По назначению
врача из любой
клиники сети,
процедура доступна
на Цветном бульваре
Фото до и после лечения
Все услуги
Исправление прикуса
Протезирование зубов
Лечение зубов
Отбеливание зубов
Гигиена зубов и полости рта
Удаление зубов
Детская стоматология
Диагностика зубов
Лечение десен
Имплантация зубов
Хирургическая стоматология
Все
болезни
Воспаление нерва
Периодонтит
Разрушение зубов
Желтые зубы
Детские стоматологические заболевания
Гингивит
Пульпит
Зубной камень
Кариес
Пародонтоз
Неправильный прикус
Пародонтит
Зубная боль
Хронический катаральный гингивит
Глубокий кариес
Острый и хронический кариес
Пришеечный кариес
Кариес передних зубов
Кариес корня зуба
Выпадение зубов
Отбеливание зубов Opalescence
Все
работы
Врач стоматолог-терапевт
Врач стоматолог-ортопед
Врач стоматолог-пародонтолог
Врач стоматолог-ортодонт
Врач стоматолог-имплантолог
Гигиенист стоматологический
Врач стоматолог детский
Врач первичного приема
Все
отделения
«Все свои!» м. Первомайская
«Все свои!» м. Беляево
«Все свои!» м. Бульвар Дмитрия Донского
«Все свои!» м. Пролетарская
«Все свои!» м. Петровско-Разумовская
«Все свои!» м. Крылатское
«Все свои!» м. Люблино
«Все свои!» м. Октябрьское Поле
«Все свои!» м. Сокольники
«Все свои!» м. Орехово
«Все свои!» м. Проспект Вернадского
«Все свои!» м. Войковская
«Все свои!» м. Алтуфьево
«Все свои!» м. Улица Академика Янгеля
«Все свои!» м. Митино
«Все свои!» м. Аэропорт
«Все свои!» м. Ясенево
«Все свои!» м. Бабушкинская
«Все свои!» м. Жулебино
«Все свои!» м. Строгино
«Все свои!» м. Химки
«Все свои!» м. Маяковская
«Все свои!» м. Раменки
«Все свои!» м. Новогиреево
«Все свои!» м. Алексеевская
«Все свои!» м. Лермонтовский проспект
«Все свои!» м. Бунинская аллея
«Все свои!» м. Нахимовский проспект
«Все свои!» м. Бибирево
«Все свои!» м. Окружная
«Все свои!» м. Новопеределкино
Поиск работ врача
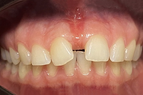
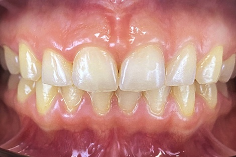
Лечение металлическими безлигатурными брекетами Damon 3MX
До
После
Заболевания:
Стоматология
«Все свои!» м.Проспект Вернадского
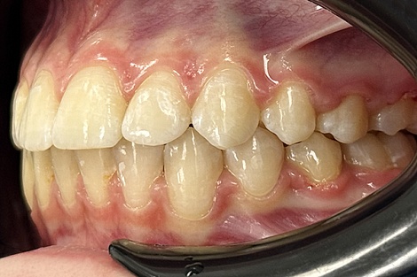
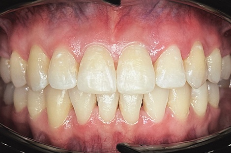
Лечение металлическими безлигатруными брекетами DamonQ и Damon3
До
После
Заболевания:
Стоматология
«Все свои!» м.Проспект Вернадского
Лечение металлическими безлигатурными брекетами Pitts 21
До
После
Заболевания:
Стоматология
«Все свои!» м.Сокольники
Лечение металлическими безлигатурными брекетами DamonQ
До
После
Заболевания:
Стоматология
«Все свои!» м.Сокольники
Лечение металлическими брекетами Pitts 21
До
После
Заболевания:
Стоматология
«Все свои!» м.Проспект Вернадского
Лечение металлическими безлигатруными брекетами Pitts 21
До
После
Заболевания:
Стоматология
«Все свои!» м.Беляево
Лечение металлическими безлигатурными брекетами Damon Q
До
После
Заболевания:
Стоматология
«Все свои!» м.Маяковская
Лечение металлическими безлигатурными брекетами Pitts 21
До
После
Заболевания:
Стоматология
«Все свои!» м.Беляево
Лечение металлическими безлигатурными брекетами In-Ovation R
До
После
Заболевания:
Стоматология
«Все свои!» м.Маяковская
Лечение металлическими безлигатурными брекетами Damon 3MX
До
После
Заболевания:
Стоматология
«Все свои!» м.Маяковская
Начало | Пред. | 1 2 3 4 5 | След. | Конец