Цены
Процедура противопоказана в период ОРВИ, а также беременным женщинам.
* Условия акций указаны в разделе «Акции».
** Цены и акции, размещённые на сайте не являются публичной офертой. Цены и услуги предоставляются в соответствии с размещенным на сайте прейскурантом платных медицинских услуг.
*** Цены на услуги стоматолога указаны с учётом максимальной скидки и оплаты в течение 2-х дней с момента прохождения первичной консультации.
**** Стоимость лечения у врачей высшей категории может быть на 10% выше от указанных на сайте цен.
Преимущества брекетов H4
- Брекеты крепятся выше обычного, что позволяет системе частично скрываться под верхней губой и делает её менее заметной.
- Благодаря безлигатурной технологии нагрузка распределяется равномерно на все зубы, что делает лечение мягче и эффективнее.
- Брекеты H4 не вызывают воспалительных реакции, потому что сделаны из гипоаллергенных сплавов металла.
- Не меняют цвет на протяжении всего срока ношения.
Этапы установки брекет-системы H4
- На первичной консультации специалист делает компьютерную диагностику ротовой полости, снимает слепки челюсти.
- Далее необходимо провести полную санацию полости рта и профессиональную чистку.
- По индивидуальным слепкам изготавливаются брекеты. Этот процесс занимает несколько недель.
- На следующем этапе врач крепит каждый паз по очереди на зубы, затем соединяет их дугой. Процедура длится около 1,5–2 часов.
- Посещать ортодонта можно раз в 2–3 месяца, а не каждые 2–3 недели как при установке лигатурных брекетов.

Что будет после установки
Сроки лечения зависят от сложности клинического случая, но в среднем носить брекеты H4 необходимо 1,5 года. Исправление прикуса требует терпения и соблюдения рекомендаций врача. Вам нужно исключить твердую и вязку пищу, красящие продукты питания, чистить зубы после каждого приема с помощью ортодонтических щеток и ершиков, использовать ирригатор. А также посещать гигиениста не реже 1 раза в 3 месяца.
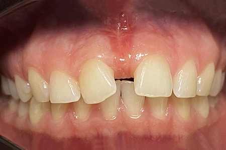
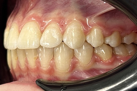
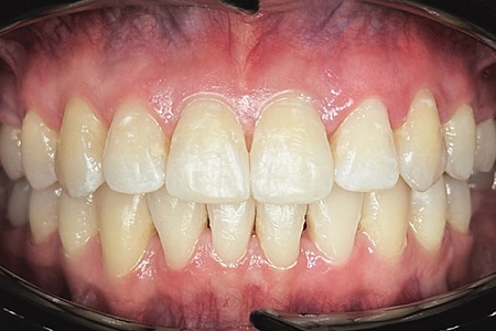
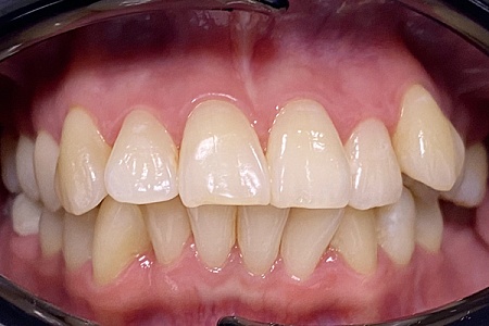
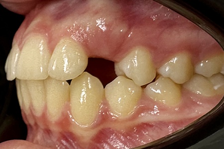
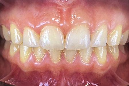
Работы наших врачей

Кому мы рекомендуем брекеты H4
Брекеты H4 подойдут тем, у кого есть нарушения прикуса — вне зависимости от возраста. Мы рекомендуем эту систему пациентам, стремящимся не только улучшить эстетику улыбки, но и предотвратить последствия, которые вызывает неправильное смыкание зубов.
Если вы сталкиваетесь с нарушением пищеварения, болью в височно-нижнечелюстных суставах, регулярными головными болями, подвижностью зубов, оголением их шеек, изменением овала лица или дефектами речи — ортодонтическое лечение на системе H4 поможет устранить эти проблемы и сохранить здоровье.
Почему стоит выбрать клинику «Все свои!»


