Цены
Процедура противопоказана в период ОРВИ, а также беременным женщинам.
* Условия акций указаны в разделе «Акции».
** Цены и акции, размещённые на сайте не являются публичной офертой. Цены и услуги предоставляются в соответствии с размещенным на сайте прейскурантом платных медицинских услуг.
*** Цены на услуги стоматолога указаны с учётом максимальной скидки и оплаты в течение 2-х дней с момента прохождения первичной консультации.
Какие методы профессиональной гигиены зубов мы используем
Для комплексной гигиены мы применяем несколько технологий, которые позволяют не только удалить налёт и камень, но и укрепить эмаль, снизить чувствительность и защитить зубы от кариеса. Каждая процедура безопасна, проходит комфортно и даёт заметный результат уже после первого визита.
- Разрушает камень. Колебания ультразвукового наконечника дробят твёрдые отложения и снимают их с поверхности зуба без повреждения эмали.
- Достигает трудных зон. Аппарат очищает поддесневые карманы и участки между зубами, недоступные для щётки и нити.
- Максимальный комфорт. Процедура проходит без анестезии, занимает всего 15–20 минут, и сразу после неё зубы ощущаются идеально гладкими.
Этапы профессиональной гигиены полости рта
- Удаление камня ультразвуком. Тонкий наконечник аппарата посылает микроколебания, которые буквально «раскалывают» зубной камень. Процедура проходит мягко, без повреждения эмали, и сразу возвращает зубам естественную гладкость.
- Air Flow — эффект свежего дыхания. Смесь воздуха, воды и порошка подаётся под давлением и смывает мягкий налёт даже из самых труднодоступных зон. Этот метод особенно ценят пациенты с брекетами и те, кто хочет избавиться от пигментации после кофе или табака.
- Полировка до блеска. После снятия налёта зубы тщательно полируются. Гладкая поверхность препятствует повторному осаждению налёта, а улыбка выглядит заметно ярче.
- Финальная защита — реминерализация. На эмаль наносится специальный минеральный состав с фтором и кальцием. Он укрепляет зубы, снижает их чувствительность и создаёт надёжный барьер от кариеса на будущее.

Как сохранить эффект после профессиональной гигиены
Свежая гладкость зубов после чистки — это результат, который стоит поддерживать. В первый час лучше отказаться от еды и напитков, чтобы эмаль успела «отдохнуть». В течение суток избегайте кофе, чая, вина и ярких ягод — они легко окрашивают поверхность. Постарайтесь не перегружать зубы слишком горячим или ледяным. Хорошая идея — заменить зубную щётку на новую и выбрать мягкую пасту для чувствительных зубов: это поможет закрепить результат и снизить возможный дискомфорт. А дальше всё просто — соблюдайте привычную гигиену, и эффект профессиональной чистки будет радовать вас ещё долго.
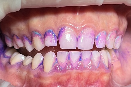
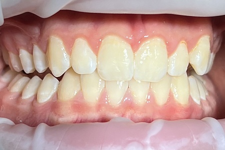
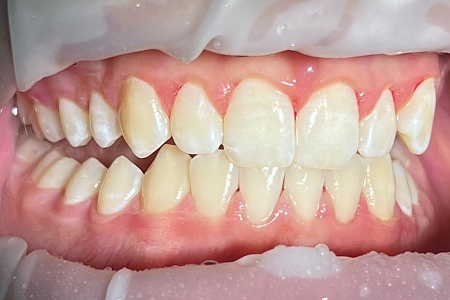
Работы наших врачей

Зачем нужна профессиональная гигиена
Обычная щётка справляется только с поверхностью — всё остальное остаётся в труднодоступных зонах. Там, где не достаёт ворсинка, налёт превращается в камень, а камень в воспаление. Именно поэтому люди с идеальной домашней гигиеной всё равно сталкиваются с кариесом или кровоточивостью дёсен. Профессиональная гигиена полости рта — это не роскошь, а профилактика, которая экономит нервы, деньги и зубы. Она снимает то, что невозможно убрать дома, и создаёт защиту на месяцы вперёд. После процедуры зубы становятся гладкими и чистыми, дыхание свежеет, а риск воспалений заметно снижается.
Преимущества профессиональной гигиены во «Все свои!»


