Лечение зубов
Услуга
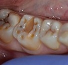
Зуб ноет, реагирует на холодное и горячее, а может, уже не даёт спать? Не откладывайте визит к стоматологу – вовремя проведённое лечение зубов в «Все свои!» в Екатеринбурге поможет избежать осложнений и дорогого протезирования. Запишитесь прямо сейчас, пока не стало хуже!
Современные методы лечения зубов во «Все свои!»
В клинике «Все свои!» в Екатеринбурге лечение зубов проводится с применением инновационных технологий, исключающих дискомфорт и повышенную чувствительность. Мы используем высококачественные материалы, которые восстанавливают структуру зубов и сохраняют их прочность на долгие годы. Каждый случай индивидуален, поэтому наши врачи тщательно анализируют состояние полости рта и подбирают методику, позволяющую добиться лучшего результата с минимальным вмешательством.
Icon
- Позволяет устранить начальный кариес без бормашины и уколов.
- Жидкий состав глубоко проникает в эмаль, укрепляя её и предотвращая разрушение.
- Сглаживает белые пятна на зубах, улучшая их внешний вид.
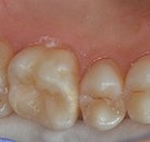
Светоотверждаемая пломба
- Пломбы идеально сливаются с натуральным цветом зуба.
- Мгновенное затвердевание под действием специального света сокращает время процедуры.
- Надёжный результат – пломба сохраняет форму и цвет на протяжении многих лет.
Эстетическая реставрация Estelite
- Восстанавливает естественный цвет и прозрачность эмали.
- Эффективно устраняет трещины, сколы и пятна без необходимости обточки зубов.
- Долговечный результат – улыбка остаётся естественной и привлекательной.
Цены на лечение зубов
|
услуга
|
Акция!*
|
Стоимость
|
|
Винир композитный
|
|
19 970 р.
|
|
Диагностика и лечение кариеса на ранней стадии без препарирования материалом Icon
|
|
4 730 р.
|
|
Лечение деструктивной формы хронического периодонтита двухканального зуба (без стоимости штифта и пломбы)
|
|
20 230 р.
|
|
Лечение деструктивной формы хронического периодонтита одноканального зуба (без стоимости штифта и пломбы)
|
|
17 030 р.
|
|
Лечение деструктивной формы хронического периодонтита трехканального зуба (без стоимости штифта и пломбы)
|
|
25 190 р.
|
|
Лечение периодонтита двухканального зуба (без стоимости штифта и пломбы)
|
|
11 500 р.
|
|
Лечение периодонтита одноканального зуба (без стоимости штифта и пломбы)
|
|
9 680 р.
|
|
Лечение периодонтита трехканального зуба, четырехканального зуба (без стоимости штифта и пломбы)
|
|
15 130 р.
|
|
Лечение пульпита двухканального зуба (без стоимости штифта и пломбы)
|
|
10 890 р.
|
|
Лечение пульпита одноканального зуба (без стоимости штифта и пломбы)
|
|
8 470 р.
|
|
Лечение пульпита трехканального зуба, четырехканального зуба (без стоимости штифта и пломбы)
|
|
13 920 р.
|
|
Наложение пломбы из композитного материала светового отверждения Estelite Sigma Quick
|
|
9 680 р.
|
|
Наложение пломбы из композиционного материала светового отверждения Estelite Asteria, с использованием высокотехнологичного материала Estelite Bulk Fill Flow
|
|
13 750 р.
|
|
Наложение пломбы из композиционного материала светового отверждения Harmonize, с использованием высокотехнологичного материала Estelite Bulk Fill Flow
|
|
7 480 р.
|
|
Отбеливание коронки депульпированного зуба, 1 посещение
|
|
1 540 р.
|
|
|
3 490 р.
|
|
|
Художественная реставрация фронтального зуба
|
|
19 970 р.
|
|
Эстетическая реставрация передних зубов материалом Estelite Asteria
|
|
14 110 р.
|
|
Эстетическая реставрация передних зубов материалом Estelite Sigma Quick
|
|
11 110 р.
|
|
Эстетическая реставрация передних зубов материалом Harmonize
|
|
8 360 р.
|
| Процедура противопоказана в период ОРВИ, а также беременным женщинам. | ||
Как проходит лечение зубов
- Диагностика и консультация. Врач осматривает полость рта, делает снимок, определяет степень поражения зуба.
- Анестезия (если необходимо). Используем современные обезболивающие, чтобы сделать процедуру комфортной.
- Удаление повреждённых тканей. Тщательно очищаем кариозные полости, чтобы устранить инфекцию.
- Пломбирование. Восстанавливаем зуб прочными материалами, подбираем оттенок под натуральный цвет.
- Финишная полировка. Создаём гладкую поверхность, защищаем от повторного разрушения.
- Контрольный осмотр. Оцениваем результат, даём рекомендации по уходу.
Что дальше
После лечения важно соблюдать простые правила: не есть твёрдую пищу в течение первых часов, тщательно ухаживать за полостью рта, приходить на профилактические осмотры. Если всё делать правильно, пломба прослужит долгие годы, а улыбка останется здоровой.
Кому необходимо лечить зубы
Если у вас появилась боль, потемнение эмали, неприятный запах изо рта или чувствительность к температуре, не ждите, пока ситуация ухудшится. Платное лечение в "Все свои!" в Екатеринбурге доступно по цене, а его качество гарантирует долгий результат. Здоровые зубы – это инвестиция в ваше самочувствие!
Почему «Все свои!»
- Лечим зубы без боли. Современные методики и качественная анестезия.
- Опытные врачи. Внимание к деталям, индивидуальный подход.
- Доступная цена. Подбираем лечение под ваш бюджет.
Рекомендуемый врач
2001 г. - Окончила Уральский государственный медицинский университет по специальности «Стоматология». 2003 г. - Ординатура в Уральском государственном медицинском университете по...
2020 г. - Окончила Уральский государственный медицинский университет по специальности «Стоматология». 2022 г. - Повышение квалификации в Институте дополнительного профессионального...
.png)