Михайлов Владимир Николаевич
2015 г. - Окончил Московский государственный медико-стоматологический университет им.А.И. Евдокимова по специальности «Стоматология».
2016 г. - Интернатура в Московском государственном медико-стоматологическом университете им.А.И. Евдокимова по специальности «Стоматология общей практики».
2017 г. - Профессиональная переподготовка в Институте повышения квалификации Федерального медико-биологического агенства по специальности «Стоматология ортопедическая».
2019 г. - Профессиональная переподготовка в Университете профессиональных стандартов по специальности «Стоматология хирургическая».
2020 г. - Повышение квалификации в Университете профессиональных стандартов по специальности «Стоматология ортопедическая».
2025 г. - Повышение квалификации в Российской медицинской академии непрерывного профессионального образования по специальности «Стоматология ортопедическая».
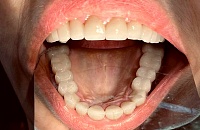
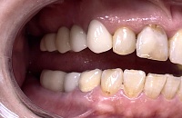
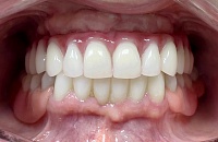
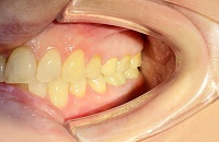
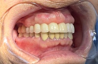
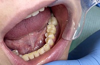
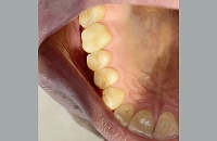
Работы врача
Отзывы пациентов
Ставила 2 импланта, имплантолог Силаев Р.С., парадонтолог Пачалов Ш., ортопед-Михайлов В.Н. В целом все понравилось на все вопросы ответили, на жалобы откликались своевременно. В случае сомнения по заживлению всегда могла подойти на внеплановый осмотр и врач- стоматолог оценивая результат давал рекомендации. Сегодня поставили коронки — красиво и надеюсь надолго. Всем спасибо.08 ноября 2024
30 января 2022
Желаю успехов!
06 апреля 2021
03 сентября 2020
Снова посетила доктора Владимира Николаевича Михайлова. В очередной раз получила квалифицированную помощь. Даже в самой безвыходной ситуации у него есть выход. Большое спасибо доктору! Крепкого ему здоровья, хорошего настроения, долгих лет жизни! С наступающим Новым Годом!
30 ноября 2019
Я, Забара Валентина Ивановна была на приеме у доктора Михайлова Владимира Николаевича. Получила квалифицированную помощь по перебазированию протеза. Очень довольна результатом работы. Коллектив клиники работает слаженно, профессионально. Отношение доброжелательное. Буду советовать своим друзьям и знакомым пользоваться усгугами этой клиники. Большое спасибо!25 августа 2019








