Антипова Наталья Владимировна
1999 г. - Окончила Тверскую государственную медицинскую академию по специальности «Стоматология».
2001 г. - Ординатура в Тверской государственной медицинской академии по специальности «Ортодонтия».
2007 г. - Аспирантура в Центральном научно-исследовательском институте стоматологии и челюстно-лицевой хирургии по специальности «Ортодонтия».
2016 г. - Повышение квалификации в Российской медицинской академии последипломного образования по специальности «Ортодонтия».
2021 г. - Повышение квалификации в Российской медицинской академии непрерывного профессионального образования по специальности «Ортодонтия».
Дополнительное образование:
2000 год:
- «Alexander discipline», США;
- «Eco-лингвальная терапия брекетами Incognito Dirk Wiechmann», Германия.
2001 г. - «Использование функциональных аппаратов при лечении дистальной окклюзии», профессор R.Ingranda, Франция.
2002 г. - «Менеджмент и маркетинг в стоматологии», Dr.Hans Seeholzer, Германия.
2003 год:
- «Комплексное лечение ортодонтических пациентов нуждающихся в ортогнатической хирургии», Prof. James A. McNamara University of Michigan, Япония;
- «Эффективная работа врача-стоматолога с пациентами»;
- «Использование ортодонтических дуг при лечение на брекет системы», Dr. Michael Swartz, США;
- Международный симпозиум «Discovery 2004», Германия.
2004 г. - «Современные технологии ортодонтического лечения», проф. Арсенина О.И.
2005 год:
- «Новые лингвальные Брекеты STB Didier Fillion», Франция;
- «Комплексное лечение ортодонта с ортопедом для достижения эстетического результата», Bjorne U. Zachrisson, Oslo Норвегия и Sverker Toreskog, Goteborg, Швеция;
- «Взаимодействие с пациентом».
- VI Международный ортодонтический конгресс, Франция.
2006 г. - «Лечение на брекетах Damon».
2006 год:
- «Новое в лингвальной ортодонтии: принципы и клиническое применение»;
- X съезд Профессионального общества ортодонтов России;
- «ИНКОГНИТО - новая лингвальная дисциплина», Дирк Вихман.
2007 год:
- «Использование мини-имплантатов в ортодонтическом лечении»;
- XI съезд Профессионального общества ортодонтов России.
2009 г. - «Damon System – пассивная самолигирующаяся ортодонтия».
2010 г. - «Damon System: мифы и реальность пассивного самолигирования».
2012 год:
- «Всё включено - инновационная технология в ортодонтии доктора Мауро Коззани»;
- «Методы диагностики, планирования и лечения скелетных дисгнатийи деформаций лица с нарушениями окклюзии».
2013 год:
- «Применение ортодонтических миниимплантов»;
- «Показания, применение изгибов на назубных дугах на различных этапах лечения»;
- «Эволюция из традиции рота»;
- «Ведение чужих пациентов, завершение лечения. Исправление собственных и чужих ошибок. Проблемы и их решения»;
- «Протокол анализа КЛКТ в ортодонтической практике».
2016 г. - «Показания к удалению, лечения с удалением и без. Абсолютная опора. Миниимпланты».
2017 год:
- Конференция по ортодонтии «ЗМ Inspiration», Прага;
- «Инновационные методики лечения сложных случаев»;
- «Выбор торка, компенсации, особенности брекетов 3MX, ошибки лечения и пути их устранения»;
- XVIII съезд Профессионального общества ортодонтов России;
- «Инновационные методики лечения сложных случаев», Крис Чанг;
- «WIN User Meeting»;
- «WIN Certification Course»;
- «Современные концепции лечения дисфункции ВНЧС».
2018 г. - «Эстетические возможности ортодонтического лечения при использовании нового поколенияч систем пассивного самолигирования».
2019 год:
- «Психологическое взаимодействие при оказании стоматологических услуг. Конфликт с пациентом. Стратегии поведения в конфликте»;
- «Дентальная фотография, как одна из основ профессионального роста и успешного менеджмента».
2020 г. - «LMActivator», Турку, Финляндия.
2021 г. - Благодарность от Министерства Здравоохранения Российской Федерации.
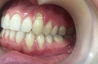
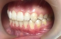
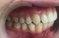
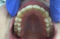
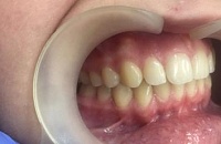
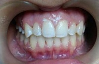
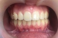
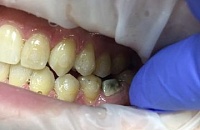
Работы врача
График работы врача
| Клиника | Пн | Вт | Ср | Чт | Пт | Сб | Вс |
|---|---|---|---|---|---|---|---|
|
«Все Свои!» м. Пролетарская |
c 8:00 до 16:00 |
c 8:00 до 16:00 |
Отзывы пациентов
08 августа 2023
18 ноября 2021




















































