Цены
Процедура противопоказана в период ОРВИ, а также беременным женщинам.
* Условия акций указаны в разделе «Акции».
** Цены и акции, размещённые на сайте не являются публичной офертой. Цены и услуги предоставляются в соответствии с размещенным на сайте прейскурантом платных медицинских услуг.
*** Цены на услуги стоматолога указаны с учётом максимальной скидки и оплаты в течение 2-х дней с момента прохождения первичной консультации.
Преимущества Zoom 3
- Занимает не более 1 часа.
- Удаляет даже самые глубокий пигмент, в том числе после кофе и сигарет.
- Бережно относится к зубной эмали, так как содержит реминерализующий комплекс с фосфатом кальция.
- Поддержать и продлить результат процедуры возможно при помощи домашних систем отбеливания Zoom.
Этапы отбеливания Zoom 3
- Перед процедурой необходимо вылечить кариес, избавиться от налета и зубного камня.
- Затем стоматолог определит ваш исходный оттенок зубов, а вы выберете желаемый результат согласно шкале Vita.
- В полость рта вставляется защитный ретрактор для губ, изолируются слизистые оболочки, на глаза надеваются специальные очки.
- Процедура состоит из трех циклов: нанесение геля - воздействие лампой – удаление геля. Каждый цикл занимает 15-20 минут.
- В процессе химической реакции в геле высвобождаются молекулы кислорода, которые глубоко проникают в ткани зуба и удаляют пигмент.
- По окончании отбеливания врач обработает ваши зубы специальным средством для снижения чувствительности и укрепления зубной эмали.

Вы не разочаруетесь в результате
В зависимости от первоначального оттенка цвет ваших зубов изменится на 8-10 тонов. Вы обретете белоснежную улыбку, а вместе с ней уверенность в себе и восхищение окружающих. В первые 2 недели стоит воздержаться от употребления в пищу красящих продуктов. Рекомендуем следить за гигиеной ротовой полости, ограничить употребление кофе и табака и минимум раз в полгода посещать специалиста. Таким образом эффект от процедуры продлится до 5 лет.
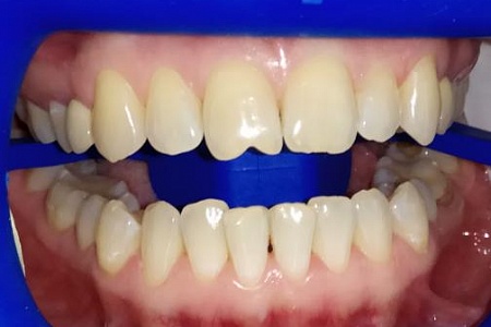
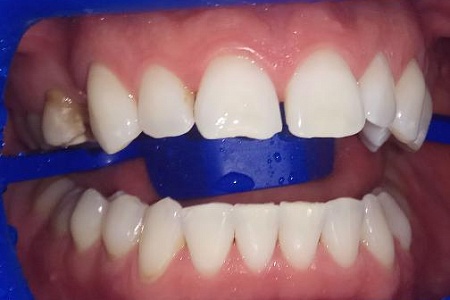
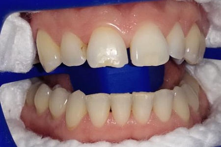
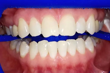
Работы наших врачей

Выгодно ли отбеливание с Zoom 3
Этот метод является лучшим предложением по соотношению «качество + цена». Он надежен и используется вот уже 20 лет. Вам не нужно беспокоиться о сохранности эмали: в отбеливающем геле нет вредных кислот, и добавлен фосфат кальция для дополнительной реминерализации. Более того, стоимость Зум 3 делает метод доступным каждому.
Отбеливание Zoom 3 в клинике «Все свои!»


