Цены
Процедура противопоказана в период ОРВИ, а также беременным женщинам.
* Условия акций указаны в разделе «Акции».
** Цены и акции, размещённые на сайте не являются публичной офертой. Цены и услуги предоставляются в соответствии с размещенным на сайте прейскурантом платных медицинских услуг.
*** Цены на услуги стоматолога указаны с учётом максимальной скидки и оплаты в течение 2-х дней с момента прохождения первичной консультации.
**** Стоимость лечения у врачей высшей категории может быть на 10% выше от указанных на сайте цен.
Преимущества брекетов Питтс
- Комфорт с первого дня. Квадратное сечение дуги создаёт мягкое, деликатное давление на зубы — лечение проходит без боли и стресса.
- Быстрый эффект. Первые изменения в положении зубов заметны уже через 2–3 месяца после начала лечения.
- Минимум визитов к врачу. Для всего курса потребуется всего 4 дуги, что сокращает количество приёмов у ортодонта.
- Эстетичный дизайн. Миниатюрные замочки во фронтальной зоне делают систему максимально незаметной при носке.
Этапы установки брекет-системы Pitts 21
- Ортодонтическое лечение начинается с подготовительного этапа: лечение болезней ротовой полости и профессиональная чистка зубов.
- Далее стоматолог снимает слепки, на основе которых в лаборатории изготавливаются брекеты.
- Поверхность зубов тщательно очищается от налёта, промывается и высушивается.
- Брекеты Pitts фиксируются непосредственно в полости рта — процедура занимает около 1,5 часов.
- Чтобы замочки сделать точное позиционирование замочков, врач наносит на каждый зуб и основание брекета специальный клей.
- На последнем этапе ортодонт закрепляет дугу, которая запускает процесс мягкого и контролируемого выравнивания зубов.

Что будет после установки
Длительность лечения зависит от степени аномалии прикуса. Она обычно занимает от 6 месяцев до 1,5 лет. Для контроля прогресса необходимо посещать ортодонта 1 раз в месяц. Особое внимание стоит уделить гигиене: чистить зубы дважды в день — недостаточно. Необходимо удалять остатки пищи после каждого приёма — используйте для этого зубную нить, ирригатор и ополаскиватель. Также важно скорректировать рацион: избегайте твёрдых и волокнистых продуктов, чтобы не повредить конструкцию и не затянуть лечение.
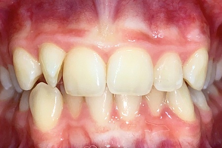
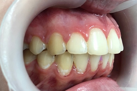
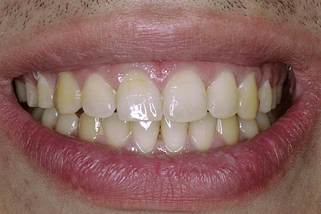
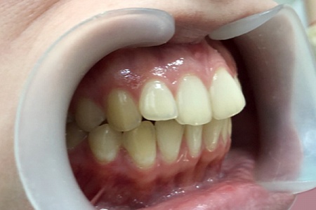
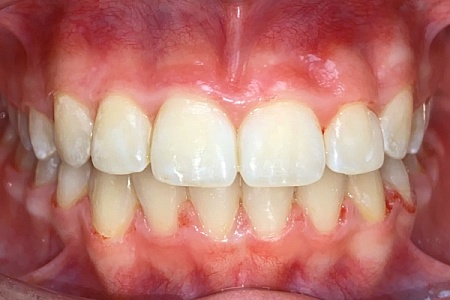
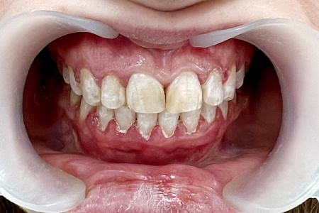
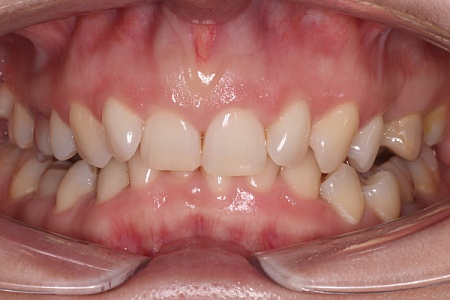
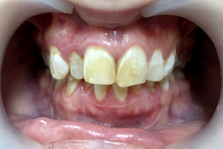
Работы наших врачей

Кому мы рекомендуем брекет-систему Pitts 21
Брекеты Pitts 21 подойдут для всех, кто стремится не только к ровной улыбке, но и к долгосрочному здоровью всей полости рта. Эта система подходит при скученности, смещениях, наклонах зубов, а также при наличии трем и диастем. Благодаря безлигатурной технологии брекеты Pitts эффективно восстанавливают плотность зубного ряда и возвращают ему эстетику. Они помогают предотвратить проблемы, связанные с нарушением прикуса: болезни дёсен, кариес, чрезмерное стирание эмали и неправильное распределение нагрузки при жевании.
Почему стоит выбрать клинику «Все свои!»


