Отзывы пациентов
м. Комендантский проспет м. Удельная м. Лиговский проспект м. Владимирская
Расчёт стоимости лечения
           
Отправление
               
Заявка отправлена
          

Нажимая на кнопку «Отправить», вы даете согласие на обработку персональных данных и соглашаетесь с политикой конфиденциальности.
Специалист временно не ведет прием.

Александр Николаевич

врач стоматолог-имплантолог

2009 г. - Окончил Владивостокский государственный медицинский университет.

2010 г. - Окончил интернатуру по стоматологии общей практике.

2012 г. - Окончил ординатуру по челюстно-лицевой хирургии в МАПО.

2012 г. - В МАПО прошел первичную специализацию по хирургической стоматологии.

Курсы и семинары:

  • 2011 г. - Курс по «Теоретические и практические аспекты для успешного имплантологического лечения».;
  • 2012 г. - Семинар и мастер-класс «Техники поднятия дна гайморовой пазухи и процедуры по направленной костной регенерации. Планирование и выполнение с использованием графтов»;
  • 2012 г. - Принял участие в семинаре «Комплексная подготовка пациентов к имплантологическому лечению. Практические аспекты мультидисциплинарного планирования»;
  • 2013 г. - Принял участие в семинаре «Процедуры по восстановлению недостаточного альвеолярного отростка»;
  • 2014 г. - Принял участие в семинаре «Транспозиция слизистой оболочки верхнечелюстной пазухи («Синус-лифтинг»). Теоретические и практические нюансы успешного субантрального аугментирования»;
  • 2014 г. - Принял участие в семинаре по имплантологии на основе систем АДИН, АЛЬФА-бИО, ИМПРО, НОБЕЛЬ;
  • 2016 г. - Сертификат «Мукогингивальная хирургия в области имплантатов», Баграт Смбатян;
  • 2016 г. - Сертификат «Биологические принципы направленной костной регенерации», Баграт Смбатян;
  • 2017 г. - Сертификат «Концепция всё в один этап VV1E», Мастерская Улыбок, Э.Анчаков;
  • 2018 г. - Прошел обучение в г.Мюнхен у профессора DR.Markus Hurzeler;
  • 2018 г. - Сертификат по мукогингивальной хирургии OSSTEM AIC.
Чтобы записаться на прием, звоните по телефону
+7 812313-33-07

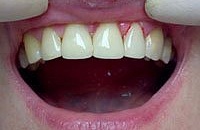
Работы врача

Отзывы пациентов

По совету друга обратился в стоматологию "Все свои" на Комендантском 13 корп.1 и не ошибся.У меня было много проблем с зубами и они стали решаться и быстро, и качественно. И в этом заслуга, считаю, тех лиц, которые работают в этом заведении. Начиная со входа в стоматологию и заканчивая выполнением работ по приведению моих зубов в порядок- ВСЕ ПРОСТО ЗДОРОВО! Большое спасибо хочется сказать: менеджеру Наталии, докторам - Иващенко А.Н., Хамдееву Г.М, Петрову В.В. Рекомендую всем, у кого есть проблемы с зубами, обращаться в данную поликлинику.

29 июня 2016

Задать вопрос
Оставить отзыв
           
Отправление
               
Ваш вопрос отправлен
          

Задать вопрос

Ваше имя
Возраст
Вопрос

Телефон

WhatsApp номер

Viber номер
Укажите предпочитаемый способ связи Электронная почта, Обратный звонок, WhatsApp, Viber
Нажимая на кнопку «Отправить», вы даете согласие на обработку персональных данных и соглашаетесь с политикой конфиденциальности.
           
Отправление
               
Ваш отзыв отправлен
          

Оставить отзыв

Ваше имя
Возраст
Почта
Отзыв

Нажимая на кнопку «Отправить», вы даете согласие на обработку персональных данных и соглашаетесь с политикой конфиденциальности.