Отзывы пациентов
Расчёт стоимости лечения
           
Отправление
               
Заявка отправлена
          

Нажимая на кнопку «Отправить», вы даете согласие на обработку персональных данных и соглашаетесь с политикой конфиденциальности.
Специалист временно не ведет прием.

Дарья Викторовна

врач стоматолог-ортодонт

2012 г. - Окончила Тверскую государственную медицинскую академию, стоматологический факультет «Стоматология».

2014 г. - Окончила Московский государственный медико-стоматологический университет, факультет последипломного образования «Ортодонтия и детское протезирование», г.Москва.

Повышение квалификации, курсы:

2013 год:

  • «Уверенность с первых шагов. Современная несъемная ортодонтическая техника - понимание принципов работы. От первой консультации до снятия - клинические аспекты по работе с системой Damon Dental Complex», Тихонов Сергей, ортодонтия;
  • «Этапы лечения системой Damon: от первой дуги до завершения», Dental Complex, Тихонов Сергей, ортодонтия;
  • «Грамотное применение системы Damon в ортодонтической практике: от понимания принципов работы до завершающих этапов лечения», Dental Complex, Тихонов Андрей, ортодонтия;
  • XV Съезд ортодонтов России Профессиональное общество ортодонтов, ортодонтия.

2014 год:

  • «Основы философии MBT TM. Диагностика и лечение зубочелюстно-лицевых аномалий с использованием MBT - техники. Типодонт курс», 3M Unitek, Проценко Денис Владимирович, ортодонтия;
  • «Лечение наиболее актуальных аномалий прикуса современной несъемной техникой. Повышение эффективности ортодонтического лечения», Dental Complex, Тихонов Андрей, ортодонтия;
  • «Лечение прозрачными каппами OrthoSnap», OrthoSnap Corp.,ортодонтия;
  • IV Конференция начинающих ортодонтов Dental Complex, ортодонтия.

2015 год:

  • «Использование LM — активатора для лечения анатомий прикуса у детей в возрасте 7-12 лет», Рауденталл, детская ортодонтия, г.Москва;
  • «Использование AQVA SPLINT IBYS для лечения болезней ВНЧС», Рауденталл, лечение височно-нижнечелюстного сустава, г.Москва;
  • «Применение ортодонтических кап в клинической практике ортодонта», D Smile, ортодонтия;
  • «Low friction treatment mechanics and modern solutions in Class II patient treatment», 3M Health Care Academy, ортодонтия.

Навыки: консультирование, диагностика, постановка диагноза, планирование лечения, лечение и наблюдение.

Рекомендации: МГМСУ имени А.И. Евдокимова, Панкратова Наталья Владимировна - доцент кафедры ортодонтии и детского протезирования, врач высшей категории стоматолог ортодонт.

Чтобы записаться на прием, звоните по телефону
+7 495788-58-08

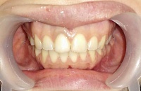
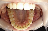
Работы врача

Отзывы пациентов

Хочу выразить огромную благодарность доктору Захаровой Дарье Викторовне !!!
Прохожу у неё лечение на брекет системах )) Наша "миссия" ещё не закончена, но я уже сейчас не могу сдержать слов похвалы !!!
Это тот случай, когда человек и профессия нашли друг друга !!! ))
Замечательный специалист !
Постоянно совершенствуется !
Посещает различные курсы !
Это бесценно ! Для нас, для пациентов ! ))
Добрая, внимательная и заботливая к своим пациентам !!!
Всегда ответит на все интересующие меня вопросы ! ( а у меня всегда их так много )) потому что мне всё это так интересно ! )))
ДАША, ОГРОМНОЕ ВАМ СПАСИБО !!! Мне несказанно повезло оказаться именно в Ваших руках !!!
Каждый раз я иду к Вам на приём с огромным удовольствием !!!
Побольше бы таких врачей !!! ))
Успехов Вам, Даша, карьерного роста и хороших пациентов ! )))

03 апреля 2018

Читать другие отзывы
Добрый день, хочу выразить огромную благодарность ортодонту -  Захаровой Д.В!  Спасибо огромное доктору за проведенную работу,вложенные силы,и индивидуальный подход,за ее неравнодушие, умение принимать верные решения, терпение и отзывчивость! Замечательный человек и прекрасный специалист,который обязательно и к Вам подберет индивидуальный подход!

30 октября 2017

Задать вопрос
Оставить отзыв
           
Отправление
               
Ваш вопрос отправлен
          

Задать вопрос

Ваше имя
Возраст
Вопрос

Телефон

WhatsApp номер

Viber номер
Укажите предпочитаемый способ связи Электронная почта, Обратный звонок, WhatsApp, Viber
Нажимая на кнопку «Отправить», вы даете согласие на обработку персональных данных и соглашаетесь с политикой конфиденциальности.
           
Отправление
               
Ваш отзыв отправлен
          

Оставить отзыв

Ваше имя
Возраст
Почта
Отзыв

Нажимая на кнопку «Отправить», вы даете согласие на обработку персональных данных и соглашаетесь с политикой конфиденциальности.