Отзывы пациентов
Расчёт стоимости лечения
           
Отправление
               
Заявка отправлена
          

Нажимая на кнопку «Отправить», вы даете согласие на обработку персональных данных и соглашаетесь с политикой конфиденциальности.

Стоматология «Все свои!» на Петровско-Разумовской

Записать вас на приём к стоматологу?

Клиника переехала на ст.м. Окружная.

«Все свои!» у метро Петровско-Разумовская — это стоматологическая клиника с огромным опытом работы: уже более 10 лет мы лечим и удаляем зубы, устанавливаем протезы и импланты, исправляем прикус брекетами. Кроме того, вы можете записаться на профессиональную чистку и отбеливание зубов. Первая консультация бесплатно!

мая

Режим работы: ежедневно с 8:00 до 23:00, работаем в выходные и праздники. Лечение можно оформить в кредит. У нас действуют сезонные скидки на лечение, а для постоянных пациентов есть программа лояльности.


Запись на приём (круглосуточно) +7 495 104-90-04 или мы можем вам перезвонить

Отзывы пациентов

  • Добрый день. Хотелось бы отметить работу главврача клиники на петровко Разумовской. Георгий Георгиевич идеальный врач, как профессионал. Но также хотелось бы отметить, то как он может сгладить любой конфликт, который возникает, в следствии некачественной работы других врачей (но это лишь мое мнение, я не врач). Огромное ему спасибо!!!!
    Здравствуйте! Меня зовут Николай. Мне оказывали стоматологическую помощь по лечению десен, кариеса и установке имплантов в клинике Все свои Дмитровский, хочу поблагодарить персонал за квалифицированную работу, а именно администратора Светлану Дроганову, терапевта Бочкареву М.Н. и ортопеда Медвеженко С.О. Буду рекомендовать всем своим знакомым обращаться в клинику в оказании стоматологической помощи. С наступающим Новым годом. Здоровья Вам всем и удачи. Спасибо за Вашу работу!
    Хочу выразить огромную благодарность руководству и персоналу Стоматологической Клиники «Все свои!» на метро Петровско-Разумовская:
    - за высочайший профессионализм,
    - за применение современных методов лечения,
    - за слаженную работу,
    - за внимательное, чуткое и доброе отношение к пациентам.

    Особо хочу поблагодарить:
    Светлану Олеговну Медвеженко,
    Джабраила Камильевича Рахматуллаева,
    Марата Мавлудиновича Магамедова,
    Елизавету Петровну Бейзель,
    Карину Юрьевну Козлову,
    Марию Николаевну Бочкареву.

    Спасибо всем сотрудникам Стоматологической Клиники «Все свои!»
    Желаю Вам дальнейших успехов и достойного вознаграждения за Ваш нелегкий труд!
    Многая и благая лета!

    С уважением
    Соловьева Л.А., 16.11.2021
    Сегодня у меня праздник -завершение протезирования.Это произошло благодаря прекрасным врачам клиники ,которая расположена у м.Петровско-Разумовская .Лучший имплантолог клиники Рахматуллаев Д.К. грамотный,профессиональный,провел операцию с глубоким знанием технологии по внедрению имплантов.В послеоперационный период всегда находилась под внимателным наблюдением .Благодаря этому успешному периоду , была передана в руки оптопеду Мартикяну Г.А. Вот уже где ВРАЧ по призванию.Лучший в своей нише, а мне есть с чем сравнить.Протезы ,прошедшие его руки ,выверены до микрона и ничем не отличаются от родных зубов(даже лучше) Очень внимательный персонал клиники на уровне зарубежных клиник .Рекомендую ортопеда Георгия Артуровича Мартикяна -проверено на себе -сделано в СССР.Если вам нужны протезы ничем не отличающихся от родных зубов- это сюда.Даже порадовалась за нашу стоматологию-могут же работать на высоком уровне.Спасибо докторам и персоналу клиники"Все свои " Дмитровское шоссе д.30 за отлично проведенную работу.
  • Спасибо Кузнецову Артему Сергеевичу за высокопрофессиональную работу. В моем случае было невозможно нарастить костную ткань, поэтому врач назначил установку имплантов зигома. Все прошло быстро и совсем без боли. Всем советую клинику «Все свои!».
  • Спасибо клинике " Все свои" на Петровско-Разумовской и особенно Зимину Алексею Викторовичу за добросовестный труд, заботу о пациентах, за старание. за понимание. Зимин Алексей Викторович прекрасный стоматолог-гигиенист.
    Сломалась стенка зуба, в клинике на Петровско-разумовской предложили несколько вариантов, я выбрал вариант временный - световую пломбу. Очень комфортно прошла работа по установке пломбы (простити-извините, с запоминанием имён у меня туго, дама-стоматолог с рыжими волосами - вы прекрасна :3, желаю вам непрерывного продолжения успехов), гораздо быстрее чем в бесплатной (в других клиниках ранее не лечился), врач дополнительно поработала с пломбой, чтобы хорошо распределялась нагрузка на зуб пока я не приду ставить коронку, пломба идеально отшлифована. И неожиданно дёшево))). В общем мой сердечный лойс
    Обслуживаюсь во "Все свои"(отделение Петровско - Разумовская) с ноября 2014 года. Дальше тоже буду обслуживаться только здесь. В 2015 году привел свою маму(75 лет) на протезирование. Очень довольна до сих пор. Персонал очень приветливый и отзывчивый. Врачи ГИПЕРПРОФЕССИОНАЛЫ своего дела. Уже 6 лет ношу протезы "Квадротти", сделанные и установленные в этой клинике. ИДЕАЛЬНО !!! Особая благодарность Григорию Григорьевичу Мадатяну. Настоящий профессионал. Все делается абсолютно безболезненно и качественно. Рекомендую всем. Название "Все свои" себя полностью оправдывает - СВОИХ НЕ БРОСАЮТ !!!
    Хочу выразить благодарность всему персоналу клиники Все Свои! на Петровско-Разумовской. Вежливый и внимательный персонал на ресепш) Координатор Евгения, которая с первой и до последней минуты была рядом) Мне назначили удаления зуба мудрости. Честно скажу, очень я этого не хотела, потому что последний  раз мне удаляли зуб еще в детстве и тогда это было больно. Но вариантов не было. Огромное спасибо хочу выразить стоматологу-хирургу Магамедову Марату Мавлудиновичу. Сделал все профессионально. Без боли. Мастер своего дела. Благодаря ему я теперь не боюсь удалять зубы, Марат Мавлудиновичу спасибо Вам огромное за это)) Очень позитивный хирург)) Так же большое спасибо ассистентки Марата Мавлудиновича в тот день (4.03.2020) простите, к сожалению забыла имя)) В следующий раз удалять зуб приду именно ним))
    Все свои! -Вы лучшие)))
  • Могу смело рекомендовать клинику на Пеировско-Разумовской. Был почти у всех специалистов. Проблем во рту у меня хватало. Как обычно запустил... Честно говоря когда шел, даже не ожидал, что смогут так быстро и качественно исправить то, что у меня было) Обычно я не пишу отзывы, но тут сделаю исключение. Порадовали, спасибо большое!
    Делала отбеливание в клинике на Петровско-Разумовской. Получилось шикарно . Спасибо большое врачу за отличную работу!!!
    Пришел в клинику на Петровско-Разумовский с вопросом о протезировании. Остался приятно удивлен. В платные клиники ранее не обращался. Цены на любой кошелек, отношение персонала клиники очень внимательное, но в то же время ненавязчивое.  Работу сдали вовремя. Остался доволен и качеством исполнения. Рекомендую.
  • Спасибо врачам клиники Перровско-Разумовская за профессиональную помощь, чуткую заботу и понимание. Могу смело рекомендова клинику для лечения!
    Хочу выразить огромную благодарность врачу хирургу Магомедову Марату,  в клинике "Все  свои"  на Петровско- Разумовской.Была на приеме 20.10.2019 на удаление зуба Мудрости (8-ка),тянула до последнего,были от знакомых негативные отзывы по поводу удаления,но врач Магомедов Марат удалил так, что я даже не почувствовала,не нужно было даже зашивать,это говорит о высоком профессионализме врача и о его призвании! Спасибо огромное! Всем своим знакомым буду рекомендовать только этого хирурга!
    Выражаю благодарность всем сотрудникам стоматологического центра "Все свои" на Петровско-Разумовской за внимание, доброжелательность и комфортную среду, созданную для пациентов. Сердечно благодарю главного врача Центра Мадатяна Григория Григорьевича, менеджера Памфутову Ольгу за активное участие в решении моих проблем. От всего сердца благодарю врача ортопеда Непомнящего Константина Григорьевича за доброжелательность, внимание и высокий профессионализм. В моей непростой, большого объема стоматологической проблеме, очень помог комплексный подход к диагностике, которая применяется в Центре. Большое Всем сердечное спасибо!

Клиника переехала на Окружную!


Стоматология «Все свои!» на Петровско-Разумовской расположена в 3 минутах от метро. Первый вагон из центра, выход № 1. После выхода из метро идти прямо мимо автобусных остановок, перейти дорогу. Мы находимся справа в 5-этажном кирпичном здании.



Ближайшие районы и станции метро, обслуживаемые стоматологической клиникой (поликлиникой, центром) на м. «Петровско-Разумовская» - м. «Отрадное», «Тимирязевская», «Новослободская», «Алтуфьево», «Владыкино», «Савеловская», «Аэропорт» и др. Доверьте себя и своего ребенка нашим специалистам по взрослой и детской стоматологии!


Лицензия клиники на Петровско-Разумовской
Сведения о юридическом лице клиники на Петровско-Разумовской
Сведения о территориальной программе 2021-2023 гг. (Москва)
Правила предоставления платных медицинских услуг

В данном отделении «Все свои!» есть медицинская лаборатория, в которой вы можете сдать анализы необходимые для осуществления некоторых медицинских процедур, например, имплантации зубов.
Посмотреть прейскурант платных медицинских услугт лаборатории

Приглашаем вас ознакомиться с отзывами пациентов о нашей клинике. Также будем рады узнать мнение клиентов, прошедших лечение в стоматологии «Все свои!».

мая

Запись на приём (круглосуточно) +7 495 104-90-04 или мы можем вам перезвонить
  • Добрый день. Хотелось бы отметить работу главврача клиники на петровко Разумовской. Георгий Георгиевич идеальный врач, как профессионал. Но также хотелось бы отметить, то как он может сгладить любой конфликт, который возникает, в следствии некачественной работы других врачей (но это лишь мое мнение, я не врач). Огромное ему спасибо!!!!
    Здравствуйте! Меня зовут Николай. Мне оказывали стоматологическую помощь по лечению десен, кариеса и установке имплантов в клинике Все свои Дмитровский, хочу поблагодарить персонал за квалифицированную работу, а именно администратора Светлану Дроганову, терапевта Бочкареву М.Н. и ортопеда Медвеженко С.О. Буду рекомендовать всем своим знакомым обращаться в клинику в оказании стоматологической помощи. С наступающим Новым годом. Здоровья Вам всем и удачи. Спасибо за Вашу работу!
    Хочу выразить огромную благодарность руководству и персоналу Стоматологической Клиники «Все свои!» на метро Петровско-Разумовская:
    - за высочайший профессионализм,
    - за применение современных методов лечения,
    - за слаженную работу,
    - за внимательное, чуткое и доброе отношение к пациентам.

    Особо хочу поблагодарить:
    Светлану Олеговну Медвеженко,
    Джабраила Камильевича Рахматуллаева,
    Марата Мавлудиновича Магамедова,
    Елизавету Петровну Бейзель,
    Карину Юрьевну Козлову,
    Марию Николаевну Бочкареву.

    Спасибо всем сотрудникам Стоматологической Клиники «Все свои!»
    Желаю Вам дальнейших успехов и достойного вознаграждения за Ваш нелегкий труд!
    Многая и благая лета!

    С уважением
    Соловьева Л.А., 16.11.2021
    Сегодня у меня праздник -завершение протезирования.Это произошло благодаря прекрасным врачам клиники ,которая расположена у м.Петровско-Разумовская .Лучший имплантолог клиники Рахматуллаев Д.К. грамотный,профессиональный,провел операцию с глубоким знанием технологии по внедрению имплантов.В послеоперационный период всегда находилась под внимателным наблюдением .Благодаря этому успешному периоду , была передана в руки оптопеду Мартикяну Г.А. Вот уже где ВРАЧ по призванию.Лучший в своей нише, а мне есть с чем сравнить.Протезы ,прошедшие его руки ,выверены до микрона и ничем не отличаются от родных зубов(даже лучше) Очень внимательный персонал клиники на уровне зарубежных клиник .Рекомендую ортопеда Георгия Артуровича Мартикяна -проверено на себе -сделано в СССР.Если вам нужны протезы ничем не отличающихся от родных зубов- это сюда.Даже порадовалась за нашу стоматологию-могут же работать на высоком уровне.Спасибо докторам и персоналу клиники"Все свои " Дмитровское шоссе д.30 за отлично проведенную работу.
  • Спасибо Кузнецову Артему Сергеевичу за высокопрофессиональную работу. В моем случае было невозможно нарастить костную ткань, поэтому врач назначил установку имплантов зигома. Все прошло быстро и совсем без боли. Всем советую клинику «Все свои!».
  • Спасибо клинике " Все свои" на Петровско-Разумовской и особенно Зимину Алексею Викторовичу за добросовестный труд, заботу о пациентах, за старание. за понимание. Зимин Алексей Викторович прекрасный стоматолог-гигиенист.
    Сломалась стенка зуба, в клинике на Петровско-разумовской предложили несколько вариантов, я выбрал вариант временный - световую пломбу. Очень комфортно прошла работа по установке пломбы (простити-извините, с запоминанием имён у меня туго, дама-стоматолог с рыжими волосами - вы прекрасна :3, желаю вам непрерывного продолжения успехов), гораздо быстрее чем в бесплатной (в других клиниках ранее не лечился), врач дополнительно поработала с пломбой, чтобы хорошо распределялась нагрузка на зуб пока я не приду ставить коронку, пломба идеально отшлифована. И неожиданно дёшево))). В общем мой сердечный лойс
    Обслуживаюсь во "Все свои"(отделение Петровско - Разумовская) с ноября 2014 года. Дальше тоже буду обслуживаться только здесь. В 2015 году привел свою маму(75 лет) на протезирование. Очень довольна до сих пор. Персонал очень приветливый и отзывчивый. Врачи ГИПЕРПРОФЕССИОНАЛЫ своего дела. Уже 6 лет ношу протезы "Квадротти", сделанные и установленные в этой клинике. ИДЕАЛЬНО !!! Особая благодарность Григорию Григорьевичу Мадатяну. Настоящий профессионал. Все делается абсолютно безболезненно и качественно. Рекомендую всем. Название "Все свои" себя полностью оправдывает - СВОИХ НЕ БРОСАЮТ !!!
    Хочу выразить благодарность всему персоналу клиники Все Свои! на Петровско-Разумовской. Вежливый и внимательный персонал на ресепш) Координатор Евгения, которая с первой и до последней минуты была рядом) Мне назначили удаления зуба мудрости. Честно скажу, очень я этого не хотела, потому что последний  раз мне удаляли зуб еще в детстве и тогда это было больно. Но вариантов не было. Огромное спасибо хочу выразить стоматологу-хирургу Магамедову Марату Мавлудиновичу. Сделал все профессионально. Без боли. Мастер своего дела. Благодаря ему я теперь не боюсь удалять зубы, Марат Мавлудиновичу спасибо Вам огромное за это)) Очень позитивный хирург)) Так же большое спасибо ассистентки Марата Мавлудиновича в тот день (4.03.2020) простите, к сожалению забыла имя)) В следующий раз удалять зуб приду именно ним))
    Все свои! -Вы лучшие)))
  • Могу смело рекомендовать клинику на Пеировско-Разумовской. Был почти у всех специалистов. Проблем во рту у меня хватало. Как обычно запустил... Честно говоря когда шел, даже не ожидал, что смогут так быстро и качественно исправить то, что у меня было) Обычно я не пишу отзывы, но тут сделаю исключение. Порадовали, спасибо большое!
    Делала отбеливание в клинике на Петровско-Разумовской. Получилось шикарно . Спасибо большое врачу за отличную работу!!!
    Пришел в клинику на Петровско-Разумовский с вопросом о протезировании. Остался приятно удивлен. В платные клиники ранее не обращался. Цены на любой кошелек, отношение персонала клиники очень внимательное, но в то же время ненавязчивое.  Работу сдали вовремя. Остался доволен и качеством исполнения. Рекомендую.
  • Спасибо врачам клиники Перровско-Разумовская за профессиональную помощь, чуткую заботу и понимание. Могу смело рекомендова клинику для лечения!
    Хочу выразить огромную благодарность врачу хирургу Магомедову Марату,  в клинике "Все  свои"  на Петровско- Разумовской.Была на приеме 20.10.2019 на удаление зуба Мудрости (8-ка),тянула до последнего,были от знакомых негативные отзывы по поводу удаления,но врач Магомедов Марат удалил так, что я даже не почувствовала,не нужно было даже зашивать,это говорит о высоком профессионализме врача и о его призвании! Спасибо огромное! Всем своим знакомым буду рекомендовать только этого хирурга!
    Выражаю благодарность всем сотрудникам стоматологического центра "Все свои" на Петровско-Разумовской за внимание, доброжелательность и комфортную среду, созданную для пациентов. Сердечно благодарю главного врача Центра Мадатяна Григория Григорьевича, менеджера Памфутову Ольгу за активное участие в решении моих проблем. От всего сердца благодарю врача ортопеда Непомнящего Константина Григорьевича за доброжелательность, внимание и высокий профессионализм. В моей непростой, большого объема стоматологической проблеме, очень помог комплексный подход к диагностике, которая применяется в Центре. Большое Всем сердечное спасибо!

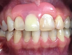
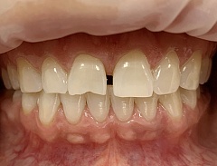
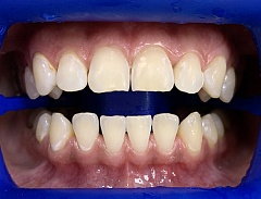
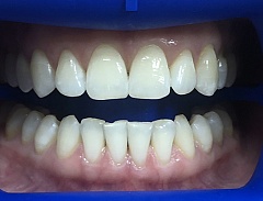
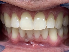
На фото пациентов после лечения вы можете увидеть, как стоматологи нашей клиники решили проблему полной адентии, исправили сложную форму прикуса, провели отбеливание зубов и чистку от зубного камня.

мая

Рассматривая фото работ наших специалистов, которые мы представляем на сайте для наглядности, вы можете понять, какой результат ожидать в конце лечения. Со своей стороны мы гарантируем высокое качество услуг, доброжелательное отношение и стремление сохранить естественную улыбку пациента.

Запись на приём (круглосуточно) +7 495 104-90-04 или мы можем вам перезвонить