Цены
Процедура противопоказана в период ОРВИ, а также беременным женщинам.
* Условия акций указаны в разделе «Акции».
** Цены и акции, размещённые на сайте не являются публичной офертой. Цены и услуги предоставляются в соответствии с размещенным на сайте прайс-листом.
*** Цены на услуги стоматолога указаны с учётом максимальной скидки и оплаты в течение 2-х дней с момента прохождения первичной консультации.
**** Стоимость лечения у врачей высшей категории может быть на 10% выше от указанных на сайте цен.
Преимуществах брекетов In Ovation
- Сокращают количество посещений стоматолога, так как замки плотно крепятся к эмали.
- Обеспечивают комфортное ношение, не давят сильно на ряд и не приносят дискомфорт.
- Устраняют любые виды ортодонтических нарушений.
- Замена дуги занимает не более 5 минут.
Этапы установки брекетов In Ovation
- На первом приеме врач определяет сложность клинического случая и подбирает наиболее подходящее лечение.
- Ортодонт снимает слепки зубов и отправляет их в лабораторию, где изготавливают индивидуальные брекеты. Средний срок изготовления — 2 недели.
- Перед установкой при необходимости проводится санация полости рта и профессиональная чистка зубов.
- Установка In Ovation занимает от 30 минут до 1,5 часа. На обратной стороне каждого замка есть гравировка с номером зуба. Это облегчает и ускоряет процесс установки. На каждый зуб крепятся пазы, которые потом соединяются дугой.
- В зависимости от клинического случая, конструкцию потребуется носить от 6 месяцев до 2 лет.

Как ухаживать за брекетами после установки
Брекеты Инновация не требуют сложного ухода благодаря отсутствию крючков и резиночек. Достаточно лишь полоскать полость рта после каждого приема пищи, использовать V-образную щетку и ирригатор. Также мы советуем сократить употребление твердой пищи.
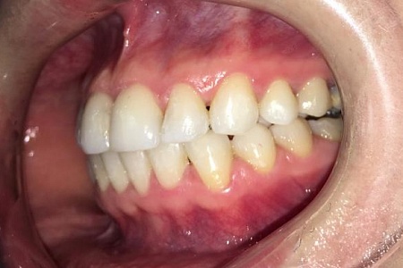
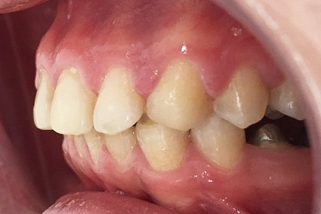
Работы наших врачей

Кому мы рекомендуем брекеты
Мы рекомендуем установить их всем, у кого есть проблемы с прикусом. Оставлять неправильный прикус без лечения нельзя. Это может привести к воспалению десен, расшатанности зубов, стиранию эмали и развитию кариеса, нарушению речи и искривлению лица. С помощью брекетов In Ovation можно сделать зубы идеально ровными в любом возрасте. А чтобы сэкономить и сохранить при этом эстетику, выбирайте комбинированные системы: керамические брекеты In Ovation C на передние зубы, металлические In Ovation R – на жевательные.
Почему стоит выбрать клинику «Все свои!»


