Расчёт стоимости лечения
Буйлова Анна Евгеньевна
врач стоматолог-ортопед
2019 г. - Окончила Российский университет дружбы народов по специальностям «Стоматология» и «Гигиенист стоматологический».
2021 г. - Ординатура на базе Московского областнго научно-исследовательского клинического института им.М.Ф.Владимирского по специальности «Стоматология ортопедическая».
Дополнительное образование:
2018 г. - V юбилейный международный съезд специалистов цифровой стоматологии.
2019 г. - «Фронтальные и боковые зубы: протокол применения композитных материалов для создания функциональных и эстетических реставраций», Орехова И., Голикова А.
2020 год:
- Семинар по использованию профессиональных систем «Philips Zoom White Speed» для отбеливания зубов в клинических и домашних условиях и мастер-класс клинической системой «Philips Zoom WhiteSpeed», Бичикаева З.А.;
- «Beyond Power Whitening: выполнение процедуры отбеливания зубов системами «Beyond Polus» и «Beyond II»», Сацюк Е.О.;
- «Эстетическая реставрация. Жевательная группа зубов. Фронтальная группа зубов», Степашко И.В.;
- Онлайн-марафон «ZENANTICOVID»;
- «S.T.I.DENT: Система офисного и домашнего отбеливания. Система Opаlescence», Мельник А.В.;
- «Повышение эффективности и безопасности местной анестезий в стоматологии и алгоритмы первой помоши при неотложных состояниях», Васильев Б.Л.;
- «Оказание неотложной медицинской помощи на амбулаторном стоматологическом приеме», Старков А.С.
2021 год:
- «Ортопедия от А до Я», О.Саркисов;
- «OPTIMIZATION AND LIFEHACKING IN PROSTHETIC DENTISTRY», А.Бисеров;
- «Дентальная фотография», Погодин С.С., Соловьев А.А.;
- «Клиническая анатомия челюстно-лицевой области в практике врача-стоматолога», Васильев Ю.Л.;
- «Минимально-инвазивные методики лечения сочетанных дисколоритов зубов с использованием методики Icon», Бичикаева З.А.
2022 год:
- «Оральная медицина. Сопровождения пациентов с заболеваниями СОР и пародонта. Методы эффективной мотивации в индивидуальной гигиене полости рта», Г.С. Пашкова;
- «TOP - Individually Trained Oral Prophylaxis is a tutored training and motivation programme for dental professionals»;
- «Микрообразия и icon», Коростелев А.А.;
- «Первичные пациенты с соматической патологией и пародонтитами на первичной консультации. Что делать и чего не делать», Приямпольская М.Б.;
- «Методология препарирования. Виниры/накладки/коронки», Лукьяненко А.В.;
- «Введение в цифровую гематологию», Юдин Д.К., Гетте С.А.;
- «Полное съемное протезирование», Рыбалка Е.Н.;
- «Сложное протезирование», С.Маланьин;
- Дискуссионный клуб «Практическая стоматология 2022». Секция ортопедическая стоматология.
2023 год:
- «Цифровые технологии в стоматологии. Курс обучения по интроральному сканированию», Богданов А.В.;
- «Протезирование на имплантатах Ankylos. TiBase. BalanceBase/концепция SmartFix», Абовян Р.А.;
- «Совершенное отбеливание Flash», Мамаева М.И.;
- «Навыки успешной коммуникации или просто о сложном», Бичун А.Б.;
- Международный симпозиум Квинтэссенция «Прикладная окклюзия. Эффективные методы - передовые технологии».
2024 год:
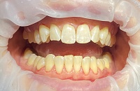
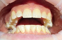
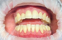
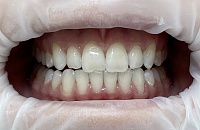
Работы врача
Задать вопрос
Оставить отзыв

.jpg)
























