Хантурова Анастасия Александровна
2016 г. - Окончила Кабардино-Балкарский государственный университет по специальности «Стоматология».
2018 г. - Ординатура на базе Российского университета дружбы народов по специальности «Стоматология ортопедическая».
2023 г. - Повышение квалификации в Многопрофильной академии дополнительного образования по специальности «Стоматология ортопедическая».
Дополнительное образование:
2017 г. - «Фиксированное протезирование. Протокол препарирования под прессованные, металлокерамические коронки, вкладки и виниры авторским набором фирмы Комет. Фиксация Step by step», Брагарева Н.В.
2018 год:
- Первый Российский Конгресс с международным участием «Эстетика и стоматология: междисциплинарный синтез»;
- «Базовый курс по изготовлению металлокерамической реставрации», Ivoclar Vivadent, Кочинев П.;
- «Протезирование с опорой на зубы и имплантаты Straumann в переднем и дистальных отделах челюстей», Насуев Гамид;
- «Вакуумная терапия ран у детей и взрослых, российский и международный опыт», Митиш;
- «Адгезивные керамические реставрации. Виниры, накладки. Коронки», Саркисов О.;
- «Aurum Brain Dental Session 18», Петров М., Мельников А., Меликов А., Абросимов А.
2019 год:
- «Direct Restoration Congress», Valter Devoto, Saracinelli Monaldo, Giuseppe Chiodera, Simone Deliperi;
- «Реабилитация пациентов с полной потерей зубов», Nobel Biocare, Азарин, Розов.
Профессиональные навыки:
- съёмное и несъёмное протезирование;
- коронки, полукоронки;
- вкладки;
- виниры, люминиры;
- металлокерамика, безметалловая керамика, керамика на диоксиде циркония;
- бюгельные, пластиночные, нейлоновые протезы;
Высказывание врача:«Primum noli nocere» - Не навреди!
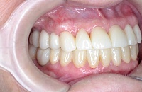
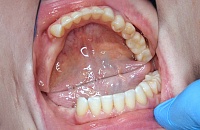
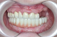
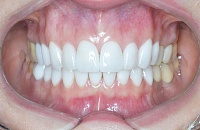
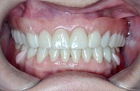
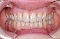
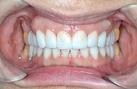
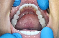
Работы врача
Отзывы пациентов
24 апреля 2024
02 апреля 2024
30 марта 2024
09 февраля 2024










