Стоматология «Все свои!» в Беляево
Клиника «Все свои!» в районе станции метро Беляево – это стоматологические услуги c ценами по «карману». Среди плюсов хорошая транспортная доступность и высокие стандарты лечения и обслуживания. Для постановки точного диагноза наши специалисты располагают сертифицированным оборудованием – интраоральной камерой, ортопантомографом. Также в нашем арсенале есть дентальный микроскоп. Это незаменимый помощник врача-эндодонтиста, который с его помощью может найти и вылечить даже сложные случаи пульпита и периодонтита.
В данном филиале принимаются пациенты с 14 лет.
-
Первичный осмотр стоматолога
Бесплатно!
-
Бонусная карта
30%
-
Скидка на гигиену полости рта
6 330 р. / 12 320 р.
-
Семейная скидка
до 25%
-
Скидка по социальной карте
3%
Прием в клинике «Все свои!» на Профсоюзной улице ведется 7 дней в неделю с 08:00 до 21:00. Мы оказываем услуги по лечению, удалению, отбеливанию, протезированию, имплантации зубов по фиксированной стоимости.
Наши врачи
Отзывы пациентов
ул. Профсоюзная, дом 104
Ближайшие районы и станции метро, обслуживаемые стоматологией на м. «Беляево» - «Коньково», «Профсоюзная», «Калужская». «Все свои!» – это клиника семейной стоматологии, в которой помощь оказывается как взрослым, так и детям.
Лицензия клиники в Беляево
Сведения о юридическом лице клиники в Беляево
Правила предоставления медицинских услуг в клинике Беляево
Правила поведения в медицинской организации Беляево
Договор оказания стоматологических услуг
Сведения о территориальной программе 2026-2028 гг. (Москва)
Правила предоставления платных медицинских услуг
В клинике на улице Профсоюзной подобралась отличная команда врачей. Мы охватили все направления в стоматологии, от имплантологии и протезирования до профилактической чистки и отбеливания.
-
Первичный осмотр стоматолога
Бесплатно!
-
Бонусная карта
30%
-
Скидка на гигиену полости рта
6 330 р. / 12 320 р.
-
Семейная скидка
до 25%
-
Скидка по социальной карте
3%
У нас работают кандидаты медицинских наук, запись к которым заполнена на неделю вперед.
Отзывы пациентов, прошедших лечение в нашей клинике – самое ценное для стоматолога. Обратная связь помогает нам становиться лучше, видеть реальный отклик и результат своего труда.
-
Первичный осмотр стоматолога
Бесплатно!
-
Бонусная карта
30%
-
Скидка на гигиену полости рта
6 330 р. / 12 320 р.
-
Семейная скидка
до 25%
-
Скидка по социальной карте
3%
На видео можно посмотреть, как проходит работа в нашем центре: при первичном посещении врач проводит полный осмотр с демонстрацией проблемных зон на экране, чтобы пациент сам увидел повреждения зуба и понял, какое предстоит лечение.
-
Первичный осмотр стоматолога
Бесплатно!
-
Бонусная карта
30%
-
Скидка на гигиену полости рта
6 330 р. / 12 320 р.
-
Семейная скидка
до 25%
-
Скидка по социальной карте
3%
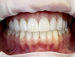
На видео также показано, что у нас можно сразу провести диагностику и составить план лечения. На фото представлены наши постоянные пациенты, которые регулярно проходят профилактические осмотры. Они рекомендуют нас своим друзьям и близким.



.jpg)





.jpg)



























