Отбеливание зубов
Услуга
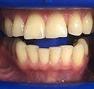
Мечтаете о белоснежной улыбке? Профессиональное отбеливание зубов в стоматологии «Все свои!» в Екатеринбурге безопасно осветлит эмаль на несколько тонов без повреждения структуры зубов. Процедура безболезненна и занимает минимум времени. Запишитесь сейчас и получите уверенность в своей улыбке!
Какие методы отбеливания мы используем
Чтобы подобрать идеальный вариант осветления эмали, мы предлагаем несколько методик. Они различаются по интенсивности результата, продолжительности эффекта и способу воздействия. Наши врачи помогут выбрать тот, который подойдет именно вам.
Домашнее отбеливание
- Осветляет зубы на 4-6 тонов при регулярном применении.
- Доступнее по цене, чем кабинетные процедуры.
- Щадящее воздействие, исключающее повреждение эмали.
- Удобно использовать в любое время без визита в клинику.
Профессиональное (офисное) отбеливание
- Позволяет осветлить зубы на 6-12 тонов за один визит.
- Процедура безболезненна, не требует анестезии.
- Эффект сохраняется до 5 лет при правильном уходе.
- Безопасно для эмали, не раздражает слизистую.
Безламповое отбеливание
- Исключает перегрев тканей и чувствительность.
- Содержит кальций и фтор, укрепляющие зубную эмаль.
- Осветляет зубы на 4-8 тонов за одно посещение.
- Даёт естественный результат без эффекта «искусственной белизны».
Фотоотбеливание
- Осветляет на 10-12 тонов всего за час.
- Подходит для людей с повышенной чувствительностью зубов.
- Практически не имеет противопоказаний.
- Глубоко очищает эмаль, не повреждая её структуру.
Цены на отбеливание зубов
|
услуга
|
Акция!*
|
Стоимость
|
|
Отбеливание зубов Amazing White, 1 челюсть
|
|
10 160 р.
|
|
Отбеливание зубов Amazing White, вся полость
|
|
17 420 р.
|
|
Отбеливание коронки депульпированного зуба, 1 посещение
|
|
1 540 р.
|
| Процедура противопоказана в период ОРВИ, а также беременным женщинам. | ||
Как проходит отбеливание зубов
- Консультация и диагностика. Врач осматривает зубы, выявляет противопоказания, подбирает метод отбеливания.
- Очистка эмали. Проводится профессиональная гигиена, удаляются налёт и зубной камень.
- Защита дёсен. Специальный гель защищает мягкие ткани от воздействия активного вещества.
- Нанесение отбеливающего состава. Используется гель с активным кислородом, который бережно проникает в эмаль.
- Воздействие светом или лазером. Ускоряет процесс осветления и усиливает эффект.
- Закрепление результата. Применяется реминерализующий состав для укрепления эмали и снижения чувствительности.
Что будет после процедуры
Результат заметен сразу и сохраняется до 1,5 лет. В первые дни лучше избегать красящих продуктов и напитков, чтобы закрепить эффект. Рекомендуется использование отбеливающих паст и регулярные профилактические осмотры у стоматолога. Соблюдая рекомендации врача, вы продлите белизну зубов на долгие годы.
Кому подойдёт отбеливание зубов
Процедура рекомендована тем, кто хочет убрать налёт от кофе, сигарет и вина, восстановить природную белизну эмали или просто сделать улыбку ярче. Если вас беспокоит цена – профессиональное отбеливание доступно и гораздо эффективнее домашних методов.
Почему «Все свои!»
- Современные технологии. Используем передовые методы отбеливания для максимального эффекта.
- Недорого. Подбираем процедуры с учетом вашего бюджета.
- Индивидуальный подход. Учитываем особенности эмали, подбираем оптимальный метод отбеливания.
Рекомендуемый врач
2017 г. - Окончил Московский государственный медико-стоматологический университет им. А.И. Евдокимова по специальности «Стоматология». 2019 г. - Ординатура в Московском областном...
2016 г. - С отличием окончила Свердловский областной медицинский колледж по специальности «Сестринское дело». 2016 г. - Профессиональная переподготовка в Учебном центре «МЕД АРТ» по...
.png)