Имплантация зубов
Услуга
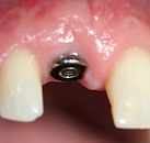
Зубной имплант — это не просто замена зуба. Это уверенность в себе, удобство и долговечность. Натуральный внешний вид, комфорт в еде и речи, а служат такие импланты 20+ лет! Запишитесь на консультацию в клинику «Все свои!» в Екатеринбурге — всё под ключ и по разумной цене.
Наши методы имплантации зубов
Каждый пациент уникален, поэтому мы предлагаем несколько подходов к восстановлению зубов. Вы можете выбрать метод, который лучше всего соответствует вашим потребностям, времени и бюджету. Наши технологии гарантируют надёжность и комфорт, независимо от выбранного способа.
All-on-4: быстрый результат и минимум травм
- Установка всего 4 имплантов обеспечивает поддержку для полного зубного ряда.
- Процедура занимает всего один день.
- Сниженная нагрузка на челюстную кость помогает избежать её перегрузки.
- Нет необходимости в сложных манипуляциях, таких как синус-лифтинг, что экономит время и бюджет.
Классическая двухэтапная: проверенная временем технология
- Имплант полностью интегрируется с костью за 2-6 месяцев, что минимизирует риски осложнений.
- Использование формирователя десны способствует естественному заживлению мягких тканей.
- Идеальный выбор для пациентов с недостатком костной ткани или заболеваниями десен.
- Доступны разнообразные модели и бренды имплантов для любого бюджета.
Одномоментная: скорость и комфорт
- Имплант устанавливается сразу после удаления зуба, без необходимости разреза десны.
- Временная коронка фиксируется в тот же день, обеспечивая эстетичный внешний вид.
- Экономия 6-8 недель по сравнению с традиционным подходом.
- Быстрое решение, подходящее для пациентов, ценящих своё время.
Рассрочка!
|
услуга
|
Стоимость
|
Рассрочка ежемесячно (x12)
|
|
Акриловый протез «All-on-4», включающий имплантаты и элементы протезирования A.B. Dental
|
305 523 р.
|
25 460 р.
|
|
Акриловый протез «All-on-4», включающий имплантаты и элементы протезирования AnyOne
|
298 571 р.
|
24 881 р.
|
|
Акриловый протез «All-on-4», включающий имплантаты и элементы протезирования AnyRidge
|
310 143 р.
|
25 845 р.
|
|
Акриловый протез «All-on-4», включающий имплантаты и элементы протезирования Neo Biotech
|
307 591 р.
|
25 633 р.
|
|
Акриловый протез «All-on-4», включающий имплантаты и элементы протезирования Osstem
|
296 151 р.
|
24 679 р.
|
|
Имплантат A.B. Dental (Израиль) под ключ (анестезия, имплантат, все элементы протезирования, коронка)
|
54 040 р.
|
4 503 р.
|
|
Имплантат AnyOne (Корея) под ключ (анестезия, имплантат, все элементы протезирования, коронка)
|
76 750 р.
|
6 396 р.
|
|
Имплантат AnyRidge (Корея) под ключ (анестезия, имплантат, все элементы протезирования, коронка)
|
85 525 р.
|
7 127 р.
|
|
Имплантат Lenmiriot (Россия) под ключ (анестезия, имплантат, элементы протезирования, коронка из диоксида циркония)
|
47 390 р.
|
3 949 р.
|
|
Имплантат Straumann (Швейцария) под ключ (анестезия, имплантат, все элементы протезирования, коронка из диоксида циркония)
|
152 050 р.
|
12 671 р.
|
|
Постоянная керамокомпозитная конструкция на фрезерованном титановом основании «All-on-4» на 5-8 имплантатах (без учета стоимости элементов протезирования), 1 челюсть
|
109 280 р.
|
9 107 р.
|
|
Постоянная керамокомпозитная конструкция на фрезерованном титановом основании «All-on-4», включающая имплантаты и элементы протезирования A.B. Dental, а также временный акриловый протез
|
414 810 р.
|
34 568 р.
|
|
Постоянная керамокомпозитная конструкция на фрезерованном титановом основании «All-on-4», включающая имплантаты и элементы протезирования AnyOne, а также временный акриловый протез
|
407 850 р.
|
33 988 р.
|
|
Постоянная керамокомпозитная конструкция на фрезерованном титановом основании «All-on-4», включающая имплантаты и элементы протезирования AnyRidge, а также временный акриловый протез
|
419 430 р.
|
34 953 р.
|
|
Постоянная керамокомпозитная конструкция на фрезерованном титановом основании «All-on-4», включающая имплантаты и элементы протезирования Neo Biotech, а так же временный акриловый протез
|
416 870 р.
|
34 739 р.
|
|
Постоянная керамокомпозитная конструкция на фрезерованном титановом основании «All-on-4», включающая имплантаты и элементы протезирования Osstem, а также временный акриловый протез
|
405 430 р.
|
33 786 р.
|
|
Постоянный акриловый протез «All-on-4» на фрезерованной титановой балке (без учета стоимости элементов протезирования)
|
123 420 р.
|
10 285 р.
|
|
Постоянный акриловый протез «All-on-4», на фрезерованной титановой балке, включающий имплантаты и элементы протезирования A.B. Dental, а также временный акриловый протез
|
428 940 р.
|
35 745 р.
|
|
Постоянный акриловый протез «All-on-4», на фрезерованной титановой балке, включающий имплантаты и элементы протезирования AnyOne, а также временный акриловый протез
|
420 990 р.
|
35 083 р.
|
|
Постоянный акриловый протез «All-on-4», на фрезерованной титановой балке, включающий имплантаты и элементы протезирования AnyRidge, а также временный акриловый протез
|
433 560 р.
|
36 130 р.
|
|
Постоянный акриловый протез «All-on-4», на фрезерованной титановой балке, включающий имплантаты и элементы протезирования Neo Biotech, а так же временный акриловый протез
|
431 010 р.
|
35 918 р.
|
|
Постоянный акриловый протез «All-on-4», на фрезерованной титановой балке, включающий имплантаты и элементы протезирования Osstem, а также временный акриловый протез
|
419 570 р.
|
34 964 р.
|
Цены на имплантацию зубов*
|
услуга
|
Акция!*
|
Стоимость
|
|
Закрытый синус-лифтинг (без учета стоимости материалов)
|
|
15 610 р.
|
|
Имплантат A.B. Dental (Израиль)
|
|
10 890 р.
|
|
Имплантат A2 (Германия-Россия)
|
|
18 150 р.
|
|
Имплантат Ankylos (Германия)
|
|
31 400 р.
|
|
|
27 450 р.
|
|
|
|
31 550 р.
|
|
|
Имплантат Astra tech (Швеция)
|
|
33 000 р.
|
|
5 450 р.
|
36 300 р.
|
|
|
Имплантат Neo Biotech (Корея)
|
|
24 640 р.
|
|
|
26 840 р.
|
|
|
|
31 550 р.
|
|
|
Имплантат SNUCone (Южная Корея)
|
|
14 190 р.
|
|
Имплантат ST (Корея)
|
|
6 660 р.
|
|
Имплантат Straumann (Швейцария)
|
|
87 120 р.
|
|
Односторонний открытый синус-лифтинг (без учета стоимости материалов)
|
|
39 060 р.
|
|
Элементы протезирования (циркониевый абатмент, трансфер, аналог) для бескаркасной керамической коронки E-Max на имплантате системы A.B. Dental
|
|
12 990 р.
|
|
Элементы протезирования (циркониевый абатмент, трансфер, аналог) для бескаркасной керамической коронки E-Max на имплантате системы Ankylos
|
|
20 980 р.
|
|
Элементы протезирования (циркониевый абатмент, трансфер, аналог) для бескаркасной керамической коронки E-Max на имплантате системы Osstem
|
|
20 980 р.
|
|
Элементы протезирования для одного импланта Riellens (стандартный абатмент, трансфер, аналог)
|
|
20 790 р.
|
|
Элементы протезирования для одного имплантата A2 (стандартный абатмент, трансфер, аналог)
|
|
16 500 р.
|
|
Элементы протезирования для одного имплантата AnyOne (стандартный абатмент, трансфер, аналог)
|
|
17 950 р.
|
|
Элементы протезирования для одного имплантата Biotem (стандартный абатмент, трансфер, аналог)
|
|
9 970 р.
|
|
Элементы протезирования для одного имплантата Lenmiriot (стандартный абатмент, трансфер, аналог)
|
|
8 760 р.
|
|
Элементы протезирования для одного имплантата Neo Biotech (стандартный абатмент, трансфер, аналог)
|
|
17 950 р.
|
|
Элементы протезирования для одного имплантата Osstem (индивидуальный абатмент, трансфер, аналог)
|
|
20 735 р.
|
|
Элементы протезирования для одного имплантата ST (стандартный абатмент, трансфер, аналог)
|
|
15 970 р.
|
|
Элементы протезирования для одного имплантата системы A.B. Dental
|
|
9 980 р.
|
|
Элементы протезирования для одного имплантата системы Astra tech
|
|
17 950 р.
|
|
Элементы протезирования для одного имплантата системы SNUCone (стандартный абатмент, трансфер, аналог)
|
|
12 170 р.
|
|
Элементы протезирования для одного имплантата системы Straumann Bon Level
|
|
32 470 р.
|
|
Элементы протезирования для одного имплантата системы Straumann SynOcta
|
|
32 470 р.
|
| Процедура противопоказана в период ОРВИ, а также беременным женщинам. | ||
| *Стоимость имплантов указана без учета стоимости анестезии, формирователя десны, элементов протезирования, коронки/протеза. Полную стоимость имплантации можно уточнить на первичной консультации врача после диагностики. | ||
Как проходит процедура имплантации
- Первичная консультация. На первом этапе врач проводит подробный осмотр и диагностику: оценивает состояние зубов, костной ткани и дёсен, а также делает снимки для точного планирования процедуры. Это позволяет определить оптимальный метод имплантации.
- Подготовительные меры. Если необходимо, проводится лечение воспалений, удаление разрушенных зубов или восстановление костной ткани. Это важный шаг, который создаёт идеальные условия для установки импланта.
- Вживление импланта. Титановый штифт аккуратно внедряется в костную ткань челюсти. Процедура проходит под местной анестезией или седацией, что гарантирует полное отсутствие боли. Этот процесс занимает около часа.
- Период адаптации. После установки имплант должен прижиться. Этот процесс может занять от 3 до 6 месяцев, в течение которых важно следить за гигиеной полости рта и посещать стоматолога для контроля.
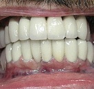
- Финальный этап. Когда имплант полностью интегрируется с костью, устанавливается постоянная коронка. Она изготавливается индивидуально, чтобы идеально соответствовать форме, размеру и цвету ваших зубов.
Что дальше? Восстановление и уход
После установки импланта важно следовать рекомендациям врача. Первые несколько дней — мягкая пища и аккуратная гигиена. Полное восстановление занимает около недели, но приживление импланта может длиться до полугода. Регулярные осмотры у стоматолога помогут сохранить имплант в идеальном состоянии.
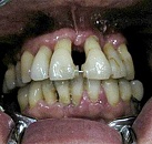
Кому подойдёт имплантация
Имплантация — это лучший вариант, если у вас отсутствует один или несколько зубов. Не важно, сколько времени прошло с момента потери. Часто пациентов смущает цена, но подумайте: это вложение в здоровье и комфорт на десятилетия. Во «Все свои!» всегда действуют акции и выгодные предложения, чтобы сделать процедуру доступной.
Почему стоит выбрать «Все свои!»
- Современные технологии. Используем надёжные импланты мировых брендов.
- Комплексный подход. Всё — от диагностики до установки — в одном месте.
- Доступная цена. Гибкая система скидок и акции для каждого клиента.
Рекомендуемый врач
2020 г. - Окончила Уральский государственный медицинский университет по специальности «Стоматология». 2022 г. - Повышение квалификации в Институте дополнительного профессионального...
2017 г. - Окончил Московский государственный медико-стоматологический университет им. А.И. Евдокимова по специальности «Стоматология». 2019 г. - Ординатура в Московском областном...
.png)