Цены
Процедура противопоказана в период ОРВИ, а также беременным женщинам.
* Условия акций указаны в разделе «Акции».
** Цены и акции, размещённые на сайте не являются публичной офертой. Цены и услуги предоставляются в соответствии с размещенным на сайте прейскурантом платных медицинских услуг.
*** Цены на услуги стоматолога указаны с учётом максимальной скидки и оплаты в течение 2-х дней с момента прохождения первичной консультации.
Преимущества лечения пародонтита в клинике «Все свои!»
- Применяем ультразвуковой аппарат «Вектор» для удаления зубного камня и очищения пародонтальных карманов даже большой глубины.
- Используем диодный лазер, который оказывает бактерицидное действие, коагулирует кровеносные сосуды в деснах, поэтому операции с ним бескровны и малотравматичны, а постоперационный период сокращается на 30%.
- Чтобы предупредить расшатывание зубов и оголение шеек, выполняем съемное и несъемное шинирование.
Как проходит лечение пародонтита
- На начальной стадии пародонтита эффективны медикаментозные методы и обработка десен аппаратом «Вектор». Ультразвук безболезненно воздействует на пораженный участок, удаляя зубной камень и бактериальную пленку.
- Если появилась подвижность 3-4 зубов в ряду, стоматолог проводит шинирование. Прочной арамидной нитью стягиваются пораженные участки, чтобы предотвратить выпадение зубов.
- Когда глубина пародонтального кармана превышает 7 мм, и наблюдается II стадия атрофии костной ткани, требуется хирургическое вмешательство. Ручными инструментами или лазером мы удаляем измененные ткани и обрабатываем участок антисептическим раствором.

Прогноз лечения
Будь то снятие зубных отложений или хирургическое вмешательство, успех лечения пародонтита в дальнейшем зависит от качества ежедневной гигиены полости рта, ответственность за которую полностью ложится на плечи пациента. Если не выполнять рекомендаций пародонтолога, вы вернетесь к исходному состоянию десен. Кроме того, важно регулярно посещать специалиста для контроля роста зубной бляшки, измерения длины пародонтального кармана. На основе этих данных стоматолог может скорректировать дальнейший домашний уход.
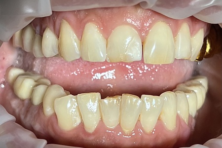
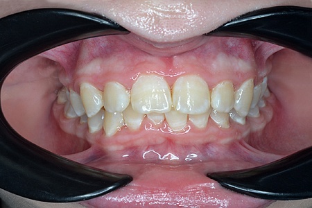
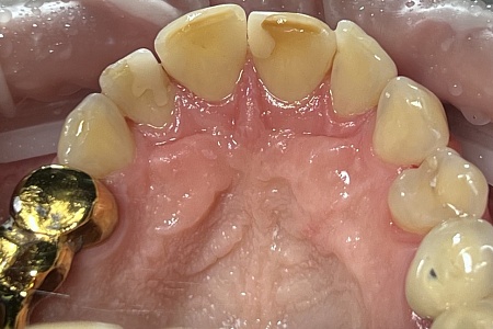
Работы наших врачей

Можно ли отложить лечение пародонтита?
Если вовремя не обратиться к стоматологу, к кровоточивости десен может добавиться воспаление, десневые карманы, подвижность зубов. В запущенных формах они вовсе могут выпасть, или начнется сепсис. Лечение пародонтита в стоматологии позволит избежать этих неприятных последствий и сохранить зуб.
Выгодные условия в стоматологии «Все свои!»


