Цены
Процедура противопоказана в период ОРВИ, а также беременным женщинам.
* Условия акций указаны в разделе «Акции».
** Цены и акции, размещённые на сайте не являются публичной офертой. Цены и услуги предоставляются в соответствии с размещенным на сайте прейскурантом платных медицинских услуг.
*** Цены на услуги стоматолога указаны с учётом максимальной скидки и оплаты в течение 2-х дней с момента прохождения первичной консультации.
Преимущества безметалловой керамической коронки E-max
- Изготавливается на основе гипоаллергенного состава из дисиликата лития.
- Не имеет металлического основания и хорошо пропускает свет, за счет чего и возникает живой естественный блеск.
- Минимально воздействует на зуб или имплант, так как не имеет тяжелого металлического каркаса.
- Сохраняет цвет и форму до конца срока эксплуатации.
- Не накапливает налет и камень, так как поверхность практически не имеет пор.
Установка керамической коронки E-max на зуб
- Перед протезированием необходимо устранить все очаги кариеса, чтобы избежать распространения инфекции.
- Протез устанавливают на зуб, если он разрушен не более, чем на 50-60%. Удаление нерва не требуется, так как керамика, в отличие от металла, не вызывает воспаление пульпы.
- Предварительная обточка опорных зубов минимальна – до 1 мм. Благодаря местной анестезии процесс не вызывает дискомфорта.
- Далее стоматолог снимает слепки и отправляет в зуботехническую лабораторию, где на их основе изготовляется керамическая коронка. Производство занимает 5-7 дней.
- Последний этап – фиксация E-max. Керамическая коронка закрепляется на импланте с помощью абатмента, на обточенном зубе - с использованием стоматологического цемента.

После лечения
В первое время вы можете ощущать дискомфорт от инородного тела во рту, полное привыкание к E-max займет от 3 до 7 дней. В этот период лучше сократить жевательную нагрузку, не употреблять твердые продукты и аккуратно чистить зубы. Также мы советуем минимум 1 раз в год посещать стоматолога для профессиональной чистки, чтобы продлить срок службы коронки.
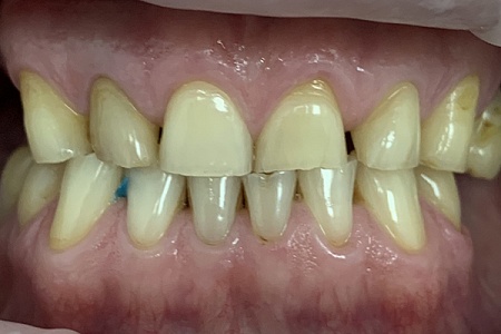
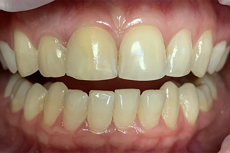
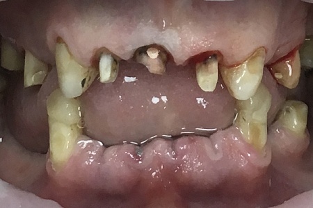
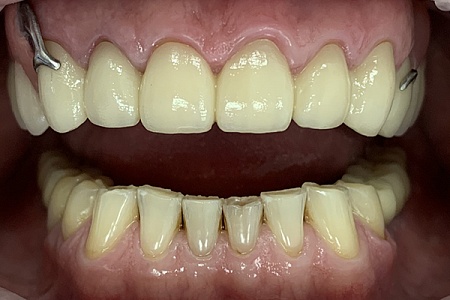
Работы наших врачей

Когда мы рекомендуем керамические коронки
Если ранее считалось, что безметалловые конструкции подходят только для протезирования передних зубов, то сегодня мы с уверенностью рекомендуем их для установки и на жевательные зубы. Отсутствие металлического каркаса не означает, что протез хрупок и ненадежен. Прессованная керамика Е-max – это не только высокоэстетичные, но и высокопрочные конструкции, которые легко выдерживают ежедневные жевательные нагрузки и не деформируются со временем. Они прекрасно работают в сочетании с имплантатами, а также широко используются для создания зубных мостов или съемных протезов.
Почему пациенты выбирают «Все свои!»


