Стоматология «Все свои!» в Раменках
Филиал «Все свои!» в Раменках — это клиника, где лечение выстроено удобно, последовательно и без лишней организационной путаницы. Пациентам доступны разные стоматологические направления в одном месте, что позволяет проходить основные этапы лечения без необходимости обращаться в другие клиники. В работе используется современное оснащение, а финансовые условия заранее понятны: стоимость фиксируется в договоре и не становится неожиданностью в процессе.
Команда и подход к лечению
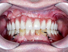
Врачи в филиале работают не изолированно, а как единая команда. Если клиническая ситуация требует более внимательного подхода, специалисты согласовывают тактику между собой, чтобы решение было не формальным, а действительно обоснованным. Для пациента это означает более понятный маршрут лечения, меньше сомнений и больше уверенности в том, что каждый этап логично связан со следующим.
Возможности филиала
- современное стоматологическое оборудование;
- специалисты разных профилей;
- удобная зона ожидания;
- лечение с заранее зафиксированной стоимостью;
- несколько вариантов оплаты.
-
Первичный осмотр стоматолога
Бесплатно!
-
Бонусная карта
30%
-
Скидка на гигиену полости рта
6 330 р. / 12 320 р.
-
Семейная скидка
до 25%
-
Скидка по социальной карте
3%
Безопасность и организация
В клинике большое внимание уделяют не только самому лечению, но и тому, как организован весь процесс. Соблюдаются требования к стерильности и санитарной обработке, применяются одноразовые материалы, а инструменты проходят полноценную поэтапную подготовку. Документы и лицензии открыты для ознакомления, условия лечения понятны заранее, а работа филиала организована так, чтобы пациент не тратил время на лишние визиты и не сталкивался с неясностями по ходу лечения.
Наши врачи
Отзывы пациентов
Мичуринский проспект, дом 21, корп. 1
Лицензия клиники Раменки
Сведения о юридическом лице клиники в Раменках
Правила предоставления медицинских услуг в клинике Раменки
Правила поведения в медицинской организации Раменки
Договор оказания стоматологических услуг
Сведения о территориальной программе 2026-2028 гг. (Москва)
Правила предоставления платных медицинских услуг
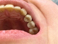
В стоматологии «Все свои!» в Раменках пациентов принимают терапевты, хирурги, ортопеды и ортодонты. Это позволяет проходить диагностику, лечение и восстановление в одной клинике, без поиска специалистов в разных местах. Если случай требует участия нескольких врачей, план составляют совместно: специалисты сверяют данные осмотра, снимки и последовательность этапов, чтобы лечение было согласованным.
-
Первичный осмотр стоматолога
Бесплатно!
-
Бонусная карта
30%
-
Скидка на гигиену полости рта
6 330 р. / 12 320 р.
-
Семейная скидка
до 25%
-
Скидка по социальной карте
3%
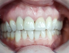
Врачи филиала регулярно проходят дополнительное обучение, изучают новые клинические подходы и применяют их в ежедневной практике. На приёме пациенту подробно объясняют, что выявлено, какое лечение рекомендовано и из каких этапов оно состоит. За счёт этого у человека остаётся не общий набор рекомендаций, а конкретное понимание дальнейших действий.
-
Первичный осмотр стоматолога
Бесплатно!
-
Бонусная карта
30%
-
Скидка на гигиену полости рта
6 330 р. / 12 320 р.
-
Семейная скидка
до 25%
-
Скидка по социальной карте
3%







































