Гигиена зубов и полости рта
Услуга
Здоровье зубов и десен начинается с профессиональной гигиены полости рта. В клинике «Все свои!» в Екатеринбурге мы предлагаем современные подходы, которые помогут эффективно избавиться от налета, зубного камня и укрепить эмаль. Процедуры проходят в комфортной обстановке с использованием безопасных и щадящих технологий.
Какие методы мы используем
В нашей клинике используются новейшие методики, направленные на комплексное улучшение состояния полости рта. Мы подбираем оптимальные решения для каждого пациента, чтобы процедуры были максимально результативными и безопасными. Ниже представлены основные технологии, которые мы применяем.
Air Flow
- Мягко удаляет налет даже в самых труднодоступных местах.
- Осветляет эмаль на 1-2 тона.
- Подходит для пациентов с чувствительными зубами и брекетами.
Ультразвуковая чистка
- Полностью удаляет зубной камень.
- Безопасно восстанавливает микрофлору ротовой полости.
- Процедура не повреждает эмаль и предотвращает развитие кариеса.
Фторирование и реминерализация
- Укрепляют структуру эмали и снижают ее чувствительность.
- Защищают зубы от кариеса.
- Восстанавливают минеральный баланс зубов.
Цена на услуги по профессиональной гигиене полости рта
|
услуга
|
Акция!*
|
Стоимость
|
|
Био-гигиена полости рта с использованием натурального комплекса солей «Мертвого моря»
|
|
10 180 р.
|
|
|
3 490 р.
|
|
|
Комплексная процедура профессиональной гигиены полости рта для беременных женщин «Скоро мама»
|
|
10 520 р.
|
|
Полировка и фторирование зубов
|
|
4 480 р.
|
|
Профессиональная чистка зубов Clinpro
|
|
8 410 р.
|
|
Профессиональная чистка зубов Анти-табак (удаление налета курильщика, пигментированного налет другой этиологии)
|
|
10 390 р.
|
|
Реминерализация зубов, вся полость
|
|
4 620 р.
|
|
Снятие зубного камня ультразвуком, 1 зуб
|
|
490 р.
|
|
Снятие зубного камня ультразвуком, вся полость
|
|
4 620 р.
|
|
Чистка зубов Air Flow, вся полость
|
|
5 360 р.
|
|
Чистка «Антикариес»
|
|
10 750 р.
|
| Процедура противопоказана в период ОРВИ, а также беременным женщинам. | ||
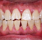
Как проходит процедура
- Удаление твердых отложений. С помощью ультразвукового аппарата стоматолог удаляет зубной камень, не повреждая эмаль.
- Очистка с применением Air Flow. Поток воздуха, воды и абразивного порошка бережно снимает мягкий налет и пигментные пятна, оставляя зубы гладкими и светлыми.
- Полировка. Для придания поверхности зубов идеальной гладкости используется специальная абразивная паста.
- Укрепление эмали. На заключительном этапе проводится фторирование или реминерализация, чтобы снизить чувствительность зубов и защитить их от разрушения.
Что важно знать после процедуры
Чтобы продлить эффект от профессиональной гигиены, следуйте нескольким рекомендациям. В первые часы после чистки лучше воздержаться от приема пищи. В течение суток избегайте ярко окрашенных продуктов и напитков, таких как красное вино, кофе или свекла. Для ежедневного ухода используйте мягкую щетку и пасту, предназначенную для чувствительных зубов. Эти меры помогут сохранить здоровье и красоту вашей улыбки.
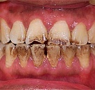
Почему домашнего ухода недостаточно
Даже при регулярной чистке зубов щетка не может полностью удалить все отложения. Через несколько часов после чистки на зубах начинают образовываться новые колонии микроорганизмов, которые со временем превращаются в зубной камень. Только профессиональная гигиена позволяет качественно очистить поверхность зубов и предотвратить развитие заболеваний.
Почему выбирают нас
- Индивидуальный подход. Наши специалисты тщательно подбирают методы и составы с учетом особенностей ваших зубов.
- Современное оборудование. Все процедуры проводятся с использованием сертифицированных технологий, гарантирующих безопасность и комфорт.
- Выгодные условия. Мы предлагаем акции, семейные скидки и доступные цены, чтобы профессиональная гигиена была не только полезной, но и экономически выгодной.
Рекомендуемый врач
2020 г. - Окончила Уральский государственный медицинский университет по специальности «Стоматология». 2022 г. - Повышение квалификации в Институте дополнительного профессионального...
2006 г. - Окончил Дагестанскую государственную медицинскую академию по специальности «Стоматология». 2007 г. - Интернатура на Кафедре общей практики Дагестанской государственной...
.png)