Отзывы пациентов
Расчёт стоимости лечения
           
Отправление
               
Заявка отправлена
          

Нажимая на кнопку «Отправить», вы даете согласие на обработку персональных данных и соглашаетесь с политикой конфиденциальности.
Специалист временно не ведет прием.

Мадина Теймуразовна

врач стоматолог-ортопед

2012 г. - Окончила Московский государственный медико-стоматологический университет имени А.И. Евдокимова, специальность «Стоматология».

2013 г. - Интернатура, Московский государственный медико-стоматологический университет имени А.И. Евдокимова, диплом о послевузовском образовании, специальность «Стоматология общей практики».

2015 г. - Московский государственный медико-стоматологический университет имени А.И. Евдокимова, кафедра «Челюстно-лицевого протезирования».

2016 г. - Ординатура, Московский государственный медико-стоматологический университет имени А.И. Евдокимова, кафедра «Комплексного зубопротезирования», диплом об окончании, специальность «Стоматология ортопедическая».

2016 г. - Институт медико-социальных технологий ФГБОУ ВПО МГУПП, диплом о профессиональной переподготовке, специальность «Стоматология хирургическая».

Чтобы записаться на прием, звоните по телефону
+7 495788-58-08

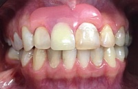
Работы врача

Отзывы пациентов

Доктор супер!!! Сделала шикарные белые зубы под виниры, от настоящих зубов не отличить!

02 августа 2018

Задать вопрос
Оставить отзыв
           
Отправление
               
Ваш вопрос отправлен
          

Задать вопрос

Ваше имя
Возраст
Вопрос

Телефон

WhatsApp номер

Viber номер
Укажите предпочитаемый способ связи Электронная почта, Обратный звонок, WhatsApp, Viber
Нажимая на кнопку «Отправить», вы даете согласие на обработку персональных данных и соглашаетесь с политикой конфиденциальности.
           
Отправление
               
Ваш отзыв отправлен
          

Оставить отзыв

Ваше имя
Возраст
Почта
Отзыв

Нажимая на кнопку «Отправить», вы даете согласие на обработку персональных данных и соглашаетесь с политикой конфиденциальности.