Икоева Нина Борисовна
2011 г. - Окончила Северо-Осетинскую государственную медицинскую академию Министерства здравоохранения и социального развития Российской Федерации по специальности «Стоматология».
2012 г. - Интернатура в Северо-Западном государственой медицинском университете им. И.И. Мечникова по специальности «Стоматология общей практики».
2015 г. - Ординатура в Российском университете дружбы народов по специальности «Ортодонтия».
2020 г. - Повышение квалификации в Многопрофильном учебном центре дополнительного профессионального образования по специальности «Ортодонтия».
2025 г. - Повышение квалификации в Российской медицинской академии непрерывного профессионального образования по специальности «Ортодонтия».
Дополнительное образование:
2015 год:
- «Low friction treatment mechanics and modern solutions in Class II patient treatment», 3М;
- «Показания к удалению отдельных зубов при пограничных случаях лечения технологией Damon System», С.А.Попов, ORMCO;
- «Влияние миофункциональных нарушений на развитие зубочелюстно-лицевой системы. Вопросы этиологии аномалий прикуса и коррекция их причин», ВалексМ;
- «Особенности КЛКТ-визуализации в ортодонтии», Пикассо.
2016 год:
- «Практикум по детализирующим и компенсаторным изгибам на дугах», Ormco;
- «Показания к удалению, лечения с удалением и без. Абсолбтная опора. Миниимпланты», К.А.Зернов, Ormco;
- «Ортодонтия без брекетов», StarSmile.
2017 год:
- «Выбор торка, компенсации, особенности брекетов 3Мх, ошибки лечения и пути их исправления», Ormco;
- «Сравнительный анализ принципов биомеханики при использовании традиционной аппаратуры и пассивного самолигирования», С.А.Попов, Ormco;
- «Рациональное и эффективное планирование ортодонтического лечения окклюзии 2 и 3 класса. Подбор необходимой аппаратуры», Dr. Troy Christensen, American Orthodontics;
- «WIN Lingual Systems» Dirk Wiechmann, GmbH;
- «Эффективность ортодонтическрго метода коррекции еврокаппами», Euro kappa;
- «Лечение класса II. Клинические аспекты применения корректора дистального прикуса FORSUS EZ», 3M.
2018 год:
- «Флексы, как прогрессивный метод лечения в современный ортодонтии», FlexiLigner;
- «ЭVOLUTION. 8 ключей ортодонтического лечения», Ortholight;
- «Эстетические возможности ортодонтического лечения при использовании нового поколения систем пассивного самолигирования», Ortholight.
2019 год:
- «Ортодонтия за пределами возможностей. Уникальный курс по минивинтам Патрисии Вергары», Ortholight;
- «Дентальная фотография, как одна из основ профессионального роста и успешного менеджмента. Ortholight.
2020 год:
- «Цифровая окклюзия и сплинт-терапия», HI OHIS-S;
- «Лечение ВНЧС», ORMCO;
- «Orthodontics Congress», HI OHIS-S.
2021 год:
- «Эффективная кондилография», А.Газарова, И.Макаревич;
- «Навык будущего-умение взаимодействовать», Ormco;
- «Техника многопетлевой дуги(meaw) против техники прямой дуги (SWA)», Ortholight;
- «Вертикальный подход к планированию и коррекции сагиттальных аномалий», Ortholight.
2023 год:
- «Функциональная диагностика в артикуляторе», Morfo;
- «Куда нажать чтобы сделать красиво и точно?», В.Соколов, ЦИФРА;
- «Ортодонтия с большой буквы. Технология успеха - Sagittal First», А.С.Попов, Ormco.
2025 год:
- «Гнатологический компас»;
- «Мифы сложной гнатологии: как начать работать со сплинтами», Н.В.Ступницкая, ORTHOPROTECO.
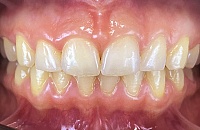
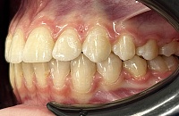
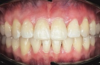
Работы врача
График работы врача
| Клиника | Пн | Вт | Ср | Чт | Пт | Сб | Вс |
|---|---|---|---|---|---|---|---|
|
«Все Свои!» м. Ясенево |
c 16:00 до 23:00 |
c 16:00 до 23:00 |
Отзывы пациентов
Доктор ортодонт Икоева Нина Бориовна очень внимательный, грамотный специалист. Не смотря ни на какие отговоры моих родственников не ставить брекеты я все же их установила в клинике Все Свои у Нины Борисовны, чему очень рада), никаких проблем после лечения у меня не возникло.
22 сентября 2022
Все разъяснит ,покажет,расскажет,всегда спросит как дела. Рекомендую этого доктора всем.
09 сентября 2021
14 ноября 2019
Вариантов было несколько, но я очень хотела лечится у Нины Борисовны ,так как я понимала, что это не разовое посещение и при длительном лечении очень важно и профессионализм доктора и человеческие качества. Сейчас когда я вижу результат, я очень благодарна Нине Борисовне, что для меня это было комфортное лечение и общение. Ценю в ней легкость общения, открытость, улыбчивость и чувство эстетики - очень важное качество для врача ортодонта. Если кому важно до и после - вышлю на почту в личку. Я получила больше чем надеялась))) Всем улыбок!))
16 октября 2019
Отдельно мне бы еще хотелось отметить работу менеджера Анжелики. На Анжелику всегда можно положиться, она всегда готова помочь, подберет для Вас самого лучшего врача в клинике. Она искренне заботится о психологическом комфорте пациента и оперативно разрешает возникающие вопросы и проблемы. Поэтому я советую обращаться именно к ней!
30 августа 2019































