Протезирование зубов
Услуга
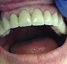
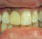
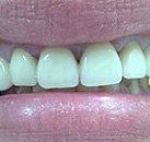
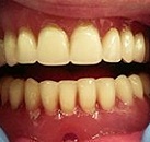
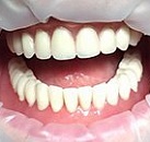
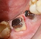
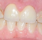
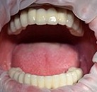
Отсутствие зубов больше не проблема. Современное протезирование зубов в стоматологии «Все свои!» в Екатеринбурге позволяет восстановить эстетику и жевательную функцию, не ощущая дискомфорта. Прочные, удобные и незаметные зубные протезы помогут вам вновь наслаждаться любимой едой и улыбаться без стеснения. Узнайте цену и запишитесь на консультацию!
Какие методы протезирования мы используем
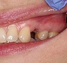
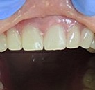
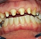
Восстановление утраченных зубов — это не просто вопрос эстетики, а залог здоровья и качества жизни. Во «Все свои!» мы подбираем оптимальный метод протезирования с учётом индивидуальных особенностей, обеспечивая комфорт, естественный вид и долгий срок службы конструкции. Используем передовые технологии и материалы, чтобы каждый пациент получил максимально удобное и надёжное решение, которое позволит снова наслаждаться полноценной улыбкой без ограничений.
Съёмные протезы
- Оптимальный вариант при отсутствии большого количества зубов.
- Быстрая адаптация и комфорт при использовании.
- Современные материалы не вызывают раздражения.
- Экономичное решение по цене.
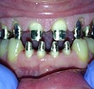
Несъёмные протезы
- Коронки и мостовидные конструкции выглядят как настоящие зубы.
- Прочные и долговечные, выдерживают нагрузки при жевании.
- Устанавливаются на импланты или собственные зубы.
- Не требуют сложного ухода.
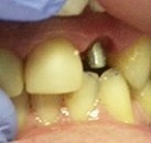
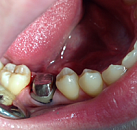
Протезирование на имплантах
- Максимальная естественность и удобство.
- Не давит на дёсны, не вызывает дискомфорта.
- Долговечность – срок службы более 20 лет.
- Полностью восстанавливает жевательные функции.
Рассрочка!
|
услуга
|
Стоимость
|
Рассрочка ежемесячно (x12)
|
|
Акриловый протез «All-on-4», включающий имплантаты и элементы протезирования A.B. Dental
|
305 523 р.
|
25 460 р.
|
|
Акриловый протез «All-on-4», включающий имплантаты и элементы протезирования AnyOne
|
298 571 р.
|
24 881 р.
|
|
Акриловый протез «All-on-4», включающий имплантаты и элементы протезирования AnyRidge
|
310 143 р.
|
25 845 р.
|
|
Акриловый протез «All-on-4», включающий имплантаты и элементы протезирования Neo Biotech
|
307 591 р.
|
25 633 р.
|
|
Акриловый протез «All-on-4», включающий имплантаты и элементы протезирования Osstem
|
296 151 р.
|
24 679 р.
|
|
Полный покрывной протез без балок на имплантатах (с учетом стоимости литого армирования), (без учета стоимости элементов протезирования), 1 челюсть
|
127 020 р.
|
10 585 р.
|
|
Полный покрывной протез на балках (без учета стоимости элементов протезирования), 1 челюсть
|
174 180 р.
|
14 515 р.
|
|
Полный покрывной протез на корневых вкладках с аттачментами (с металлическим каркасом, без стомости вкладок с надкорневыми аттачментами), (с учетом стоимости литого армирования), 1 челюсть
|
82 540 р.
|
6 878 р.
|
|
Постоянная керамокомпозитная конструкция на фрезерованном титановом основании «All-on-4» на 5-8 имплантатах (без учета стоимости элементов протезирования), 1 челюсть
|
109 280 р.
|
9 107 р.
|
|
Постоянная керамокомпозитная конструкция на фрезерованном титановом основании «All-on-4», включающая имплантаты и элементы протезирования A.B. Dental, а также временный акриловый протез
|
414 810 р.
|
34 568 р.
|
|
Постоянная керамокомпозитная конструкция на фрезерованном титановом основании «All-on-4», включающая имплантаты и элементы протезирования AnyOne, а также временный акриловый протез
|
407 850 р.
|
33 988 р.
|
|
Постоянная керамокомпозитная конструкция на фрезерованном титановом основании «All-on-4», включающая имплантаты и элементы протезирования AnyRidge, а также временный акриловый протез
|
419 430 р.
|
34 953 р.
|
|
Постоянная керамокомпозитная конструкция на фрезерованном титановом основании «All-on-4», включающая имплантаты и элементы протезирования Neo Biotech, а так же временный акриловый протез
|
416 870 р.
|
34 739 р.
|
|
Постоянная керамокомпозитная конструкция на фрезерованном титановом основании «All-on-4», включающая имплантаты и элементы протезирования Osstem, а также временный акриловый протез
|
405 430 р.
|
33 786 р.
|
|
Постоянная керамокомпозитная конструкция на фрезерованном титановом основании, на 2-3 имплантатах (без учета стоимости элементов протезирования)
|
113 135 р.
|
9 428 р.
|
|
Постоянный акриловый протез «All-on-4» на фрезерованной титановой балке (без учета стоимости элементов протезирования)
|
123 420 р.
|
10 285 р.
|
|
Постоянный акриловый протез «All-on-4», на фрезерованной титановой балке, включающий имплантаты и элементы протезирования A.B. Dental, а также временный акриловый протез
|
428 940 р.
|
35 745 р.
|
|
Постоянный акриловый протез «All-on-4», на фрезерованной титановой балке, включающий имплантаты и элементы протезирования AnyOne, а также временный акриловый протез
|
420 990 р.
|
35 083 р.
|
|
Постоянный акриловый протез «All-on-4», на фрезерованной титановой балке, включающий имплантаты и элементы протезирования AnyRidge, а также временный акриловый протез
|
433 560 р.
|
36 130 р.
|
|
Постоянный акриловый протез «All-on-4», на фрезерованной титановой балке, включающий имплантаты и элементы протезирования Neo Biotech, а так же временный акриловый протез
|
431 010 р.
|
35 918 р.
|
|
Постоянный акриловый протез «All-on-4», на фрезерованной титановой балке, включающий имплантаты и элементы протезирования Osstem, а также временный акриловый протез
|
419 570 р.
|
34 964 р.
|
Цены на протезирование зубов
|
услуга
|
Акция!*
|
Стоимость
|
|
Акриловая конструкция на 2 имплантатах, немедленная нагрузка (без учета стоимости имплантов, формирователей, анестезии и элементов протезирования)
|
|
38 880 р.
|
|
Акриловая конструкция на 4 имплантатах «All-on-4» немедленная нагрузка (на имплантатах, установленных в сторонних клиниках), (без учета стоимости формирователей и элементов протезирования)
|
|
117 460 р.
|
|
Акриловая конструкция на 4 имплантатах «All-on-4», немедленная нагрузка (без учета стоимости имплантов, формирователей, анестезии и элементов протезирования)
|
|
78 310 р.
|
|
Безметалловая керамическая коронка (диоксид циркония)
|
|
20 430 р.
|
|
Бескаркасная керамическая коронка
|
|
34 250 р.
|
|
Бюгельный протез
|
|
61 530 р.
|
|
Бюгельный протез шинирующий
|
|
98 115 р.
|
|
Винир 360 цифровой керамический E-Max (цена актуальна при оплате от 10 ед.)
|
|
21 500 р.
|
|
Винир керамический ортопедический E-Max (цена актуальна при оплате от 10 ед.)
|
|
21 500 р.
|
|
Винир композитный
|
|
19 970 р.
|
|
Восстановительная керамическая вкладка
|
|
24 930 р.
|
|
Временная коронка армированная металлом
|
|
2 320 р.
|
|
Композитная накладка
|
|
6 430 р.
|
|
Коронка на имплантат из диоксида циркония
|
|
20 185 р.
|
|
Литая культевая вкладка на однокорневой зуб
|
|
6 580 р.
|
|
Металлокерамика Vita (США)
|
|
15 250 р.
|
|
Металлокерамическая коронка (золото, без учета стоимости драг. металла)
|
|
27 090 р.
|
|
Металлокерамическая коронка Shofu Halo
|
|
9 950 р.
|
|
|
7 250 р.
|
|
|
Нейлоновый бюгельный протез (квадротти), 1 челюсть
|
|
94 100 р.
|
|
Покрывной протез на телескопических колпачках, 1 челюсть
|
|
140 550 р.
|
|
Полный съемный временный протез на имплантатах, 1 челюсть
|
|
33 210 р.
|
|
Полный съемный протез с зубами Yamahachi, 1 челюсть
|
|
56 260 р.
|
|
Полный съемный протез «Премиум-класса» с зубами Ivoclar, 1 челюсть
|
|
70 650 р.
|
|
Съемный протез на миниимплантатах
|
|
50 140 р.
|
|
Телескопическая коронка
|
|
14 620 р.
|
|
Цельная коронка из диоксида циркония
|
17 160 р.
|
|
|
Цельная коронка из диоксида циркония (для зубов жевательной группы)
|
10 650 р.
|
|
|
Частично съемный временный протез, 1 челюсть
|
|
33 780 р.
|
|
Частично-съёмный нейлоновый протез, 1 челюсть
|
|
51 250 р.
|
|
Частичный съемный протез из материала Acry-Free, Evihard, 1 челюсть
|
|
57 040 р.
|
|
Элементы протезирования (циркониевый абатмент, трансфер, аналог) для бескаркасной керамической коронки E-Max на имплантате системы A.B. Dental
|
|
12 990 р.
|
|
Элементы протезирования (циркониевый абатмент, трансфер, аналог) для бескаркасной керамической коронки E-Max на имплантате системы Ankylos
|
|
20 980 р.
|
|
Элементы протезирования (циркониевый абатмент, трансфер, аналог) для бескаркасной керамической коронки E-Max на имплантате системы Osstem
|
|
20 980 р.
|
|
Элементы протезирования для одного имплантата A2 (стандартный абатмент, трансфер, аналог)
|
|
16 500 р.
|
|
Элементы протезирования для одного имплантата AnyOne (стандартный абатмент, трансфер, аналог)
|
|
17 950 р.
|
|
Элементы протезирования для одного имплантата AnyRidge
|
|
23 800 р.
|
|
Элементы протезирования для одного имплантата Biotem (стандартный абатмент, трансфер, аналог)
|
|
9 970 р.
|
|
Элементы протезирования для одного имплантата Lenmiriot (стандартный абатмент, трансфер, аналог)
|
|
8 760 р.
|
|
Элементы протезирования для одного имплантата Neo Biotech (стандартный абатмент, трансфер, аналог)
|
|
17 950 р.
|
|
Элементы протезирования для одного имплантата Osstem (индивидуальный абатмент, трансфер, аналог)
|
|
20 735 р.
|
|
Элементы протезирования для одного имплантата системы A.B. Dental
|
|
9 980 р.
|
|
Элементы протезирования для одного имплантата системы Astra tech
|
|
17 950 р.
|
|
Элементы протезирования для одного имплантата системы Straumann Bon Level
|
|
32 470 р.
|
|
Элементы протезирования для одного имплантата системы Straumann SynOcta
|
|
32 470 р.
|
| Процедура противопоказана в период ОРВИ, а также беременным женщинам. | ||
Как проходит установка зубного протеза
- Консультация и диагностика. Врач оценивает состояние зубов, делает снимки и выбирает методику.
- Подготовка полости рта. Лечение кариеса, удаление разрушенных зубов (если необходимо).
- Изготовление протеза. Проводится индивидуальное моделирование с учётом прикуса и анатомии пациента.
- Примерка. Врач проверяет удобство конструкции, вносит коррективы.
- Финальная установка – фиксируется постоянный протез, проводится инструктаж по уходу.
- Контрольный осмотр. Через несколько недель врач оценивает адаптацию к протезу.
Как ухаживать за зубными протезами
Сразу после установки возможен период адаптации, который длится от нескольких дней до пары недель. Чтобы продлить срок службы конструкции, важно соблюдать рекомендации врача: правильно чистить протез, избегать очень твёрдой пищи и регулярно посещать стоматолога для осмотра.
Кому подойдёт протезирование зубов
Протезирование необходимо при отсутствии одного или нескольких зубов, если есть сложности с жеванием или эстетическим видом улыбки. Современные технологии делают процедуру комфортной, а цена зависит от типа конструкции – врач подберёт оптимальный вариант.
Почему «Все свои!»
- Опытные специалисты. Врачи с многолетним опытом работы в области протезирования зубов.
- Гарантия качества. Даем гарантию на установленные конструкции и сопровождаем пациентов после процедуры.
- Доступные цены. Разные варианты протезирования под любой бюджет – от съёмных конструкций до протезов на имплантах.
Рекомендуемый врач
2020 г. - Окончил Саратовский государственный медицинский университет имени В.И. Разумовского по специальности «Стоматология». 2022 г. - Ординатура в Московском областном...
2021 г. - Окончил Уральский государственный медицинский университет по специальности «Стоматология». 2024 г. - Ординатура в Башкирском государственном медицинском университете по...
.png)