Отзывы пациентов
м. Комендантский проспет м. Удельная м. Лиговский проспект м. Владимирская
Расчёт стоимости лечения
           
Отправление
               
Заявка отправлена
          

Нажимая на кнопку «Отправить», вы даете согласие на обработку персональных данных и соглашаетесь с политикой конфиденциальности.
Специалист временно не ведет прием.

Олег Владимирович

врач стоматолог-ортопед

2008 г. - Окончил ВолГМУ.

2009 - 2011 гг. - Ординатура, СПБГУ.

Окончил курсы повышения квалификации: Протезирование на имплантах всех систем. Особенности эстетического протезирования фронтальной группы зубов.

Чтобы записаться на прием, звоните по телефону
+7 812313-33-07

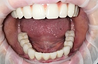
Работы врача

Отзывы пациентов

Записалась за неделю на прием к главному ортопеду Ульрих О.В., что бы понять по какой причине такое низкое качество обслуживания протеза. Запись на 10.00. При мне ему сделали звонок, его еще нет на месте. По телефону сказал, что будет через 10 минут. Что это? Частная лавочка? Я отпросилась с работы! Мало того, что вообще неудобное время, так он и к этому времени опоздал. Замечательный доктор, если бы не опоздал, то на все 100%. Но он извинился! Спасибо, Олег Владимирович.

29 мая 2019

Читать другие отзывы
Выражаю огромную благодарность Олегу Владимировичу, за профессионализм и знание своего дела! Поставил сегодня мост, очень аккуратно, без боли и быстро, остались лишь положительные впечатления.Честь и хвала такому замечательному доктору, СПАСИБО Вам огромное!

13 января 2019

Олег Владимирович ставил мне вкладки и  мост..Все подогнано идеально и стоит как родное.Всем рекомендую.

22 марта 2017

Около года назад Олег Владимирович ставил мне коронку. Это моя первая имплантация, я, конечно, волновалась, но всё прошло прекрасно! Коронка выглядит как мой родной зуб. Олег Владимирович отличный специалист и приятный человек. Я очень рада, что попала к нему!  :)

11 декабря 2014

Вопросы пользователей

Слава, 24 года:
Хочу себе уникальные гриллзы, чтобы на вечеринках все обращали на меня внимание. Скажите, сколько у вас стоят грилзы?
Ответ:
Добрый день, Слава! В клинике «Все свои!» мы предлагаем грилзы на заказ из золота или специального стоматологического сплава по выгодной цене. Ознакомиться с ценой вы можете на странице услуги. Для более подробной информации записывайтесь на бесплатную консультацию в клинику «Все свои!».
Читать другие вопросы
Елена, 56 лет:
Здравствуйте Олег Владимирович ! Меня беспокоит мой 1 ( из 6 ) имплантов. Года 2 назад у Вас ставила протез верхней челюсти. Всё хорошо с остальными имплантами, но обнаружила , что десна распухла там,где 1 имплант . По утрам я чувствую привкус крови во рту. И неприятный вкус в течении дня. Теперь волнуюсь что не так ! Страшно . Что делать ?
Ответ:
Добрый день, Елена! Вам необходимо обратиться ко мне на консультацию в клинику, мы проведем осмотр, сделаем рентгеновское исследование, пройдем консультацию пародонтолога и решим ваши проблемы.
Галина, 60 лет:
Я хочу попасть к Вам на приём! Как мне это сделать?
Ответ:
Здравствуйте. Вам нужно позвонить по телефону горячей линии, указанной на сайте, и записаться на первичную консультацию-осмотр. Вам предложат различные варианты лечения и просчитают стоимость.
Задать вопрос
Оставить отзыв
           
Отправление
               
Ваш вопрос отправлен
          

Задать вопрос

Ваше имя
Возраст
Вопрос

Телефон

WhatsApp номер

Viber номер
Укажите предпочитаемый способ связи Электронная почта, Обратный звонок, WhatsApp, Viber
Нажимая на кнопку «Отправить», вы даете согласие на обработку персональных данных и соглашаетесь с политикой конфиденциальности.
           
Отправление
               
Ваш отзыв отправлен
          

Оставить отзыв

Ваше имя
Возраст
Почта
Отзыв

Нажимая на кнопку «Отправить», вы даете согласие на обработку персональных данных и соглашаетесь с политикой конфиденциальности.