Цены
Процедура противопоказана в период ОРВИ, а также беременным женщинам.
* Условия акций указаны в разделе «Акции».
** Цены и акции, размещённые на сайте не являются публичной офертой. Цены и услуги предоставляются в соответствии с размещенным на сайте прейскурантом платных медицинских услуг.
*** Цены на услуги стоматолога указаны с учётом максимальной скидки и оплаты в течение 2-х дней с момента прохождения первичной консультации.
В чем преимущества
- В отличие от стандартной профессиональной гигиены во время спа-процедуры для зубов на всех этапах мы используем натуральные органические материалы.
- Одна процедура био-гигиены избавляет от зубного налета, кровоточивости десен и неприятного запаха изо рта. Снижает чувствительность эмали и способствует активной профилактике кариеса.
- Секрет метода – в идеально подобранном комплексе натуральных эфирных масел в сочетании с солью, глиной и илом Мертвого моря (Denova, Израиль), а также анисовой пасты Dentargile (Cattier, Франция). Состав обладает дезинфицирующими и регенерирующими свойствами, устраняет воспаление десен и глубоко реминерализует эмаль.
- Вы получаете качественные услуги по разумной стоимости. Своевременно проведенная процедура сэкономит множество денег в будущем, избавив от дорогостоящего лечения зубов.
Этапы процедуры
- Гигиенист «Все свои!» бережно очистит зубы пациента от камня и налета с помощью системы Air Flow. В клинике применяется порошок на основе аминокислоты глицин. Он не вызывает аллергию и не травмирует эмаль, благодаря округлым мелким частицам.
- Для укрепления эмали и десен специалист обработает полость рта пациента натуральными фитоэкстрактами, маслами и минералами Мертвого моря.
- Далее будет проведена полировка зубов с использование препарата Oral Bio Complex, который содержит неочищенную соль Мертвого моря с 26 минералами и микроэлементами. Его реминерализующее действие усилено анисовой пастой и эфирными маслами, которые обладают противовоспалительным эффектом.
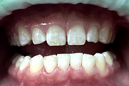
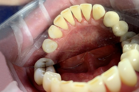
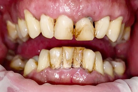
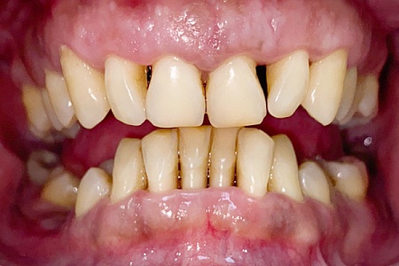
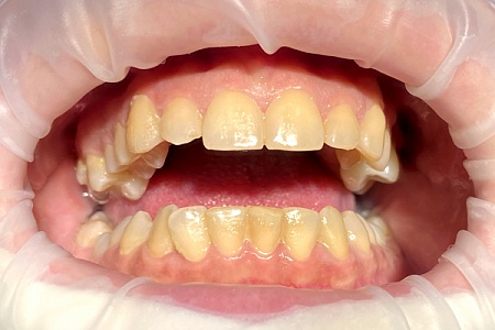
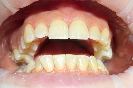
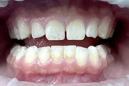
Работы наших врачей

Но ведь дорого же!
Био-гигиена полости рта – это чистые, гладкие, блестящие зубы, здоровые крепкие десны и свежее дыхание надолго. Выполняя процедуру 1-2 раза в год, вы не только делаете свои зубы светлее и чище, но и существенно экономите на более дорогостоящем лечении кариеса и других патологий.
Профессиональная чистка с использованием натурального комплекса солей Мертвого моря помогает справиться с желтизной, снять зубной камень и налет, в том числе образующийся после чая, кофе или курения. Это отличная профилактика кариеса и болезней десен, так как именно зубные отложения вызывают постепенное разрушение эмали и развитие пародонтита.
Преимущества лечения во «Все свои!»


