Отзывы пациентов
Расчёт стоимости лечения
           
Отправление
               
Заявка отправлена
          

Нажимая на кнопку «Отправить», вы даете согласие на обработку персональных данных и соглашаетесь с политикой конфиденциальности.
Специалист временно не ведет прием.

Мухади Ахмедович

врач стоматолог-хирург

2018 г. - Окончил с отличием Первый Московский государственный медицинский университет им.И.М. Сеченова по специальности «Стоматология».

2020 г. - Ординатура в Центральной государственной медицинской академии Управления делами Президента Российской Федерации по специальности «Стоматология хирургическая».

Дополнительное образование:

«Базовая имплантология. Концевой дефект. Синус лифтинг», Refformat clinic.

Чтобы записаться на прием, звоните по телефону
+7 495788-58-08

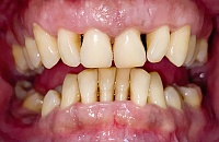
Работы врача

Отзывы пациентов

Удаление восьмёрки прошло отлично, Мухади Ахмедович профессионально провёл процедуру, дал рекомендации, никаких побочных неприятных ощущений не было. В стоматологии Всё свои контролируют состояние после удаления снимком, смс оповещением от врача на следующий день, в зависимости от сложности процедуры один или два раза посещение хирурга для осмотра и снятия швов. Спасибо за прекрасную работу и уважительное отношение к пациентам.

09 января 2023

Задать вопрос
Оставить отзыв
           
Отправление
               
Ваш вопрос отправлен
          

Задать вопрос

Ваше имя
Возраст
Вопрос

Телефон

WhatsApp номер

Viber номер
Укажите предпочитаемый способ связи Электронная почта, Обратный звонок, WhatsApp, Viber
Нажимая на кнопку «Отправить», вы даете согласие на обработку персональных данных и соглашаетесь с политикой конфиденциальности.
           
Отправление
               
Ваш отзыв отправлен
          

Оставить отзыв

Ваше имя
Возраст
Почта
Отзыв

Нажимая на кнопку «Отправить», вы даете согласие на обработку персональных данных и соглашаетесь с политикой конфиденциальности.