Расчёт стоимости лечения
Дорогокупля Юлия Анатольевна
врач стоматолог-ортодонт
2002 г. - Окончила Московский государственный медико-стоматологический университет по специальности «Стоматология».
2005 г. - Ординатура в Московском медико-стоматологическом университете по специальности «Ортодонтия».
2020 г. - Повышение квалификации в Российском университете дружбы народов по специальности «Ортодонтия».
Дополнительное образование:
- «Однофазное или двухфазное ортодонтическое лечение»;
- «Выбор и применение несъемной техники»;
- «Коррекция с удалением или без удаления зубов».
Специализируется на лечении зубо-челюстных аномалий на съемной и несъемной аппаратуре.
В дальнейших планах: совершенствование мануальных навыков и освоение 3D-диагностики в ортодонтии.
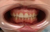
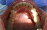
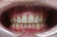
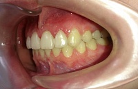
Работы врача
График работы врача
| Клиника | Пн | Вт | Ср | Чт | Пт | Сб | Вс |
|---|---|---|---|---|---|---|---|
|
«Все Свои!» м. Маяковская |
c 8:00 до 16:00 |
c 16:00 до 23:00 |
Приём по записи
Отзывы пациентов
Карина, 29 лет лет:
Я не сразу решилась на ношение брекетов. Долго сомневалась, искала клиники, консультировалась с врачами. Когда пришла в клинику - понравился интерьер, персонал и врач. Доверилась Юлии Анатольевне сразу после консультации :).
Сейчас я довольная и очень благодарна ей за мои ровные и здоровые зубы! С большим удовольствием ходила на прием, приятный человек и понимающий врач. На каждое мое пожелание - она помогала мне добиться того результата, к которому я сейчас пришла.
Юлия Анатольевна, большое спасибо!
Сейчас я довольная и очень благодарна ей за мои ровные и здоровые зубы! С большим удовольствием ходила на прием, приятный человек и понимающий врач. На каждое мое пожелание - она помогала мне добиться того результата, к которому я сейчас пришла.
Юлия Анатольевна, большое спасибо!
26 августа 2016
Илья, 31 год:
Специалист высшей категории. Врач очень профессионально подошла к решению моей проблемы. Результат лучше задуманного. Спасибо! !!
29 марта 2015
Алина, 26 лет:
Отличный специалист и замечательный человек! Огромное спасибо! Буду очень скучать)))
20 февраля 2013
Денис Белов, 33 года:
Не скажу что врач плохой, но лично в моей ситуации результат вышел не таким, как планировалось, пришлось два раза возвращаться на "коррекцию" для достижения какого либо приемлемого результата. Не знаю с чем это связано, шел к Юлии по рекомендации друзей, которых все устраивало.
30 января 2012
Демиденко Елена Владимировна:
Спасибо вам, Юлия Анатольевна, что исправили мой ужасный прикус. Я и не думала, что это будет так просто! Раньше у меня была проблема, а теперь ее нет, и сейчас я обретаю уверенность в себе благодаря вам!
19 апреля 2011
Дина Юрьева:
У Юлии Анатольевны протез бюгельный ставила. Спасибо ей и за работу, и за консультацию по поводу ухода за протезом. Интересно, а она только протезированием занимается, или принимает и как обычный врач. Ответ Юлия Анатольевна в действительности многопрофильный врач, поэтому в следующий раз вы можете сразу записаться именно к ней на прием.
05 апреля 2011
Вопросы пользователей
Михаил, 28 лет:
Юлия Анатольевна, добрый день. Я прошел у Вас ортодонтическое лечение в отделении на Пролетарской, там же поставили вы мне ретейнеры, уже прошло 2 года, мне кажется пора их снимать, но вот вопрос, Вы уже не работаете на пролетарской, насколько я понимаю. Я записался на прием , к другому ортодонту, и хотел уточнить, может лучше к вам записаться или это не представляется возможным ? Спасибо за ответ заранее, Михаил Туров.
Ответ:
Алена, 21 год:
Здравствуйте! Я 2 года носила брекеты, теперь начала носить ретейнеры и каппы. Подскажите пожалуйста, сколько по времени надо будет их носить? И еще вопрос: можно ли в дальнейшем носить каппы не каждый день? Заранее спасибо.
Ответ:
Дарья, 24 года:
Возможно ли удаление двух 6к на ВЧ (крайне проблемные) при лечении на брекет-системе? Полезли зубы мудрости и чувствуется давление в челюсти.
Ответ:
Настя, 14 лет:
Здравствуйте!Скажите,пожалуйста,стоит ли ставить брекеты,для того чтобы убрать промежутки на верхнем ряде зубов,подростку(14 лет)?Родители отвечают на это отрицательно,считают что мне это не надо.Но мне не комфортно улыбаться,что мешает общению.Какова будет цена установки брекетов,только на верхний ряд зубов,и желательно самый дешёвый?Спасибо заранее...
Ответ:
Ксения, 20 лет:
Здравствуйте! Я год ношу ношу брекеты, но сомневаюсь в своем враче, возможно ли проконсультироваться в вашей клинике?
Ответ:
Задать вопрос
Оставить отзыв

.jpg)

