Отзывы пациентов
Расчёт стоимости лечения
           
Отправление
               
Заявка отправлена
          

Нажимая на кнопку «Отправить», вы даете согласие на обработку персональных данных и соглашаетесь с политикой конфиденциальности.
Специалист временно не ведет прием.

Динара Рамилевна

врач стоматолог-ортодонт

2018 г. - Окончила Казанский государственный медицинский университет по специальности «Стоматология».

2021 г. - Ординатура в Московском областном научно-исследовательском клиническом институте им. М.Ф. Владимирского по специальности «Стоматология ортодонтическая».

Дополнительное образование:

  • «Вертикальный подход к планированию и коррекции сагиттальных аномалий», Алексей Ермаков;
  • «Искусство дизартикуляции или доступно о накладках: Где? Зачем? Когда?», Умалат Антошкиев;
  • «Все о высокодейственной системе минивинтов Bio-Ray», Вольвач Юлия;
  • «Элайнеры, как новый инструмент в руках ортодонта - FlexiLigner».
Чтобы записаться на прием, звоните по телефону
+7 495788-58-08

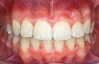
Работы врача

Задать вопрос
Оставить отзыв
           
Отправление
               
Ваш вопрос отправлен
          

Задать вопрос

Ваше имя
Возраст
Вопрос

Телефон

WhatsApp номер

Viber номер
Укажите предпочитаемый способ связи Электронная почта, Обратный звонок, WhatsApp, Viber
Нажимая на кнопку «Отправить», вы даете согласие на обработку персональных данных и соглашаетесь с политикой конфиденциальности.
           
Отправление
               
Ваш отзыв отправлен
          

Оставить отзыв

Ваше имя
Возраст
Почта
Отзыв

Нажимая на кнопку «Отправить», вы даете согласие на обработку персональных данных и соглашаетесь с политикой конфиденциальности.