Отзывы пациентов
Расчёт стоимости лечения
           
Отправление
               
Заявка отправлена
          

Нажимая на кнопку «Отправить», вы даете согласие на обработку персональных данных и соглашаетесь с политикой конфиденциальности.
Специалист временно не ведет прием.

Адальби Заурбиевич

врач стоматолог-ортопед

2006 - 2011 гг. - Получил высшее образование в КБГУ им. Х.М.Бербекова.

2011 - 2013 гг. - Клиническая ординатура на кафедре Госпитальной Ортопедической Стоматологии, МГМСУ им. А.И.Евдокимова.

2013 - 2016 гг. - Клиническая аспирантура на кафедре ортопедической стоматологии и гнатологии МГМСУ им. А.И.Евдокимова.

Основное направление в практической деятельности работа со съемными и несъемными ортопедическими конструкциями, работа с безметалловыми конструкциями, протезирование на имплантах, индивидуальный подход к каждому клиническому случаю.

Клинический опыт одонтопрепарирования витальных зубов под ортопедические конструкции.

Дальнейшие цели - защита диссертации на соискание ученой степени кандидата медицинских наук.

Чтобы записаться на прием, звоните по телефону
+7 495788-58-08

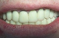
Работы врача

Задать вопрос
Оставить отзыв
           
Отправление
               
Ваш вопрос отправлен
          

Задать вопрос

Ваше имя
Возраст
Вопрос

Телефон

WhatsApp номер

Viber номер
Укажите предпочитаемый способ связи Электронная почта, Обратный звонок, WhatsApp, Viber
Нажимая на кнопку «Отправить», вы даете согласие на обработку персональных данных и соглашаетесь с политикой конфиденциальности.
           
Отправление
               
Ваш отзыв отправлен
          

Оставить отзыв

Ваше имя
Возраст
Почта
Отзыв

Нажимая на кнопку «Отправить», вы даете согласие на обработку персональных данных и соглашаетесь с политикой конфиденциальности.