Исправление прикуса
Услуга
Хотите ровные зубы, но думаете, что исправление прикуса — это долго и сложно? Ортодонты «Все свои!» в Екатеринбурге помогут скорректировать прикус в любом возрасте. Современные технологии позволяют добиться идеального результата комфортно и эффективно. Ровные зубы — это не только красивая улыбка, но и здоровье: правильный прикус снижает риск кариеса, пародонтита и проблем с пищеварением. Оставьте заявку и получите выгодное предложение на услуги исправления прикуса в этом месяце!
Как можно исправить прикус
Исправление прикуса – это не только про эстетику, но и про здоровье зубов и суставов. В зависимости от возраста, сложности случая и пожеланий пациента используются различные методы коррекции. Ортодонт подберёт оптимальный вариант, который обеспечит комфортное лечение и стойкий результат.
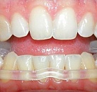
Прозрачные элайнеры
- Гибкие и комфортные, не натирают дёсны.
- Почти незаметны, не мешают говорить.
- Можно снимать во время еды и чистки зубов.
- Без металлических элементов – лёгкость и удобство.
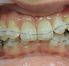
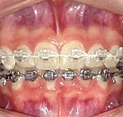
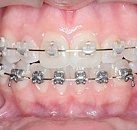
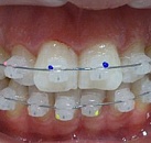
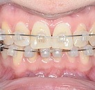
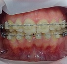
Металлические брекеты
- Классический вариант для исправления сложных нарушений прикуса.
- Высокая прочность – выдерживают нагрузки, не ломаются.
- Доступны по цене.
- Работают быстро и эффективно.
Керамические брекеты
- Максимально сливаются с цветом зубов – эстетичный вид.
- Изготовлены из безопасных гипоаллергенных материалов.
- Долговечные – не подвержены окрашиванию.
- Мягко воздействуют на зубную эмаль, не повреждая её.
Лингвальные брекеты
- Крепятся с внутренней стороны зубов – совершенно невидимы.
- Не влияют на эстетику улыбки.
- Индивидуально подгоняются под форму зубов.
- Минимизируют риск повреждения эмали.
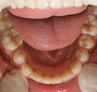
Как проходит исправление прикуса
- Первичная консультация. Ортодонт осматривает зубы, делает снимки, обсуждает варианты лечения.
- Диагностика и план. Создаётся индивидуальный план исправления прикуса, подбираются брекеты или каппы.
- Установка системы. Брекеты фиксируются на зубах или изготавливаются прозрачные капы.
- Регулярные корректировки. Ортодонт контролирует процесс, вносит изменения.
- Завершение лечения. После снятия брекетов устанавливаются ретейнеры для закрепления результата.
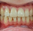
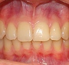
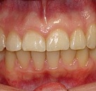
Что дальше
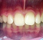
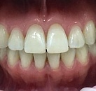
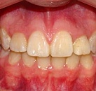
После исправления прикуса зубы остаются ровными и здоровыми на долгие годы. Важно первое время носить ретейнеры (специальные фиксаторы), чтобы сохранить результат. Уход за зубами остаётся привычным – регулярная чистка, осмотры у стоматолога. А ещё – наслаждаться уверенной улыбкой!
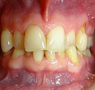
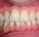
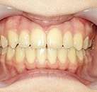
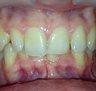
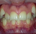
Кому стоит задуматься о лечении
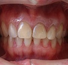
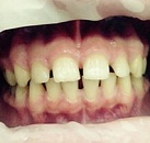
Исправить прикус стоит, если зубы сильно скучены, есть щели, боль в челюсти или жевание вызывает дискомфорт. Взрослым не стоит бояться лечения – современные технологии делают процесс удобным, а цена давно стала доступной.
Почему «Все свои!»
- Современные системы. Брекеты и капы на любой бюджет.
- Ортодонты с опытом. Исправляем даже сложные случаи.
- Комфортные условия. Приём без боли и долгих очередей.
Рекомендуемый врач
2017 г. - Окончил Московский государственный медико-стоматологический университет им. А.И. Евдокимова по специальности «Стоматология». 2019 г. - Ординатура в Московском областном...
2016 г. - С отличием окончила Свердловский областной медицинский колледж по специальности «Сестринское дело». 2016 г. - Профессиональная переподготовка в Учебном центре «МЕД АРТ» по...
.png)