Цены
Процедура противопоказана в период ОРВИ, а также беременным женщинам.
* Условия акций указаны в разделе «Акции».
** Цены и акции, размещённые на сайте не являются публичной офертой. Цены и услуги предоставляются в соответствии с размещенным на сайте прейскурантом платных медицинских услуг.
*** Цены на услуги стоматолога указаны с учётом максимальной скидки и оплаты в течение 2-х дней с момента прохождения первичной консультации.
**** Стоимость лечения у врачей высшей категории может быть на 10% выше от указанных на сайте цен.
Преимущества самолигирующих брекетов
- Отсутствуют болезненные ощущения и давление на зубы.
- Быстрая адаптация зубов в новом положении благодаря подвижности дуги.
- Редкие и короткие визиты ко врачу (раз в 2–3 месяца по 15–20 минут).
- Высокая эстетичность — нет объемных лигатур.
- Лечение занимает всего от 1 года до 1,5 лет.
Этапы установки безлигатурной брекет-системы
- На первичной приеме врач проводит осмотр, делает компьютерную диагностику, составляет подробный план лечения.
- Перед установкой брекетов необходимо провести санацию полости рта и профессиональную чистку.
- На основе полученных рентгеновских снимков и индивидуальных слепков изготавливается брекет-система. Производство занимает не более двух недель.
- Специалист приклеивает самолигирующие брекеты к зубам с помощью стоматологического клея, после чего соединяет их в одно целое специальной дугой. Дуга создает давление, благодаря которому зубы смещаются. Установка занимает около часа.
- Врач дает рекомендации по уходу, режиму питания и снятию неприятных ощущений в первые дни после установки.
- Пациенту назначаются регулярные осмотры (примерно раз в месяц) для контроля прогресса и замены дуги при необходимости.

Что будет после установки
Сразу после установки брекет-системы врач подробно объяснит, как ухаживать за полостью рта во время лечения. Придётся отказаться от твёрдых и липких продуктов, а также тщательно чистить зубы после каждого приёма пищи и пользоваться ополаскивателем. Уход за полостью рта с самолигирующими брекетами не вызывает трудностей — щётка легко скользит по поверхности зубов, не цепляясь за лигатуры. По завершении лечения важно закрепить результат: мы рекомендуем установить ретейнеры, чтобы зубы остались в новом положении и не вернулись обратно.
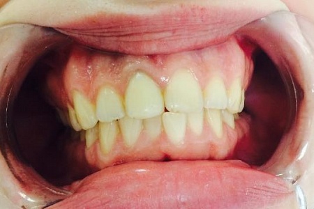
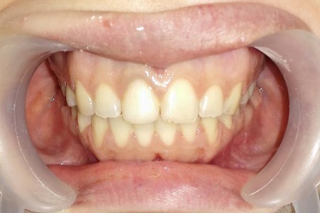
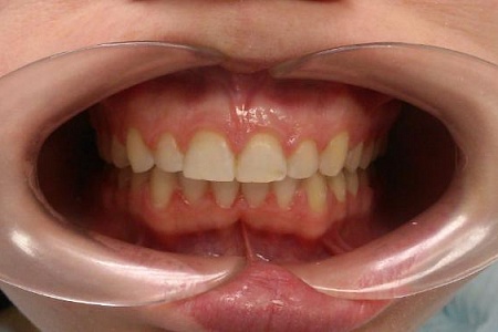
Работы наших врачей

Кому мы рекомендуем самолигирующие брекеты
Мы рекомендуем такие брекеты тем, кто хочет получить результат быстрее: в среднем лечение занимает в полтора-два раза меньше времени, чем в случае классических лигатурных систем. Благодаря компактным замочкам самолигирующие брекеты выглядят эстетичнее и требуют меньше визитов к врачу. Явное эстетическое преимущество, простота в уходе и коррекции делают безлигатурные брекеты фаворитом среди методов исправления прикуса.
Почему стоит выбрать клинику «Все свои!»


