Отзывы пациентов
Расчёт стоимости лечения
           
Отправление
               
Заявка отправлена
          

Нажимая на кнопку «Отправить», вы даете согласие на обработку персональных данных и соглашаетесь с политикой конфиденциальности.

Профессиональная гигиена полости рта «Антикариес»

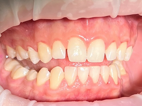
До
После
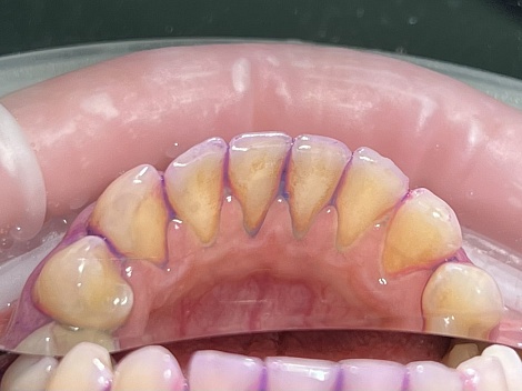
До
После
Пациент обратился с жалобами на шершавость зубов и кровоточивость десен во время домашней чистки зубов щеткой и пастой.
На осмотре выявлены признаки воспаления десен и налета на зубах, установлен диагноз: хронический генерализованный пародонтит.
Была проведена комплексная профессиональная гигиена полости рта «Антикариес» с удалением зубного налета и камня, также полировкой зубных поверхностей.
Рекомендации: правильная техника чистки зубов, регулярная стоматологическая гигиена для профилактики.

Заболевания: Пародонтит