Хирургическая стоматология
Услуга
В клинике «Все свои!» в Екатеринбурге хирурги-стоматологи проводят операции любого уровня сложности: от удаления зубов и кист до реконструкции десен и имплантации. Современные методики делают процедуры безболезненными, а восстановление – быстрым. Запишитесь на приём, чтобы получить консультацию и план лечения!
Какие хирургические методы мы используем
Хирургическая стоматология – это не только удаление зубов. Врач может спасти зуб, устранить воспаление или восстановить ткани с минимальным вмешательством. Мы применяем передовые методики, которые делают лечение комфортным и эффективным.
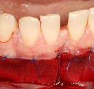
Вестибулопластика
- Корректирует форму и объём преддверия полости рта.
- Применяется для профилактики рецессии дёсен, перед установкой протезов и брекетов.
- Может выполняться лазером, что сокращает срок восстановления на 30%.
- Полное заживление – до 1 месяца.
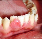
Резекция верхушки корня зуба
- Удаляет очаг хронического воспаления без удаления зуба.
- Выполняется под микроскопом для точности и безопасности.
- Операция занимает 30-60 минут.
- Может сочетаться с удалением кисты.
Цистэктомия
- Удаляет кисту зуба вместе с оболочкой.
- Выполняется под контролем микроскопа, что снижает риск осложнений.
- Исключает рецидив за счёт комбинирования с резекцией корня.
- Процедура длится 30-60 минут.
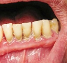
Кюретаж пародонтального кармана
- Глубокая очистка дёсен от воспалительных отложений.
- Профилактика пародонтоза и травм дёсен.
- Не повреждает здоровые ткани.
- Полное заживление за 3-4 недели.
Цены на хирургическую стоматологию
|
услуга
|
Акция!*
|
Стоимость
|
|
Вестибулопластика
|
|
17 410 р.
|
|
Закрытый кюретаж пародонтальных карманов, в области 1 зуба
|
|
1 090 р.
|
|
Открытый кюретаж пародонтальных карманов, в области 1 зуба
|
|
3 700 р.
|
| Процедура противопоказана в период ОРВИ, а также беременным женщинам. | ||
Как проходит хирургическое лечение
- Консультация и диагностика. Врач осматривает ротовую полость, делает снимки и составляет план лечения.
- Подготовка. Пациент сдаёт анализы, при необходимости проводится лечение корневых каналов.
- Анестезия. Выбирается наиболее комфортный вариант: аппликационная, проводниковая или инфильтрационная.
- Операция. В зависимости от сложности длится от 30 минут до 2 часов.
- Завершение процедуры. При необходимости накладываются швы, выдаются рекомендации.
- Контрольный осмотр. Врач оценивает заживление и при необходимости снимает швы.
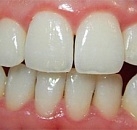
Как проходит восстановление
Реабилитация занимает от 7 дней до месяца. В первые дни стоит избегать твёрдой пищи, горячих напитков и физических нагрузок. Через неделю врач снимает швы (если они есть), а через 3-4 недели ткани полностью восстанавливаются.
Кому нужно хирургическое лечение
Если у вас есть воспаления, кисты, повреждённые зубы или проблемы с дёснами – хирургическая стоматология поможет решить эти вопросы быстро и безболезненно. Бояться операции не стоит – современные методики позволяют минимизировать вмешательство и ускорить восстановление. А цена во «Все свои!» остаётся доступной для всех.
Почему «Все свои!»
- Безопасность и стерильность. Соблюдаем строгие протоколы, работаем по стандартам АнтиСПИД и АнтиГепатит.
- Современное оборудование. Используем диодный лазер и пьезохирургический нож для точных и малотравматичных операций.
- Доступные цены и акции. Есть возможность рассрочки и скидки на процедуры.
Рекомендуемый врач
2021 г. - Окончил Уральский государственный медицинский университет по специальности «Стоматология». 2024 г. - Ординатура в Башкирском государственном медицинском университете по...
2020 г. - Окончила Уральский государственный медицинский университет по специальности «Стоматология». 2022 г. - Повышение квалификации в Институте дополнительного профессионального...
.png)