Отзывы пациентов
Расчёт стоимости лечения
           
Отправление
               
Заявка отправлена
          

Нажимая на кнопку «Отправить», вы даете согласие на обработку персональных данных и соглашаетесь с политикой конфиденциальности.
Специалист временно не ведет прием.

Артем Станиславович

врач стоматолог-ортопед

2014 г. - Окончил Государственный университет медицины и фармации им.Николая Тестемицану по специальности «Стоматология».

2015 г. - Интернатура в Российском университете дружбы народов по специальности «Стоматология общей практики».

2016 г. - Профессиональная переподготовка в Российском университете дружбы народов по специальности «Стоматология ортопедическая».

2020 г. - Повышение квалификации в Центральной государственной медицинской академии Управления делами Президента Российской Федерации по специальности «Стоматология ортопедическая».

Чтобы записаться на прием, звоните по телефону
+7 495788-58-08

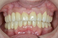
Работы врача

Отзывы пациентов

Артём Станиславович высококлассный врач, супер профессионал.и очень хороший человек. Внимательный, терпеливый, обходительный. Лечиться у такого доктора - одно удовольствие.

11 августа 2023

Читать другие отзывы
Хочу выразить огромную благодарность своему доктору.Артем Станиславович -доктор от бога.Он не просто сделал мне красивую улыбку , исправил недостатки в работе другого доктора , при этом всегда позитивный . доброжелательный , профессионал своего дела.Спасибо огромное!

22 мая 2023

Большое спасибо Артёму Станиславовичу за мою улыбку!
Рекомендую доктора как профессионала своего дела.

08 августа 2022

Хочу выразить благодарность врачу-ортопеду Кабанюку А.С. и зубному технику Алояну М. Мой случай был очень непростой, но благодаря исключительной работе этой команде квалифицированных, грамотных специалистов я буквально вернулась к полноценной жизни. Артем Станиславович ещё и очень доброжелательный, внимательный, душевный доктор. Также хочу поблагодарить весь коллектив клиники, особенно хирурга Мирзалиева Р.Д., администратора Астахову .Т.С.Уже рекомендовала и клинику, и доктора своим родным и знакомым, которые сейчас проходят здесь лечение. Большое спасибо!

01 декабря 2021

ВЕСЬ АВГУСТ ПОСЕЩАЛА  КЛИНИКУ  ВСЕ СВОИ.  НА  ШЕНКУРСКОМ ПР.  ПРОТЕЗИРОВАЛАСЬ У ДОКТОРА  КАБАНЮК  АРТЕМ  СТАНИСЛАВОВИЧ.  ДОКТОР  ВНИМАТЕЛЬНЫЙ  И ОТЗЫВЧИВЫЙ.  БОЛЬШОЕ ЕМУ СПАСИБО ЗА РАБОТУ!!!!

06 сентября 2021

Большое спасибо за проделанную работу. Доктор очень внимательный. Поставил две коронки на верхние передние зубы. Вписались, как свои.

07 мая 2021

Огромное спасибо Артему Станиславовичу! Я сложный пациент. Артем Станиславович взялся исправить работу других специалистов, не смотря на то, что многие мне говорили о безнадежности ситуации. 7 ноября 2020 года он заканчивает работу со мной, и я уверен, что я буду долгие годы благодарен ему за голливудскую улыбку. Более чуткого и толкового мастера я не встречал. Успехов Вам в работе! Счастья в личной жизни!

01 ноября 2020

Огромная благодарность Артему Станиславовичу за его профессионализм и золотые руки! Более внимательного, чуткого, аккуратного специалиста не встречала. Всем рекомендую!

28 августа 2020

Спасибо Артему Станиславовичу за мое преображение, внимательный чуткий  и большой талант. Рекомендую своим друзьям и всем!!!

01 мая 2020

Огромная благодарность Артёму Станиславовичу. Легкая рука, без болезненно делает анестезию и удаляет зубы. Очень внимательный и добрый к пациентам.

21 ноября 2018

Вчера удалила восьмерку у Артёма Станиславовича,очень чуткий подход к пациенту, аккуратность.Всё прошло на высшем уровне!!! Рекомендую.

08 мая 2018

Артем Станиславович удалил мне восьмёрку. На все ушло не больше 5 минут. Боли ни во время ни после не было. Хоть, честно говоря и очень переживал. Рекомендую!

20 марта 2018

Задать вопрос
Оставить отзыв
           
Отправление
               
Ваш вопрос отправлен
          

Задать вопрос

Ваше имя
Возраст
Вопрос

Телефон

WhatsApp номер

Viber номер
Укажите предпочитаемый способ связи Электронная почта, Обратный звонок, WhatsApp, Viber
Нажимая на кнопку «Отправить», вы даете согласие на обработку персональных данных и соглашаетесь с политикой конфиденциальности.
           
Отправление
               
Ваш отзыв отправлен
          

Оставить отзыв

Ваше имя
Возраст
Почта
Отзыв

Нажимая на кнопку «Отправить», вы даете согласие на обработку персональных данных и соглашаетесь с политикой конфиденциальности.