Цены
Процедура противопоказана в период ОРВИ, а также беременным женщинам.
* Условия акций указаны в разделе «Акции».
** Цены и акции, размещённые на сайте не являются публичной офертой. Цены и услуги предоставляются в соответствии с размещенным на сайте прейскурантом платных медицинских услуг.
*** Цены на услуги стоматолога указаны с учётом максимальной скидки и оплаты в течение 2-х дней с момента прохождения первичной консультации.
Преимущества AirFlow Prophylaxis Master
- Уникальный порошок PLUS – единственный, которым можно чистить не только ткани зуба, но и глубокие пародонтальные карманы, пломбы, коронки, виниры, поверхности импланта и даже мягкие ткани, например, язык.
- Безболезненность – технология Профилаксис Мастер обеспечивает комфорт. 70% пациентов отмечают, что не сразу поняли, когда стоматолог приступил к гигиене.
- Регулировка температуры – аппарат имеет 5 температурных режимов: вода без подогрева, 25°C, 30°C, 35°C и 40°C. Подача теплой воды устраняет боль при повышенной чувствительности эмали.
- Инновационная технология NO PAIN – регулирует мощность ультразвука: аппарат считывает количество камня на зубах и корректирует силу воздействия.
Этапы чистки AirFlow Prophylaxis Master
- После осмотра и оценки состояния ротовой полости, стоматолог использует ультразвуковой скейлер для удаления твердого налета и камня.
- На следующем этапе врач очищает зубы, виниры, коронки, пломбы и язык с помощью насадки AirFlow с мощной воздушно-порошковой струей.
- На последнем этапе используется наконечник Perio-flow. Он очищает имплантаты, а также удаляет биопленку из пародонтальных карманов.
- Процедура занимает не более 60 минут.

Советы после комплексной чистки
После профессиональной гигиены зубов не забудьте сменить старую щетку на новую, чтобы исключить попадание вредных бактерий на очищенную эмаль. Повторять чистку AirFlow Prophylaxis Master следует не раньше, чем через 3 месяца.
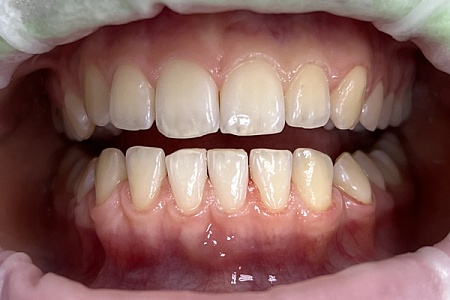
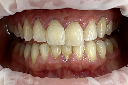
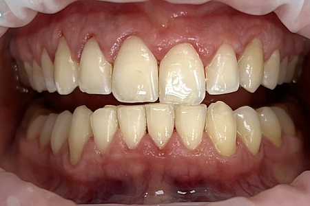
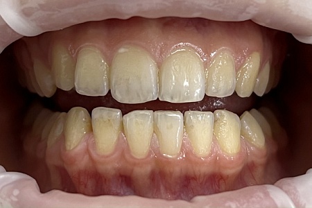
Работы наших врачей

Кому подходит Профилаксис Мастер
Prophylaxis Master оснащен пятиуровневым контролем температуры воды, благодаря чему дискомфорт во время процедуры полностью отсутствует. Это значит, что с аппаратом Профилаксис Мастер мы можем проводить процедуру тем, кому она была недоступна – пациентам с гиперчувствительностью зубов и болезнями десен. Кроме того, Профилаксис Мастер – идеальное решение для пациентов с тотальным протезированием и имплантацией, с реставрациями и брекет-системами.
AirFlow Prophylaxis Master в клинике «Все свои!»


