Расчёт стоимости лечения
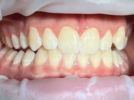
Хронический катаральный гингивит: фото до и после
Все услуги
Исправление прикуса
Протезирование зубов
Лечение зубов
Отбеливание зубов
Гигиена зубов и полости рта
Удаление зубов
Детская стоматология
Диагностика зубов
Лечение десен
Имплантация зубов
Хирургическая стоматология
В этом разделе представлены фотографии работ врачей сети стоматологий «Все свои!» по лечению
зубов, детской стоматологии, установке зубных протезов и профессиональной гигиене полости рта.
Выберите интересующее вас направление, клинику или врача, чтобы точнее отфильтровать снимки «до
и после».
Все
болезни
Воспаление нерва
Периодонтит
Разрушение зубов
Желтые зубы
Детские стоматологические заболевания
Гингивит
Пульпит
Зубной камень
Кариес
Пародонтоз
Неправильный прикус
Пародонтит
Зубная боль
Хронический катаральный гингивит
Глубокий кариес
Острый и хронический кариес
Пришеечный кариес
Кариес передних зубов
Кариес корня зуба
Выпадение зубов
Отбеливание зубов Opalescence
Все
работы
Врач стоматолог-терапевт
Врач стоматолог-ортопед
Врач стоматолог-пародонтолог
Врач стоматолог-ортодонт
Врач стоматолог-имплантолог
Гигиенист стоматологический
Врач стоматолог детский
Врач первичного приема
Все
отделения
«Все свои!» м. Первомайская
«Все свои!» м. Беляево
«Все свои!» м. Бульвар Дмитрия Донского
«Все свои!» м. Пролетарская
«Все свои!» м. Петровско-Разумовская
«Все свои!» м. Крылатское
«Все свои!» м. Люблино
«Все свои!» м. Октябрьское Поле
«Все свои!» м. Сокольники
«Все свои!» м. Орехово
«Все свои!» м. Проспект Вернадского
«Все свои!» м. Войковская
«Все свои!» м. Алтуфьево
«Все свои!» м. Улица Академика Янгеля
«Все свои!» м. Митино
«Все свои!» м. Аэропорт
«Все свои!» м. Ясенево
«Все свои!» м. Бабушкинская
«Все свои!» м. Жулебино
«Все свои!» м. Строгино
«Все свои!» м. Химки
«Все свои!» м. Маяковская
«Все свои!» м. Раменки
«Все свои!» м. Новогиреево
«Все свои!» м. Алексеевская
«Все свои!» м. Лермонтовский проспект
«Все свои!» м. Бунинская аллея
«Все свои!» м. Нахимовский проспект
«Все свои!» м. Бибирево
«Все свои!» м. Окружная
«Все свои!» м. Новопеределкино
Поиск работ врача
Комплексная профессиональная гигиена полости рта и реминерализация эмали
До

После

Услуги:
Гигиена зубов и полости рта ,
Чистка зубов
Заболевания:
Хронический катаральный гингивит,
Гингивит
Стоматология
«Все свои!» м.Люблино