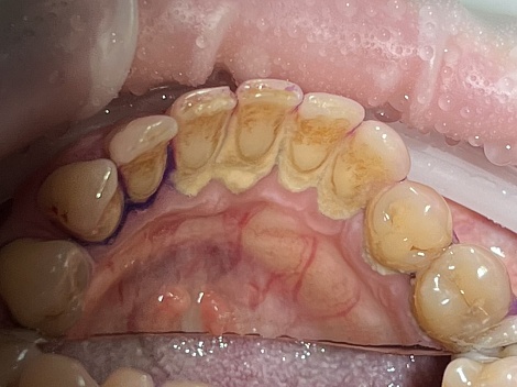
До
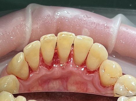
После
До
После
Пациент обратился с жалобами на кровоточивость десен во время домашней чистки зубов.
После осмотра и диагностики выставлен диагноз: хронический генерализованный пародонтит.
В рамках лечения выполнена био-гигиена полости рта, включающая профессиональную чистку и удаление налёта.

Заболевания: Пародонтит